Đau đầu đột ngột: Cảnh báo căn bệnh nguy cơ tử vong nhanh chóng

(PLO)- Dị dạng mạch máu não ở người trẻ gây những hệ quả vô cùng nặng nề, có thể để lại di chứng suốt đời.

0:00 / 0:00
0:00
  • Nam miền Bắc
  • Nữ miền Bắc
  • Nữ miền Nam
  • Nam miền Nam

Ngày 17-1, thông tin từ Bệnh viện Bạch Mai cho biết thời gian gần đây đã tiếp nhận nhiều người trẻ thường xuyên bị đau đầu, đột ngột nói khó, giảm thị lực, tê hoặc yếu tay chân… triệu chứng giống bị đột quỵ, gây hậu quả nặng nề.

Cụ thể, bệnh nhân 15 tuổi đến cơ sở y tế địa phương khám vì đột ngột đau đầu dữ dội. Sau đó, bệnh nhân nhanh chóng rơi vào tình trạng hôn mê.

Bệnh viện tuyến dưới chẩn đoán bệnh nhân bị chảy máu não, lập tức người bệnh được đặt ống nội khí quản thở máy.

Bệnh nhân được chuyển đến Trung tâm Đột quỵ - Bệnh viện Bạch Mai trong tình trạng hôn mê sâu, glasgow 5 điểm, thở máy, giãn đồng tử bên phải.

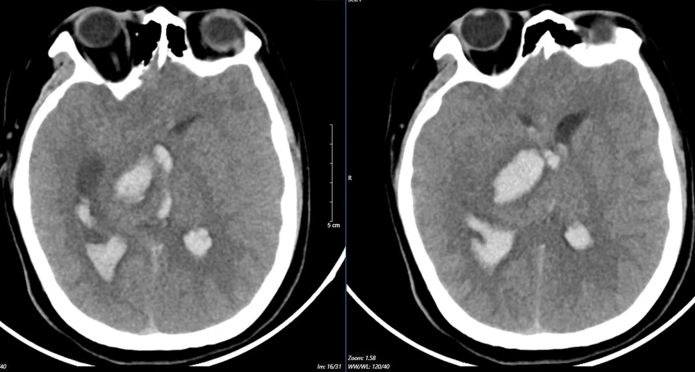
Kết quả chụp cắt lớp điện toán đa lát cắt (MSCT) mạch não cho thấy bệnh nhân bị chảy máu não đồi thị - não thất do vỡ khối AVM (dị dạng thông động - tĩnh mạch não), biến chứng giãn não thất cấp, rối loạn thân nhiệt, sốt cao liên tục 39 - 40 độ C.

Theo các bác sĩ, khối dị dạng mạch não tuy không quá lớn nhưng ở vị trí cực kỳ nguy hiểm. Mặc dù đã được hồi sức tích cực nhưng tình trạng bệnh nhân diễn biến nhanh.

Sau 2 ngày điều trị, khi được các bác sĩ giải thích không còn khả năng cứu chữa, gia đình xin đưa bệnh nhân về. Sau đó, người bệnh đã tử vong.

dị dạng mạch máu não
Hình ảnh chụp MSCT mạch não cho thấy bệnh nhân 15 tuổi bị chảy máu não đồi thị - não thất do vỡ khối AVM. Ảnh: BVCC

Một trường hợp khác là người bệnh 19 tuổi, chưa phát hiện bệnh lý gì trước đó, đến Trung tâm Đột quỵ - Bệnh viện Bạch Mai trong tình trạng co giật, hôn mê sâu, glasgow 6 điểm, thở máy qua ống nội khí quản, liệt tứ chi.

Kết quả chụp MSCT mạch não cho thấy hình ảnh chảy máu não thùy đỉnh chẩm bên trái và não thất - phù não lan toả do vỡ ổ dị dạng AVM thuỳ đỉnh chẩm trái.

Bệnh nhân được phẫu thuật hút khối máu tụ và lấy ổ dị dạng mạch não. Hiện, bệnh nhân vẫn đang được điều trị tích cực, tiên lượng khả năng hồi phục hạn chế.

Trường hợp thứ ba là nữ bệnh nhân 29 tuổi, tiền sử khoẻ mạnh, đi khám vì đột ngột đau đầu, tê tay, nôn nhiều vật vã.

Tại bệnh viện tỉnh, bệnh nhân được chẩn đoán chảy máu não, các bác sĩ đã đặt ống nội khí quản thở máy rồi chuyển người bệnh đến Trung tâm Đột quỵ - Bệnh viện Bạch Mai trong tình trạng ý thức hôn mê, glasgow 6 điểm, đồng tử bên phải giãn 4mm, tụt huyết áp, duy trì vận mạch.

Kết quả chụp MSCT mạch não cho thấy hình ảnh chảy máu não thuỳ đỉnh phải, chảy máu não thất do vỡ AVM. Bệnh nhân đã được phẫu thuật lấy máu tụ và khối dị dạng.

Sau 1 tháng điều trị, bệnh nhân chưa nhận thức được, liệt hoàn toàn nửa người trái.

Theo bác sĩ Lê Tuấn Anh, Trung tâm Đột quỵ - Bệnh viện Bạch Mai, dị dạng thông động tĩnh mạch não là một dị tật phát triển của hệ thống mạch máu, trong đó các động mạch nuôi được kết nối trực tiếp với mạng lưới tĩnh mạch dẫn lưu mà không qua hệ thống mao mạch.

Trong khối dị dạng, thành động mạch thường mỏng hơn, tĩnh mạch giãn rộng do lưu lượng máu cao, không được điều tiết, nguy cơ vỡ bất cứ lúc nào gây chảy máu não, tăng áp lực nội sọ, co giật, suy giảm ý thức, thậm chí tử vong nhanh chóng.

"Dị dạng mạch máu não rất nguy hiểm, lại thường xảy ra ở người trẻ tuổi, không có sự khác biệt về giới tính", bác sĩ Tuấn Anh cho biết.

Cũng theo bác sĩ Tuấn Anh, căn bệnh này chỉ được phát hiện khi dị dạng mạch máu não bị vỡ, lúc này thì sự đã rồi. Đôi khi, người bệnh được phát hiện sớm vì tình cờ đi chụp chiếu, kiểm tra sức khoẻ.

Về dấu hiệu nhận biết, bác sĩ Tuấn Anh cho hay: Nếu dị dạng mạch máu não chưa vỡ, tuỳ vị trí của khối dị dạng có thể xuất hiện một số triệu chứng không đặc hiệu như đau đầu, chóng mặt, tê bì, yếu tay chân hoặc động kinh.

Nếu dị dạng mạch máu não vỡ, các triệu chứng có thể từ nhẹ đến nặng, phụ thuộc vào bản thân khối dị dạng và thể tích máu tụ, từ đau đầu, buồn nôn, liệt nửa người, lú lẫn đến hôn mê sâu, thậm chí tử vong nhanh chóng do tụt kẹt não.

Tỉ lệ tử vong khi vỡ AVM từ 10-15%, và khoảng 50% số bệnh nhân sống sót sẽ gặp di chứng về sau.

Để phòng ngừa bệnh, bác sĩ Tuấn Anh khuyến cáo người dân nên đi kiểm tra khi có một hoặc các dấu hiệu như đau đầu, chóng mặt, tê bì hoặc liệt nửa người, co giật. Các trường hợp nặng như rối loạn ý thức đột ngột thì nên đến viện ngay lập tức.

Đừng bỏ lỡ

Video đang xem nhiều

Đọc thêm