Uống nhầm dầu hỏa, 1 trẻ bị nguy kịch

(PLO)- Bé 15 tháng tuổi uống nhầm dầu hỏa đang nguy kịch, các y và bác sĩ đang nỗ lực cấp cứu. 

0:00 / 0:00
0:00
  • Nam miền Bắc
  • Nữ miền Bắc
  • Nữ miền Nam
  • Nam miền Nam

Ngày 31-12, BV Sản nhi Nghệ An cho biết vừa tiếp nhận và cấp cứu bệnh nhi TNH (15 tháng tuổi, trú huyện Quỳnh Lưu, Nghệ An) bị ngộ độc nặng do uống nhầm dầu thắp đèn.

Uống nhầm dầu thắp đèn
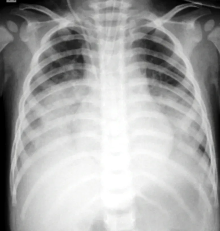
Bé NTH bị viêm phổi nặng sau khi uống nhầm dầu thắp đèn.

Trước đó, ngày 29-12, bé H được chuyển đến BV Sản nhi Nghệ An cấp cứu trong tình trạng tím tái, khó thở, nguy kịch. Ngay lập tức các y và bác sĩ của BV đã nhanh chóng hỗ trợ hô hấp bằng máy áp lực cao cho trẻ, dùng kháng sinh phổ rộng…

Theo người nhà, bé H đã uống nhầm dầu thắp đèn, sau khi uống bé bị sặc, ho, tím tái, khó thở nên đã được đưa đi cấp cứu. Do bé bị quá nặng nên BV tuyến dưới đã chuyển bé H lên tuyến trên là BV Sản nhi Nghệ An.

Hiện bệnh nhi vẫn đang trong tình trạng nguy kịch, cần theo dõi thêm.

Bác sĩ Nguyễn Hùng Mạnh, Trưởng khoa Hồi sức tích cực chống độc, BV Sản Nhi Nghệ An cho biết, ngộ độc do uống nhầm hóa chất rất dễ xảy ra ở trẻ em. Các trường hợp uống xăng, dầu hỏa có thể gây viêm phổi bởi bệnh nhân dễ dàng hít phải hơi độc của hóa chất.

Do vậy, các hóa chất sử dụng trong gia đình cần được để tại những nơi kín đáo, tránh xa tầm với của trẻ em. Không nên đựng hóa chất vào các vỏ chai vốn đựng nước uống (vỏ chai lavie, nước ngọt) vì dễ gây nhầm lẫn.

Đừng bỏ lỡ

Video đang xem nhiều

Đọc thêm