Ngày 26-10, Sở Y tế TP.HCM thông tin, bệnh viện (BV) quận 7 và bệnh viện (BV) Nguyễn Tri Phương đã phối hợp cứu thành công một bệnh nhân ngưng tim ngưng thở trước nhập viện.
Trước đó, vào chiều 21-10, bệnh nhân THT đang làm việc tại công trường xây dựng thì đột ngột tím tái, khó thở, được đồng nghiệp đưa vào cấp cứu tại BV quận 7 trong tình trạng mạch và huyết áp bằng 0.
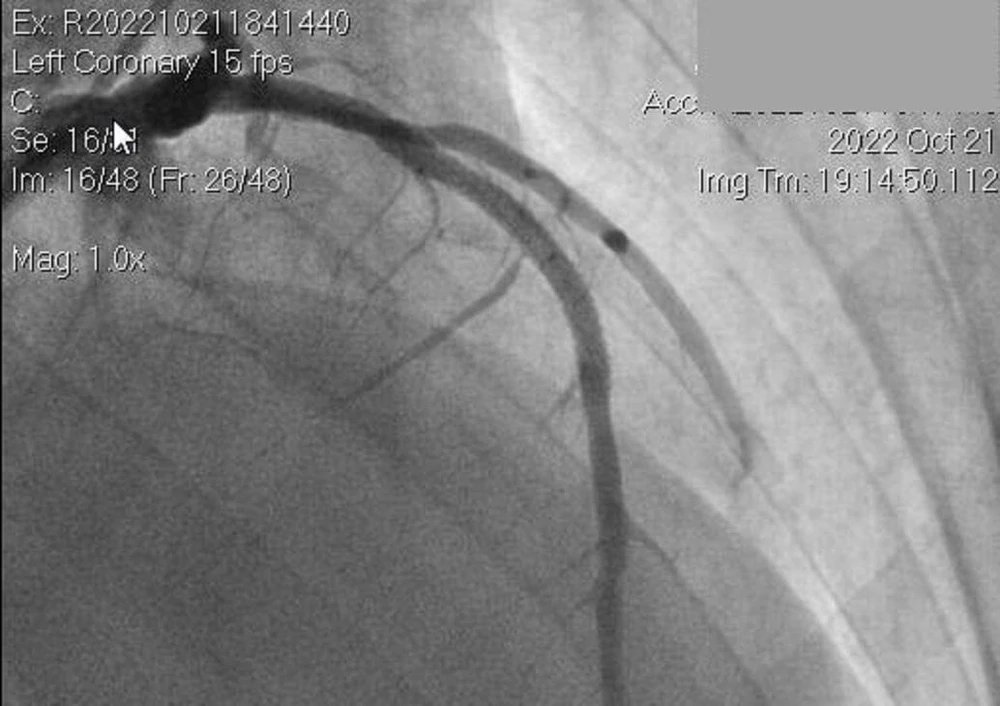
![]() |
Hình ảnh chụp mạch máu của bệnh nhân THT. Ảnh: BVCC |
Nhận thấy bệnh nhân ngưng tim ngưng thở trước nhập viện, êkíp cấp cứu của BV đã hồi sức tim phổi nâng cao, ấn tim ngoài lồng ngực, bóp bóng giúp thở, đặt nội khí quản, sốc điện ba lần.
Điện tim trên monitor cho thấy bệnh nhân có tình trạng nhồi máu cơ tim thành trước rộng, êkíp cấp cứu hội chẩn liên viện với chuyên gia của BV Nguyễn Tri Phương qua điện thoại để được tư vấn về chuyên môn, đồng thời đề nghị chuyển bệnh nhân về BV Nguyễn Tri Phương.
Sau khi tiếp nhận, êkíp trực cấp cứu của BV Nguyễn Tri Phương hội chẩn với BS chuyên khoa tim mạch can thiệp, chẩn đoán đây là trường hợp nhồi máu cơ tim cấp thành trước rộng giờ đầu, biến chứng ngưng tim ngoại viện đã được hồi sức thành công. Chỉ định phải tái thông mạch vành cấp cứu.
Lúc này tình trạng bệnh nhân chuyển biến nặng, nguy cơ tử vong cao.
Tuy nhiên lúc này, phòng can thiệp BV Nguyễn Tri Phương đang can thiệp một ca mạch máu não theo chương trình do BS ngoại thần kinh thực hiện, dự kiến kéo dài khoảng ba tiếng. Sau khi xin ý kiến, BS ngoại thần kinh đã được lãnh đạo BV chỉ đạo tạm dừng can thiệp ca này để tái thông mạch vành khẩn cấp cho BN ngưng tim.
Sau 30 phút can thiệp, bệnh nhân đã được thông tắc một nhánh động mạch vành lớn nhất, sau đó chuyển về khoa tim mạch can thiệp theo dõi và điều trị tiếp.
Hiện bệnh nhân đã hết đau ngực, tự thở khí trời, các sinh hiệu trong giới hạn bình thường.
