Trên thị trường TP.HCM gần đây xuất hiện nhiều nơi bày bán miếng dán làm trắng răng. Tuy nhiên, theo các bác sĩ chuyên khoa, sử dụng tùy tiện sẽ làm cháy, lở loét, hoại tử... nướu răng.
Cháy, hoại tử nướu răng
ThS-BS Trần Ngọc Phương Thảo, Trưởng khoa Khám tổng hợp BV Răng-Hàm-Mặt TP.HCM, cho biết khá đông bệnh nhân (mỗi tháng ghi nhận 2-3 ca) đến khám răng, nướu sau thời gian dùng miếng dán trắng răng.
Vốn nghiện thuốc lá nặng nên răng ông T. (TP.HCM) ố vàng. Thấy trên mạng quảng cáo miếng làm trắng răng C. vừa nhanh vừa hiệu quả, ông T. đến một cửa hàng trên đường Lạc Long Quân (quận 11, TP.HCM) mua dùng. Sử dụng gần 20 ngày, hai hàm răng ông trắng chút ít. Tuy nhiên, toàn bộ nướu răng bị cháy, lở loét, ê buốt khiến ông ăn ngủ không ngon.
Tương tự, do thường uống kháng sinh trị bệnh nên răng bà H. (Đồng Nai) bị vàng. Nghe nói có miếng dán làm răng trắng bóng, bà tìm đến cửa hàng trên đường Phổ Quang (Tân Bình, TP.HCM) mua 20 miếng. Dùng tới miếng thứ 15, răng chưa kịp trắng toát như quảng cáo thì toàn bộ nướu bị tụt, thêm hoại tử, vừa nhức vừa ê buốt. Từ 60 kg, do mất ăn mất ngủ nên bà H. sụt còn độ 55 kg.
ThS Thảo cho biết một khi nướu răng bị cháy, lở loét, hoại tử, ê buốt... thì hết thuốc chữa. Người bệnh phải dùng kem đánh răng chống ê buốt và phải dùng liên tục, suốt đời.

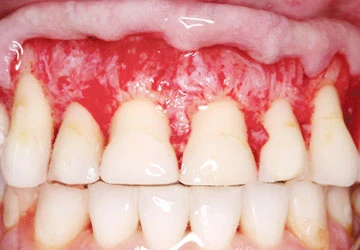
Miếng dán được thiết kế không theo hình hàm răng nên khi dán dính cả nướu, dẫn đến hiện tượng cháy nướu nếu sử dụng lâu. Ảnh: TRẦN NGỌC

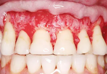
Nướu răng có biểu hiện hoại tử, tụt nướu. Ảnh: CTV
Không có khả năng tẩy trắng răng
ThS Thảo cho rằng miếng dán sử dụng nhằm mục đích duy trì sự trắng răng sau khi đã điều trị trắng răng chứ không phải dùng tẩy trắng răng. “Thành phần chính để điều trị trắng răng là hydrogen peroxide. Chất này có tác dụng làm ôxy hóa những chất tạo màu (hình thành từ thức ăn đậm màu như cà phê, chocolate, nước tương, thuốc lá...) đã lắng đọng dưới lớp men răng để khử chất tạo màu ra khỏi men răng. Bác sĩ chuyên khoa sử dụng nồng độ hydrogen peroxide 45% để tẩy trắng răng trong vòng 1 tiếng. Sau khi răng đã được BS chuyên khoa tẩy trắng, bệnh nhân tiếp tục duy trì sự trắng răng bằng dụng cụ an toàn có chứa hydrogen peroxide nồng độ từ 10% đến 15%. Dụng cụ này bảo vệ được cả nướu răng. Sử dụng miếng dán là một trong những cách duy trì sự trắng răng lâu dài. Tuy nhiên, chỉ dán trên răng độ chừng 15 phút để tránh gây phản ứng phụ cho nướu răng” - ThS Thảo giải thích.
Theo ThS Thảo, nếu đúng như quảng cáo nồng độ hydrogen peroxide của miếng dán chỉ 10% thì không thể tẩy trắng răng trong thời gian từ ba đến bảy hoặc 14 ngày. Với nồng độ hydrogen peroxide nhỏ như thế, muốn tẩy trắng răng phải trên hai tháng. Tuy nhiên, miếng dán răng thiết kế không theo hình dáng hàm răng nên khi dán dính luôn cả nướu răng. “Do ảnh hưởng ôxy hóa của hydrogen peroxide, nướu răng sẽ bị đốt cháy, lở loét, hoại tử, tụt nướu, gây ê buốt... Dùng càng lâu thì ảnh hưởng nướu răng càng nặng” - ThS Thảo lưu ý.
Đồng quan điểm trên, BS Trần Xuân Thông, Trưởng khoa Răng hàm mặt-Mắt BV Nhân dân 115 (TP.HCM), cho biết thêm sử dụng miếng dán trắng răng tùy tiện vừa mất tiền vừa rước họa vào thân. Áp dụng bất kỳ phương pháp tẩy trắng răng nào bệnh nhân cũng phải được bác sĩ chuyên khoa tư vấn kỹ càng.
| Răng ố vàng đa số do yếu tố ngoại sinh như thức ăn bám bằng đường tiếp xúc tại chỗ với răng (đặc biệt thức ăn đậm màu như cà phê, nước tương, chocolate...), hút thuốc lá, sử dụng nhiều kháng sinh trong quá trình điều trị các bệnh lý. Ở các vùng quê, do nước uống chứa i-on fluor cũng gây hiện tượng vàng răng. Ngăn ngừa vàng răng cần loại bỏ các nguyên nhân nói trên. ThS-BS TRẦN NGỌC PHƯƠNG THẢO, Trưởng khoa Khám tổng hợp BV Răng-Hàm-Mặt TP.HCM |
TRẦN NGỌC