Rách cổ họng vì cố nhín hắt hơi

(PLO)- Cố nhín hắt hơi, một người đàn ông đã bị rách cổ họng phải nằm viện điều trị hơn một tuần.

Mới đây, Dailymail đưa tin một người đàn ông 34 tuổi trong lúc cố bịt chặt mũi, miệng nhín cơn hắt hơi đã bị rách cổ họng, phải vào bệnh viện cấp cứu.

Người đàn ông 34 tuổi đã cố bịt chặt mũi, miệng để ngăn cơn hắt hơi, cuối cùng đã tự gây ra thương tích trên. Vết thương khiến anh hầu như không thể nói hay nuốt, đau đớn cùng cực và cũng mất cả giọng nói.

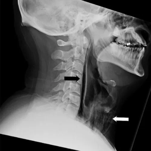
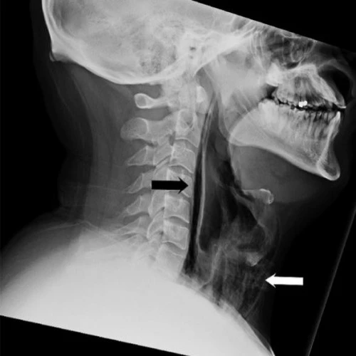
Theo các bác sĩ, vết rách cổ họng của bệnh nhân này khá hiếm gặp. Nó thường bị gây ra bởi chấn thương nặng hoặc ói mửa, co giật. Bệnh nhân cho biết sau khi nhín cú hắt hơi, anh cảm giác cổ mình giật mạnh và sau đó dần sưng to, đau đớn.

Khi thăm khám, các bác sĩ nghe thấy tiếng lộp bộp cùng vài tiếng gãy vỡ kéo dài từ cổ đến xương sườn bệnh nhân. Đây là dấu hiệu các bong bóng khí đã chạm đến mô và cơ sâu trong ngực. Ảnh chụp cắt lớp sau đó đã xác nhận điều này.

Bệnh nhân đã phải nhập viện do nguy cơ biến chứng nghiêm trọng rất cao, được cho ăn bằng ống và truyền thuốc kháng sinh cho đến khi vết sưng giảm xuống, cơn đau mất dần. Sau hơn một tuần, anh đã hoàn toàn khỏe mạnh và được xuất viện.

Các bác sĩ cảnh báo việc cố nhín hắt hơi bằng cách chặn khoang mũi và miệng là điều rất nguy hiểm, có thể gây ra rất nhiều biến chứng như không khí bị mắc kẹt giữa hai phổi, thủng màng nhĩ, thậm chí vỡ phình mạch não. Dù các ca này khá hiếm nhưng chúng từng xảy ra.

Hắt hơi xảy ra khi áp lực không khí và áp suất tĩnh mạch tăng lên. Áp suất cao cần phải tìm lối thoát ra, nếu nó không thể thoát qua miệng hoặc mũi thì sẽ bùng phát sang nơi khác.

Hắt hơi là cách cơ thể lọc và tạo độ ẩm để tự làm sạch, tạo thành vách ngăn đầu tiên chống vật lạ trong không khí xâm nhập cơ thể. Màng mũi cũng giúp chặn các phân tử bụi, làm ẩm không khí trước khi vào phổi. Mọi người không nên hắt hơi bừa bãi nơi công cộng nhưng nên chuẩn bị sẵn khăn hoặc giấy để hắt hơi mà không làm phiền đến người khác.

Kinh hoàng hàng loạt răng mọc trong cổ họng
Kinh hoàng hàng loạt răng mọc trong cổ họng
(PLO) - Một người đàn ông đã kinh hoàng khi phát hiện ra hàng tá thứ giống như răng mọc lên từ cổ họng anh ta sau một thời gian anh bị mắc khi bị chứng hụt hơi thường xuyên.

Đừng bỏ lỡ

Video đang xem nhiều

Đọc thêm