Báo Pháp Luật TP. Hồ Chí Minh
Từ khóa
Tìm thấy
50
kết quả
#bệnh lạ
Ấn Độ: Xuất hiện bệnh lạ làm hàng trăm người bất tỉnh
08/12/2020 05:32
Bệnh lạ xuất hiện ở Nigeria, gây chết người trong 48 giờ
12/02/2020 11:08
'Bệnh lạ' diễn biến phức tạp, Đà Nẵng có văn bản khẩn
08/01/2020 21:25
Bình Thuận nói về thông tin 'bệnh lạ' gần nơi khai thác titan
01/10/2018 17:06
Người phụ nữ có khả năng xoay tay 180 độ sau khi mắc bệnh lạ
03/09/2018 14:20
Bệnh lạ khiến thanh niên 25 sống mãi trong hình hài cậu bé
24/08/2018 17:30
Bệnh lạ khiến chàng trai 18 trông như ông cụ 80
11/06/2018 19:00
Thêm nhân viên Mỹ phải rời Trung Quốc vì 'bệnh lạ'
07/06/2018 09:07
Mang 'bệnh lạ' suốt 20 năm sau cú ngã trẹo chân
26/04/2018 14:23
Nữ sinh lớp 7 tử vong sau khi ăn chè, thi học sinh giỏi
30/03/2018 20:08
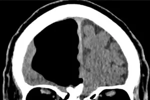
Bác sĩ sốc với người đàn ông 'thất lạc' 1/4 bộ não
13/03/2018 18:00
Cậu bé mọc 'sừng' trên đầu như kỳ lân
05/03/2018 09:35
Lạ kỳ bé gái dị ứng với mồ hôi của chính mình
01/03/2018 12:08
Bệnh lạ kinh hoàng hơn cả ‘cái chết đen’
16/01/2018 10:54
Một học sinh tử vong nghi mắc bệnh lạ
09/01/2018 15:25
6 học sinh ở Đắk Lắk bỗng thích leo đồi, lội suối
22/12/2017 09:40
“Bệnh lạ” Bắc Kạn: 9 nữ sinh đều có chỉ số IQ cao
19/12/2017 17:11
9 trẻ bỗng dưng bất thường: Bệnh lạ mà không lạ
19/12/2017 06:25
Học sinh mắc bệnh lạ: Ngất, hung dữ bất thường
15/12/2017 16:13
Bệnh lạ làm chết nhiều người bất ngờ tái xuất
14/12/2017 15:16
Xem thêm
Đọc nhiều
Tiện ích
Tiện ích
Lịch tư vấn pháp luật
Bạn đọc góp ý
Liên hệ quảng cáo
Thông tin tòa soạn
Dịch vụ công CATP
Chế độ tối
Tin mới
Danh mục
Tất cả chuyên mục
Thời sự
Chính trị
Thời luận
Chính kiến
Cùng lên tiếng
Pháp luật
Chat với chuyên gia
Chính sách mới
Luật và đời
Kinh tế
Pháp lý 4.0
Quản lý
Doanh nghiệp - Cộng đồng
Phát triển Xanh
Gỡ vướng pháp lý
Đơn vị tiêu biểu
Tài chính Xanh
Đô thị
Giao thông
Môi trường
An ninh trật tự
Hồ sơ phá án
Quốc tế
Sự kiện
Quân sự
Muôn mặt
Xã hội
Giáo dục
Chọn trường - Chọn nghề
Sức khỏe
Bác sĩ online
Văn hóa
Ăn sạch sống khỏe
Thể thao
Trong nước
Quốc tế
Fair Play
Các môn khác
Video
Bạn đọc
Ý kiến bạn đọc
Tôi muốn hỏi
Cải chính
Tổ ấm tôi mơ
Thị trường - Tiêu dùng
Nhịp sống đô thị
Đèn trên biển
Thư viện ảnh
Chuyện ra khơi
Tin tức
Tài chính - Ngân hàng
Pháp lý cho kiều bào
Xe và Luật
Bất động sản
Kỷ nguyên số
Văn bản pháp luật
Trang địa phương
Video
E-Magazine
Infographic
Ảnh
Story
LENS
Mới nhất
Xem nhiều
Tin nóng