Chuyện xảy ra khá bình thường khi một ông cụ 84 tuổi đến phòng cấp cứu để nhờ kiểm tra những vấn đề không mấy khác lạ với những bệnh nhân khác ở tuổi ông.
Ông cho biết gần đây ông cảm thấy sức khỏe không ổn định. Ông liên tục bị ngã trong mấy tuần rồi và gần đây khoảng đôi ba ngày, ông cảm thấy chi trái có vẻ yếu đi.

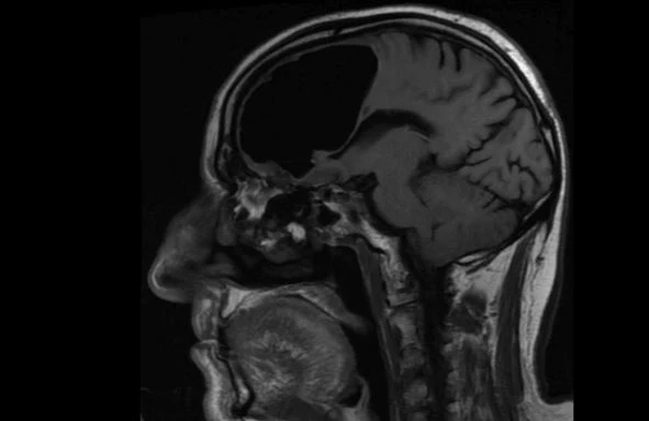
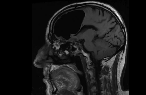
Phim chụp MRI cho thấy một phần não của ông cụ bỗng dưng biến mất kỳ lạ. Ảnh: BMJ Case Reports
Sau khi kiểm tra, bác sĩ nhận thấy ông cụ có một lối sống khá lành mạnh. Ông không hút thuốc, hiếm khi uống rượu, kết quả xét nghiệm máu không cho thấy điều gì bất thường.
"Không có sự nhầm lẫn, suy nhược trên khuôn mặt, rối loạn ngôn ngữ hoặc ngôn từ. Bề ngoài ông cũng rất cân đối và khỏe mạnh, ông cho biết cũng tập thể dục điều độ, sống cùng vợ và hai con trai" - Bác sĩ theo dõi bệnh tình ông cụ cho biết.
Nói cách khác, các bác sĩ cho rằng không có lý do nào dẫn đến tình trạng khác lạ của ông cụ, hoặc là họ đã thiếu sót ở khâu nào đó.
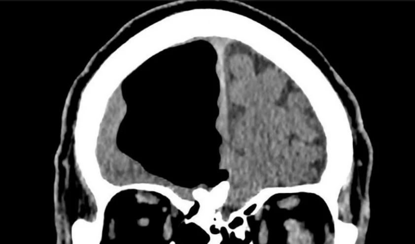
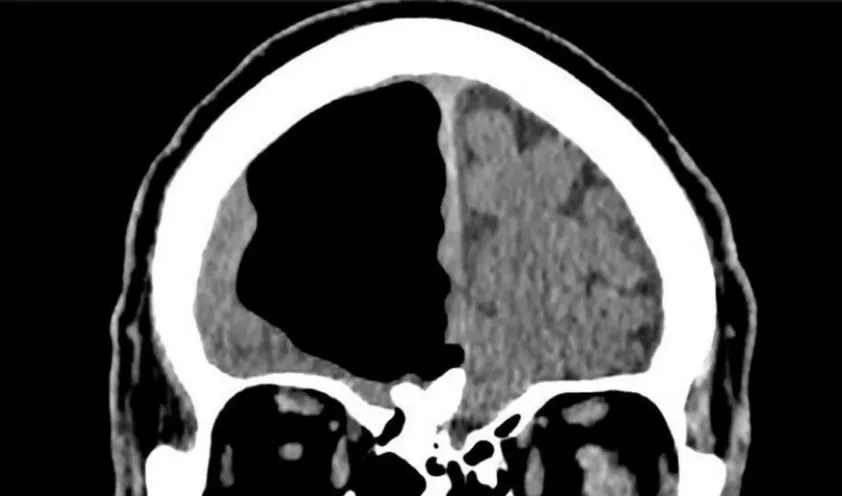
Cuối cùng, họ cho ông chụp CT và MRI não và họ khá sốc khi phát hiện ra một sự việc khác kỳ lạ. Thùy não trái của ông lão hoàn toàn trống không.

