Ảnh scan đầu tiên trên thế giới về giây phút bé chào đời

Lần đầu tiên, các bác sĩ đã tạo ra bức ảnh MRI sống động về đứa trẻ ở khoảnh khắc lọt lòng mẹ. Các bức ảnh này là nguồn thông tin giá trị giúp hiểu sâu về quá trình sinh nở và cho phép cứu sống các em bé trong tương lai.
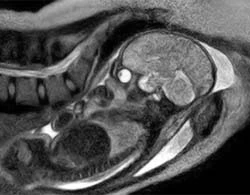
Ảnh scan đầu tiên trên thế giới về giây phút bé chào đời ảnh 1
Em bé chào đời qua ngả âm đạo của mẹ. Ảnh chụp từ hệ thống máy MRI đặc biệt của các bác sĩ Đức.
"Chúng ta giờ đây có thể quan sát những chi tiết mà trước đây chỉ có thể nghiên cứu bằng đầu dò. Những bức ảnh này rất thú vị và khẳng định rằng việc sinh nở là một điều kỳ diệu", chuyên gia Ernst Beinder từ Bệnh viện Charite ở Berlin, Đức, cho biết trên thelocal.

Để có ca ghi hình này, nhóm nghiên cứu đã phát triển một máy scan "mở" đặc biệt, trong đó ôm lấy căn buồng nơi các bác sĩ và y tá đỡ đẻ cho người mẹ. Bệnh viện cho biết cả mẹ và bé hiện đều trong tình trạng sức khỏe tốt.

Việc tạo ra các hình ảnh MRI về ca sinh nở có thể giúp khắc phục những biến chứng khi sinh, và giúp các bác sĩ hiểu rõ tại sao 15% số bà bầu phải mổ đẻ do đứa bé di chuyển không tốt theo đường âm đạo.

Theo T. An (VNE)

Đừng bỏ lỡ

Video đang xem nhiều

Đọc thêm