Bị sùi mào gà có vô sinh không?

(PLO)- Khi bị sùi mào gà, khả năng đồng nhiễm với các tác nhân gây bệnh lây qua đường tình dục khác như lậu, giang mai…. rất cao.

0:00 / 0:00
0:00
  • Nữ miền Nam
  • Nam miền Nam

Khi mắc sùi mào gà thì có nguy cơ cao mắc các bệnh lây qua đường tình dục khác không, thưa bác sĩ? (Đức Anh, 28 tuổi, TP.HCM)

Trả lời

Sùi mào gà (do virus HPV gây ra) là một trong những bệnh lây qua đường tình dục phổ biến nhất trên toàn thế giới cũng như ở Việt Nam. Bệnh lây lan chủ yếu qua quan hệ tình dục, có thể lây qua tiếp xúc.

Bệnh sùi mào gà có thể được chẩn đoán tương đối dễ dàng và điều trị không quá khó khăn. Tuy nhiên, vấn đề quan trọng thường bị bỏ qua là việc tầm soát các tác nhân gây bệnh lây qua đường tình dục khác đi kèm ở người bệnh.

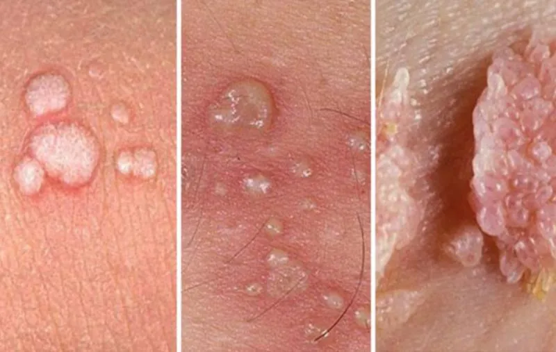
Sùi mào gà - 1
Sùi mào gà lây lan chủ yếu qua đường quan hệ tình dục, có thể lây qua đường tiếp xúc. Ảnh: Internet

HPV và các tác nhân gây bệnh lây qua đường tình dục khác có chung con đường lây nhiễm khi quan hệ tình dục và chung các yếu tố nguy cơ khác như quan hệ với nhiều bạn tình, quan hệ tình dục không an toàn hoặc không sử dụng biện pháp bảo vệ. Vì vậy, nếu một người bị sùi mào gà, khả năng đồng nhiễm với các tác nhân gây bệnh lây qua đường tình dục khác rất cao.

Việc đồng nhiễm có thể gây ra những tác động tiêu cực đến tình trạng nhiễm HPV. Các tác nhân lây qua đường tình dục khác như lậu, chlamydia… gây phản ứng viêm tổn thương niêm mạc và làm suy giảm miễn dịch tại chỗ của cơ thể. Điều này sẽ tạo điều kiện cho HPV xâm nhập ra xung quanh nhanh hơn và làm tăng nguy cơ tái phát dai dẳng sau điều trị.

Ngoài ra còn làm tăng tỉ lệ bỏ sót các bệnh lây qua đường tình dục, dẫn đến tình trạng nhiễm trùng dai dẳng và làm tăng nguy cơ xuất hiện biến chứng như viêm vùng chậu, viêm mào tinh hoàn, vô sinh… cũng như tăng nguy cơ lây bệnh.

Bệnh viện Da liễu TP.HCM đã ghi nhận có đến 95,5% bệnh nhân sùi mào gà hậu môn bị nhiễm ít nhất một tác nhân lây qua đường tình dục ở 1 trong 3 vị trí sinh dục, hầu họng và hậu môn.

Vì vậy bệnh nhân sùi mào gà nên được chủ động tầm soát toàn bộ các tác nhân lây qua đường tình dục khác, bao gồm cả những vị trí ngoài vùng sinh dục nếu có nguy cơ.

Bác sĩ chuyên khoa II ĐOÀN VĂN LỢI EM - Trưởng khoa Khám bệnh, Bệnh viện Da liễu TP.HCM

Đừng bỏ lỡ

Video đang xem nhiều

Đọc thêm