Đây là một trong những hiện tượng y khoa hiếm thấy trên thế giới. Ảnh: BMJ Case Reports
Finlay Brown, bác sĩ làm việc tại phòng cấp cứu của bệnh viện Causeway Hospital ở Coleraine, Bắc Ireland không tin nổi mắt mình khi xem đi xem lại phim chụp não của ông cụ.
“Chúng tôi thực sự bối rối với những thứ mà chúng tôi vừa thấy" - bác sĩ Brown kể lại.
Các bác si đặt nghi vấn với ông cụ liệu có phải ông đã từng phẫu thuật sọ não, hoặc từng bị dị tật bẩm sinh liên quan đến não mà ông không nhớ không nhưng ông cụ mặc nhiên khẳng định rằng mình chưa hề gặp vấn đề nào như vậy.
Chẩn đoán rằng người đàn ông có thể đã bị khí sọ, một hiện tượng tụ khí trong não thường xảy ra đối với những bệnh nhân phẫu thuật não. Nó cũng có thể xảy ra sau khi bị nhiễm trùng xoang, chấn thương đầu hoặc mặt nhưng thường những túi khí nhỏ chứ không to như vậy.
Trong trường hợp này, lỗ hổng trong não bệnh nhân đo được khoảng 8,9 cm, chiếm gần trọn thùy não trái.
“Trong quá trình nghiên cứu và hành nghề bao nhiêu năm, tôi chưa bao giờ nghe hay biết về một trường hợp nào tương tự như vậy" - Bác sĩ Brown nói thêm.
Theo như những gì phim chụp MRI cho thấy túi khí này được hình thành như một khối u xương lành tính, hình thành trong xoang người và dần bị ăn mòn qua đáy hộp sọ. Sự hình thành và vị trí đặc biệt của khối u đã tạo nên hiệu ứng van một chiều dần dần tạo thành một khoang không khí bên trong hộp sọ.
Thời gian kéo dài, mỗi khi bệnh nhân ngửi, hắt hơi hay ho, đều khiến đẩy một lượng khí nhỏ vào xoang và ngày càng "nới rộng" khoang không khí bên trong não bệnh nhân và dần dà nó phát triển thành một khoang khá lớn như hiện nay.
Theo nghiên cứu của BMJ Case Reports, khoang không khí đôi khi cũng là một dạng biến chứng hiếm gặp sau một cơn đột quỵ nhỏ. Dẫn đến người bệnh bị suy yếu các chi trái cùng một số triệu chứng tương tự như ông cụ 84 tuổi gặp phải.
Bác sĩ Brown cho biết bệnh nhân sắp tới phải làm nhiều cuộc giải phẫu. Trước hết để giải nén các túi khí bên trong đầu. Ca phẫu thuật tiếp theo để loại bỏ khối u khí.
Tuy nhiên, ông cụ đã từ chối làm các ca phẫu thuật trên vì ông cũng đã lớn tuổi và sợ rằng sức khỏe không đảm bảo có thể chịu đựng nổi hai ca phẫu thuật. Vậy nên bác sĩ đã đưa cho anh một đơn thuốc nhằm tránh bị đột quỵ lần nữa. Ông được cho xuất viện và sẽ phải kiểm tra thường xuyên mỗi khi thân trái của ông cảm giác yếu đi.
"Lựa chọn không phẫu thuật của ông lão chỉ mang tính chất tạm thời và có thể xảy ra nguy hiểm bất cứ lúc nào. Chưa kể, nguy cơ nhiễm khuẩn não rất dễ xảy ra do đã có một đường dẫn khí từ xoang vào não và vi khuẫn và virus dễ dàng xâm nhập" - bác sĩ Brown bày tỏ lo ngại.
Điều may mắn là sau 12 tuần kể từ khi xuất viện, bệnh nhân không hề gặp bất cứ biến chứng nào và đang dần hồi phục chức năng ở chi trái. Ngoài ra ông còn cho biết mình đang khỏe hơn trước rất nhiều.