Mới đây, các bác sĩ (BS) Khoa cột sống B, BV Chấn thương Chỉnh hình TP.HCM đã phẫu thuật nắn chỉnh cột sống cho chị PTH (30 tuổi, ngụ Đắk Lắk) sau nhiều năm mắc chứng viêm dính cột sống.
Không thể nhìn thẳng
BS Vũ Tam Trực, người trực tiếp phẫu thuật, cho biết chị H. đến BV trong tình trạng đau mỏi vùng cột sống cổ và cột sống thắt lưng. Qua thăm khám, các BS nhận thấy bệnh nhân bị viêm dính cột sống khiến cột sống biến dạng còng, cột sống cổ và cột sống ngực bị hàn cứng. Bệnh nhân gặp nhiều khó khăn khi giao tiếp, mỗi lần nói chuyện phải cố gắng gồng để ngóc cổ lên, lâu ngày cơ bị mỏi, đau.
Sau khi hội chẩn, các BS quyết định tập trung nắn chỉnh vùng thắt lưng cho bệnh nhân bằng phương pháp đục xương sửa trục, bỏ chân cung ở đốt sống thắt lưng số 3 và cố định bằng bốn thanh nối dọc. Trong đó, hai thanh nối ngắn cố định chỗ đục xương sửa trục, hai thanh nối dài bắc cầu qua chỗ đục xương.
Theo BS Trực, đây là phương pháp mới được du nhập từ Úc, sử dụng bốn thanh nối dọc (nhiều hơn phương pháp thông thường chỉ có hai thanh) giúp tăng cường độ vững cấu hình cột sống. Cuộc mổ diễn ra nhanh hơn vì không cần thay thanh nối liên tục như trước. Bệnh nhân chỉ mất 1,2 lít máu, trong khi mổ thông thường sẽ mất 1,5-2 lít. Sau ca phẫu thuật kéo dài 4,5 tiếng đồng hồ, ngày thứ ba thì bệnh nhân đã đi đứng được, không còn biến dạng còng. Đặc biệt là có thể nhìn thẳng người khác để tự tin giao tiếp, không còn phải ngóc cổ lên như trước.
Chị H. chia sẻ khoảng tám năm trước chị bắt đầu bị đau khớp háng bên phải, sau đó lan rộng lên vùng thắt lưng rồi tới vùng cánh tay, cổ. Đi khám ở BV địa phương, chị được chẩn đoán mắc chứng đau xương khớp thông thường, BS cho thuốc về uống. Thấy bệnh không thuyên giảm, chị bỏ hết công việc lặn lội ra Hà Nội và TP.HCM thăm khám nhưng được chẩn đoán gai cột sống hoặc đau thần kinh tọa. Tuyệt vọng, cứ nghe ở đâu có thầy lang bốc thuốc giỏi chị đều tìm đến.
Căn bệnh của chị ngày càng trầm trọng khi cả người đều đau đớn. Đến tối, chị không thể ngủ vì nằm nghiêng hay nằm ngửa đều khó chịu, khi muốn nằm ngửa chị phải kê gối rất cao. Lưng chị ngày càng còng xuống, không thể nhìn thẳng về phía trước hay gập cổ nhìn xuống được. “Tướng đi của tôi rất khó coi, giống như bà cụ 60, 70 tuổi vậy. Mỗi lần ra đường, mọi người đều nhìn tôi với ánh mắt khác, lúc đó tôi buồn và mặc cảm lắm vì đi khám ở đâu cũng không ra bệnh. Tôi cũng không có mong muốn gì nhiều, chỉ mong được thẳng lưng lại thôi” - chị H. kể lại.
