Bé 3 tuổi bị 2 con chó béc-giê tấn công phải nhập viện cấp cứu

(PLO)- Bệnh viện Sản Nhi tỉnh Phú Thọ đang điều trị cho bé 3 tuổi vỡ thận do bị 2 con chó béc-giê nhà hàng xóm tấn công...

0:00 / 0:00
0:00
  • Nam miền Bắc
  • Nữ miền Bắc
  • Nữ miền Nam
  • Nam miền Nam

Bệnh viện Sản Nhi tỉnh Phú Thọ vừa tiếp nhận 2 bệnh nhi bị đa chấn thương do chó cắn, trong đó có bé trai 3 tuổi bị chấn thương bụng, vỡ thận.

Nạn nhân là HMK, ngụ ở Vĩnh Phúc, được gia đình đưa đến bệnh viện cấp cứu ngày 29-3 sau khi bị 2 con chó béc-giê của nhà hàng xóm tấn công.

Thời điểm nhập viện, cháu hoảng loạn. Vùng đầu, mặt, bẹn, lưng, chân có nhiều vết thương, nước tiểu máu toàn bãi.

Trẻ ngay lập tức được sơ cứu, vệ sinh vết thương, dùng giảm đau và tiêm phòng uốn ván, tiêm phòng dại. Kết quả siêu âm, chụp X-quang sau đó cho thấy thận phải bị vỡ.

Trẻ được chỉ định thực hiện chụp cắt lớp vi tính ổ bụng có tiêm thuốc cản quang để đánh giá chính xác mức độ tổn thương thận. Kết quả cho thấy thận phải vỡ làm 2 mảnh, có thoát thuốc ra khoang quanh thận. Bác sĩ kết luận trẻ bị chấn thương thận phải độ IV.

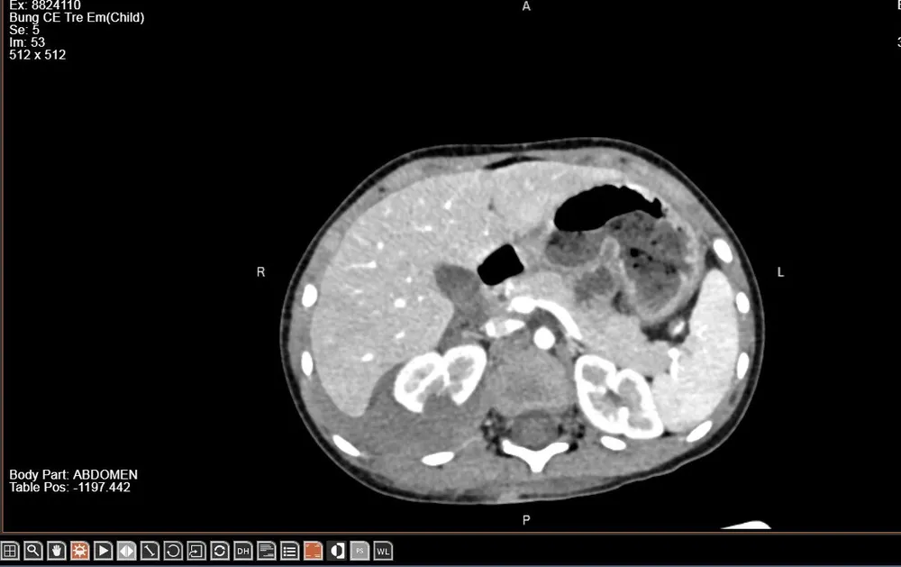
Bé 3 tuổi vỡ thận do bị chó béc-giê tấn công 2.jpg
Hình ảnh thận phải của bệnh nhi vỡ làm 2 mảnh trên phim chụp. Ảnh BVCC

Sau 4 ngày điều trị theo phác đồ tích cực theo hướng bảo tồn thận, hiện tại trẻ tỉnh, không sốt, ăn được. Các vết thương phần mềm còn ít dịch thấm băng chảy, bụng không chướng, nước tiểu trong.

Bác sĩ Nguyễn Đức Lân, Trưởng khoa Ngoại nhi tổng hợp đánh giá đây là một ca phức tạp. Dù vết thương phần mềm ngoài da không quá nặng nhưng có chấn thương bụng kín nghiêm trọng, cần được theo dõi sát sao và xử trí cấp cứu ngoại khoa nếu điều trị bảo tồn không hiệu quả.

Bé 3 tuổi vỡ thận do bị chó béc-giê tấn công.jpg
ThS.BS Nguyễn Đức Lân – Trưởng khoa Ngoại nhi tổng hợp thăm khám cho bệnh nhi C. trước khi xuất viện. Ảnh BVCC

Trường hợp bệnh nhi bị chó tấn công còn lại là cháu 4 tuổi, cũng ở Vĩnh Phúc. Cháu bị chó nhà ông nội cắn vào vùng đầu và tay phải. Sau một tuần điều trị, tình trạng đã ổn định, vết thương khô, trẻ ăn uống tốt và chuẩn bị được xuất viện.

Các bác sĩ khuyến cáo, các bậc phụ huynh, người chăm sóc trẻ cần sát sao, không nên cho trẻ đùa nghịch, chơi với chó, mèo, đặc biệt là chó lạ, hoặc chó, mèo có kích thước lớn.

Khi trẻ bị chó, mèo hoặc động vật hoang dại cắn hoặc gây tổn thương cần nhanh chóng đưa trẻ tới các cơ sở y tế để được thăm khám và tư vấn, hướng dẫn điều trị.

Đồng thời, người nuôi chó mèo cũng cần tiêm phòng cho vật nuôi đầy đủ và tiêm nhắc lại hàng năm theo khuyến cáo của ngành thú y; không được thả rông chó, vật nuôi ra đường. Nếu chó, vật nuôi được dắt ra đường phải được đeo rọ mõm, tránh để tấn công người khác.

Đừng bỏ lỡ

Video đang xem nhiều

Đọc thêm