\

Tai là cơ quan thính giác và giữ thăng bằng cho cơ thể người. Về mặt giải phẫu, cấu tạo của tai người được chia thành ba phần: tai ngoài, tai giữa và tai trong. Trong đó, tai ngoài là các phần có thể thấy được như vành tai và ống tai. Viêm tai ngoài là tình trạng viêm của ống tai ngoài (từ màng nhĩ ra ngoài vành tai) gây ra do môi trường trong tai bị ẩm ướt (do nước đọng lại trong tai) hoặc do trầy xước ống tai khi cào gãi, móc ráy tai. Những nguyên nhân nói trên làm thay đổi môi trường bảo vệ trong tai, tổn thương lớp da ống tai tạo cơ hội cho vi trùng xâm nhập và gây bệnh.
Triệu chứng của viêm tai ngoài
Bệnh nhân bị viêm tai ngoài thường có triệu chứng đau tai, đặc biệt cơn đau thường tăng lên khi dùng tay kéo vành tai hay ấn vào nắp tai. Ngoài ra, còn có một số dấu hiệu đặc trưng khác như cảm giác đầy tai, ngứa tai, chảy dịch ngoài cửa tai hoặc tai giảm sức nghe… Đối với một số trường hợp viêm tai ngoài nặng, bệnh nhân có thể bị sốt cao, ống tai ngoài sưng đỏ, nổi hạch vùng cổ hoặc tai chảy dịch.
Viêm tai ngoài được chia thành ba dạng:
- Viêm tai ngoài khu trú, còn gọi là nhọt ống tai: Tác nhân gây bệnh chính là vi khuẩn tụ cầu vàng.
- Viêm tai ngoài lan tỏa: Do vi khuẩn nấm, virus, thường gặp nhất là viêm tai ngoài do vi khuẩn pseudomonas. Trường hợp viêm tai ngoài do virus herpes zoster (còn gọi là zona tai) thường kèm theo đau rát dữ dội và nổi mụn nước trong ống tai, vành tai, ở thể nặng có thể gây liệt mặt, giảm thính lực và rối loạn thăng bằng.
- Viêm tai ngoài ác tính: Là tình trạng viêm hoại tử nặng lan rộng từ ngoài vào trong gây viêm tế bào, viêm xương, có thể gây tử vong. Bệnh thường gặp ở những người bị đái tháo đường, người già suy nhược hoặc người nhiễm HIV.

Tai ngoài bình thường

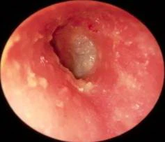
Viêm tai ngoài
Chẩn đoán viêm tai ngoài?
Dựa vào thông tin bệnh nhân cung cấp, kết hợp với thăm khám lâm sàng là đủ để bác sĩ chẩn đoán bệnh lý viêm tai ngoài. Bác sĩ sẽ dùng đèn soi vào trong tai bạn hoặc sử dụng hệ thống nội soi tai, hình ảnh sẽ được thấy rõ trên màn hình.
Điều trị viêm tai ngoài như thế nào?
Phương pháp điều trị viêm tai ngoài hiện nay chủ yếu sử dụng thuốc nhỏ tai để ngăn chặn nhiễm trùng và làm sạch tai, giúp tai nhanh chóng hồi phục. Trường hợp bệnh nhân được chẩn đoán viêm tai ngoài ác tính, bác sĩ sẽ chỉ định dùng kháng sinh đường uống để điều trị. Trong khi điều trị, bệnh nhân cần hạn chế sử dụng tai nghe, hạn chế đi bơi, không để nước vô tai trong khi tắm bằng cách đặt cục gòn tại cửa tai.
Phòng ngừa bệnh lý viêm tai ngoài
Việc phòng ngừa viêm tai ngoài đặc biệt quan trọng đối với những người hoạt động dưới nước nhiều và những người mắc bệnh mãn tính hoặc suy giảm miễn dịch. Một số biện pháp phòng bệnh có thể kể đến như:
- Dùng máy sấy tóc để sấy khô nước trong ống tai sau khi bơi lội hoặc tắm.
- Không tắm/bơi ở những nơi có nguồn nước không đảm bảo vệ sinh như ao, hồ bị ô nhiễm.
- Không dùng tăm bông hoặc vật sắc nhọn ngoáy tai, cào gãi gây trầy xước ống tai.
- Trường hợp không thể vệ sinh tai, nên đến gặp bác sĩ chuyên khoa để được rửa ống tai và giúp lấy ráy tai đúng cách.
- Tránh các tác nhân kích thích vào ống tai như keo xịt tóc, nước hoa.
| Hệ thống phòng khám quốc tế Victoria Healthcare: Phòng khám 1: 79 Điện Biên Phủ, phường Đa Kao, quận 1 Phòng khám 2: 135A Nguyễn Văn Trỗi, phường 12, quận Phú Nhuận Phòng khám 3: Broadway D, 152 Nguyễn Lương Bằng, quận 7 Phòng khám QuickCare: Lầu 1, 77 Nguyễn Hữu Cầu, phường Tân Định, quận 1 Tổng đài: (08) 3910 4545 - Website: www.victoriavn.com - Email:info@victoriavn.com |