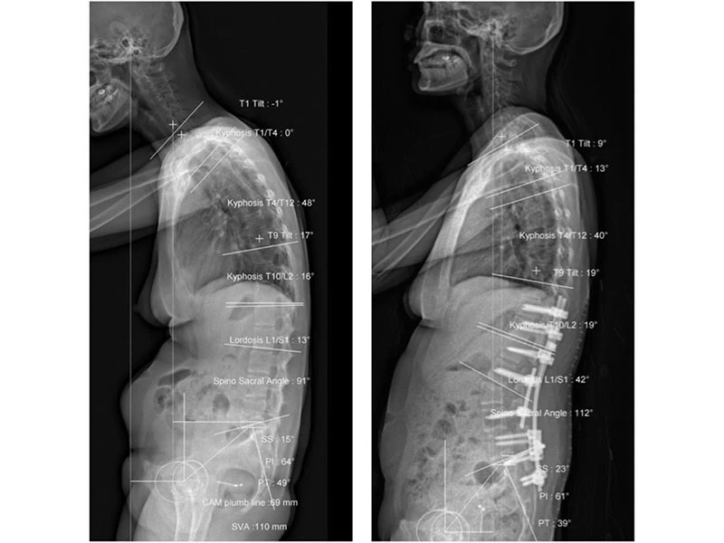
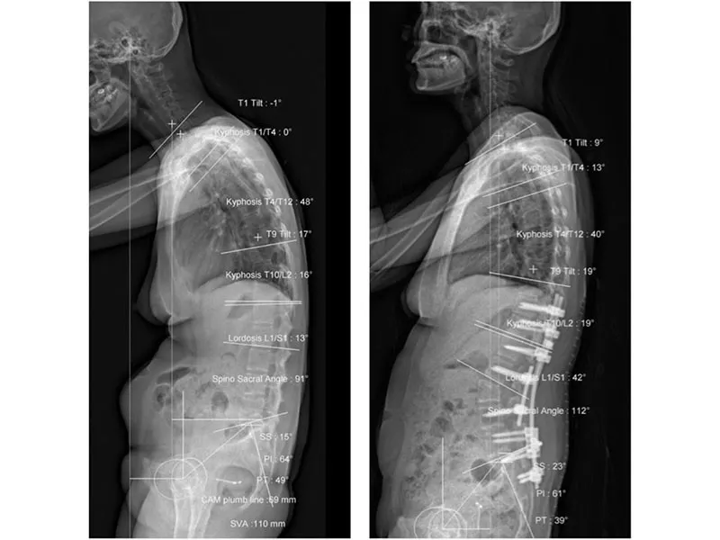
Tình trạng trước và sau khi phẫu thuật của bệnh nhân. Ảnh: HL
Viêm dính cột sống phổ biến ở nam giới
Theo BS Vũ Tam Trực, viêm dính cột sống là bệnh không quá hiếm, khoảng 1-2 tháng Khoa cột sống B lại tiếp nhận một bệnh nhân mới. Tuy nhiên, bệnh thường xuất hiện ở nam giới, tỉ lệ cứ 10 người nam thì chỉ có một nữ mắc. Đây có thể là nguyên nhân bệnh nhân H. đi thăm khám nhiều nơi nhưng ít ai nghĩ đến khả năng bệnh này.
Ngoài ra, bệnh có biểu hiện cốt hóa, dính khớp từ dưới lên trên như dính vùng chậu trước rồi mới đến thắt lưng, ngực cổ. Ở bệnh nhân H., phim chụp X-quang không điển hình, khớp vùng chậu bị dính nhưng thắt lưng vẫn chưa dính hoàn toàn, cột sống ngực dính một ít và cột sống cổ dính hoàn toàn.
Bệnh được xếp là bệnh lý tự miễn, chưa có nguyên nhân cụ thể. Khi đó cơ thể sản sinh ra những chất kháng thể chống lại bao khớp và dây chằng cột sống. Hiện tượng viêm lâu ngày dẫn đến cốt hóa, tất cả đốt sống dính lại như cây tre trăm đốt.
Bác sĩ Vũ Tam Trực đang thăm khám cho bệnh nhân. Ảnh: HL
Tuy nhiên, không phải trường hợp viêm dính cột sống nào cũng diễn biến đến cứng và biến dạng còng. Ở thể nặng, bệnh nhân có thể bị cốt hóa hết khung xương sườn lồng ngực gây giới hạn hô hấp, ảnh hưởng vận động mạnh thể lực, phổi thông khí kém dễ gây nhiễm trùng khi lớn tuổi. Bệnh chủ yếu gây ảnh hưởng giới hạn vận động, ở giai đoạn muộn bị dính khớp háng, còng cột sống khiến bệnh nhân không thể ngồi hoặc đứng lâu. Ngoài số ít bệnh nhân biến dạng cột sống phải phẫu thuật, bệnh nhân bị cốt hóa một phần, cột sống còn lại bù trừ để làm công việc hằng ngày.
Khi mắc bệnh, bệnh nhân được cho uống thuốc, hướng dẫn tập thể thao để nâng cao sức khỏe, ăn uống điều độ bệnh sẽ tự giới hạn lại. Nếu không đáp ứng với điều trị thuốc, bệnh nhân sẽ được cho sử dụng thuốc sinh học chuyên sâu. Ở giai đoạn nặng, bệnh nhân bị biến dạng cột sống nặng làm mất thăng bằng đứng dọc, đứng ngang, ảnh hưởng nghiêm trọng mới phải can thiệp phẫu thuật.
| Dấu hiệu viêm dính cột sống Các dấu hiệu có thể nghĩ tới bị viêm dính cột sống là thường đau lưng về đêm, cứng cột sống hoặc cứng khớp cổ tay, ngón tay vào buổi sáng. Độ tuổi khởi phát của bệnh từ 30 đến 40 tuổi, đôi khi có thể xuất hiện từ 20 tuổi. Theo phác đồ chuẩn của nước ngoài, bất cứ tình trạng đau lưng không tự giới hạn sau sáu tuần với phương pháp điều trị kinh điển và có đặc điểm như trên có thể nghĩ tới khả năng bệnh nhân bị viêm dính cột sống. Bệnh có thể được tầm soát khi chụp phim X-quang từ vùng chậu trở lên vùng đốt sống cổ hoặc chụp cộng hưởng từ để định bệnh giai đoạn sớm khi chưa có hiện tượng cốt hóa, chỉ viêm các dây chằng. BS VŨ TAM TRỰC, Khoa cột sống B, BV Chấn thương Chỉnh hình TP.HCM
|
