Báo Pháp Luật TP. Hồ Chí Minh
Từ khóa
Tìm thấy
1
kết quả
#dấu hiệu stress
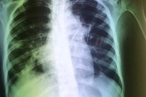
Stress do phát hiện nhiễm HIV, một phụ nữ tự đâm 7 cây kim vào ngực
28/04/2022 17:26
Xem thêm
Đọc nhiều
Tiện ích
Tiện ích
Lịch tư vấn pháp luật
Bạn đọc góp ý
Liên hệ quảng cáo
Thông tin tòa soạn
Dịch vụ công CATP
Chế độ tối
Tin mới
Danh mục
Tất cả chuyên mục
Thời sự
Chính trị
Thời luận
Chính kiến
Cùng lên tiếng
Pháp luật
Chat với chuyên gia
Chính sách mới
Luật và đời
Kinh tế
Pháp lý 4.0
Quản lý
Doanh nghiệp - Cộng đồng
Phát triển Xanh
Gỡ vướng pháp lý
Đơn vị tiêu biểu
Tài chính Xanh
Đô thị
Giao thông
Môi trường
An ninh trật tự
Hồ sơ phá án
Quốc tế
Sự kiện
Quân sự
Muôn mặt
Xã hội
Giáo dục
Chọn trường - Chọn nghề
Sức khỏe
Bác sĩ online
Văn hóa
Ăn sạch sống khỏe
Thể thao
Trong nước
Quốc tế
Fair Play
Các môn khác
Video
Bạn đọc
Ý kiến bạn đọc
Tôi muốn hỏi
Cải chính
Tổ ấm tôi mơ
Thị trường - Tiêu dùng
Nhịp sống đô thị
Đèn trên biển
Thư viện ảnh
Chuyện ra khơi
Tin tức
Tài chính - Ngân hàng
Pháp lý cho kiều bào
Xe và Luật
Bất động sản
Kỷ nguyên số
Văn bản pháp luật
Trang địa phương
Video
E-Magazine
Infographic
Ảnh
Story
LENS
Mới nhất
Xem nhiều
Tin nóng