Bộ tộc ăn não người và 'chìa khóa' chống bệnh mất trí nhớ

(PLO) – Theo một két quả nghiên cứu, một bộ tộc ở Papua New Guinea vốn từng có tập tục ăn thịt người có khả năng phát triển kháng thể chống lại các bệnh tương tự bò điên. Phát hiện mới này có thể giúp ích trong việc nghiên cứu các chứng bệnh mất trí nhớ.

Theo tờ The Guardian (Anh), một nghiên cứu về bộ lạc Fore ở Papua New Guinea, từng có tập tục ăn não người, đang giúp các nhà khoa học hiểu rõ hơn về bệnh bò điên cũng như các điều kiện khiến các prion (một dạng protein gây bệnh trong điều kiện nhất định) gây bệnh. Nghiên cứu này có thể giúp hiểu rõ hơn về bệnh Parkinson và bệnh mất trí nhớ (dementia).

Theo nghiên cứu của các nhà khoa học người Anh và Papua New Guinea, bộ tộc Fore đã hình thành kháng thể với bệnh kuru tương tự như bò điên nhờ vào truyền thống ăn não người trong tang lễ của họ trước đây.

Bé gái tộc Fore (trái) thuộc đảo Papua New Guinea ở thời kỳ cuối của bệnh Kuru. (Nguồn: Reuters)

Các chuyên gia cho rằng tục ăn thịt người đã dẫn đến một đại dịch bệnh kuru cho bộ tộc Fore, mà đỉnh điểm của dịch vào thập niên 50 đã giết chết 2% dân số bộ tộc mỗi năm.

Trong các nghiên cứu được công bố trên tạp chí khoa học Nature, các nhà nghiên cứu đã xác định được gene kháng thể của prion gây bệnh, đồng thời nhận thấy gene này cũng bảo vệ khỏi được tất cả các dạng khác của bệnh Creutzfeldt-Jakob (CJD).

“Đây là một chứng cứ thuyết phục về thuyết tiến hóa của Darwin ở người: dịch kuru đã gây thay đổi một cá thể gene đến mức bảo vệ hoàn toàn con người khỏi bệnh mất trí chết người này” đồng chủ trì công trình này, ông John Collinge thuộc Viện nghiên cứu prion thần kinh, Đại học London cho biết.

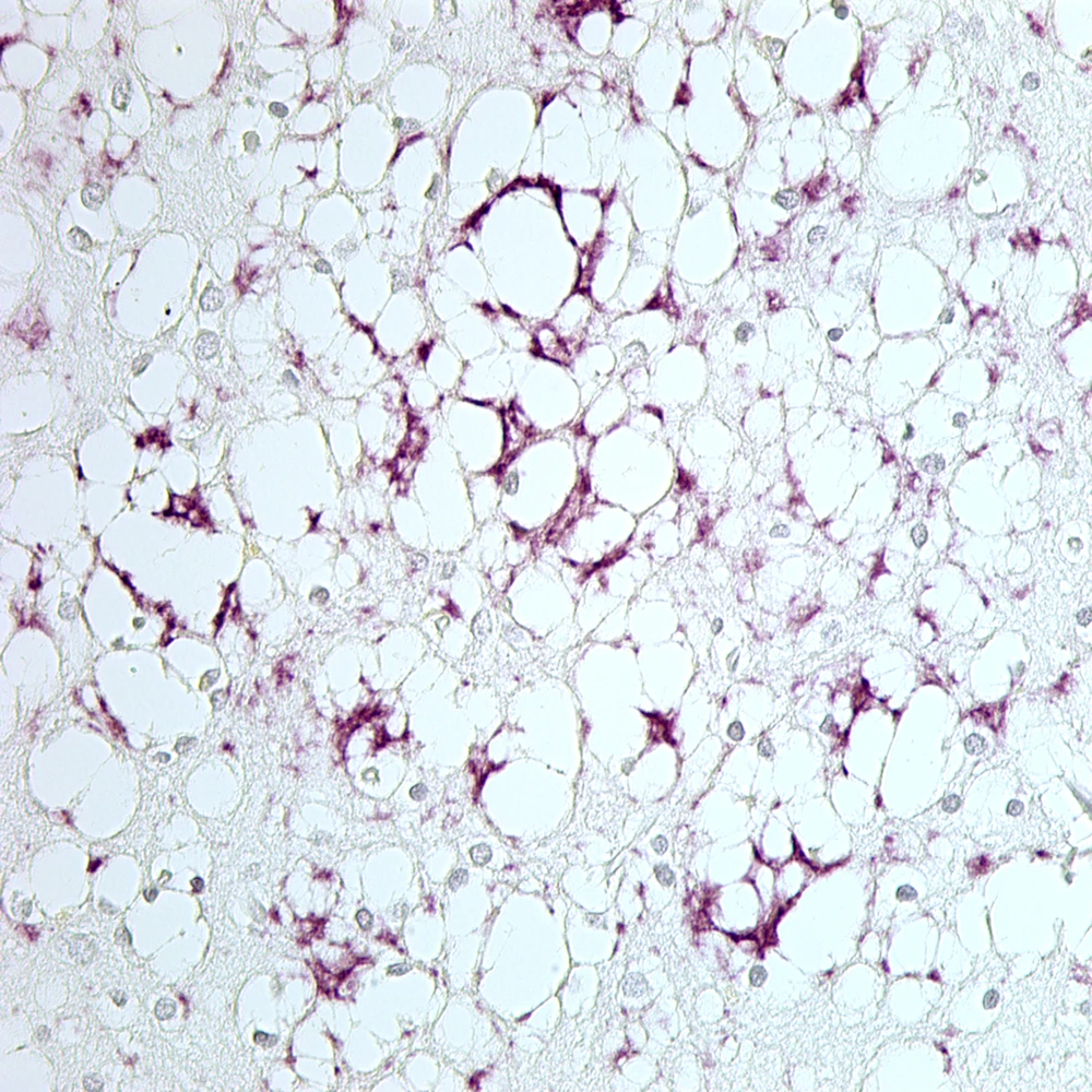
Não bệnh nhân mắc bệnh CJD bị thoái hóa thần kinh và hình thành các mô lớn prion màu tím. (Nguồn: scientificamerican.com)

Prion là nhân tố gây ra các chứng bệnh nguy hiểm ở não như bệnh CJD ở người, bệnh ngứa điên ở cừu và bệnh bò điên ở gia súc.

Prion là một nguyên nhân tuy hiếm nhưng quan trọng của bệnh mất trí nhớ, và giờ đây các nhà khoa học đã nhận diện được tiến trình các prion thay đổi hình dạng và liên kết nhau tạo thành chuỗi polyme gây tổn thương não. Tiến trình này còn được ghi nhận ở các chứng mất trí nhớ thông thường khác như Alzheimer, Parkinson và các bệnh thoái hóa hệ thần kinh khác.

Nhóm nghiên cứu của Collinge đang tiếp tục các nghiên cứu nhằm hiểu rõ hơn về nền tảng phân tử của hiện tượng này với hy vọng tìm ra manh mối về các protein chứa mầm bệnh trong não người cũng như nguyên nhân gây ra các chứng mất trí thường gặp.
Theo ước tính của WHO, hiện trên thế giới có 47,5 triệu người bị bệnh mất trí nhớ và mỗi năm lại có thêm 7,7 triệu ca mới. Dự tính tổng số ca mắc bệnh sẽ lên đến 75,6 triệu ca vào năm 2030 và gấp ba lên 135,5 triệu ca vào năm 2050.

Đừng bỏ lỡ

Video đang xem nhiều

Đọc thêm