Sử dụng mống mắt khi thu thập dữ liệu có an toàn cho mắt?

(PLO)- Bạn đọc cho rằng sử dụng mống mắt vào việc thu thập dữ liệu cá nhân vào Căn cước là hợp lý đi kèm với tính bảo mật cao.

0:00 / 0:00
0:00
  • Nam miền Bắc
  • Nữ miền Bắc
  • Nữ miền Nam
  • Nam miền Nam

Mới đây, Pháp Luật TP.HCM có bài viết “Luật Căn cước: Công dân dưới 6 tuổi không cần cung cấp mống mắt” về nội dung Quốc hội đã chính thức thông qua Luật Căn cước gồm 7 chương, 46 điều. Luật Căn cước sẽ bắt đầu có hiệu lực từ ngày 1-7-2024.

Trong đó có việc thu thập lấy thông tin sinh trắc học bằng mống mắt, một số bạn đọc cho rằng việc lấy mống mắt thu thập thông tin là xu hướng mới của thế giới.

Thu thập dữ liệu bằng công nghệ: Bắt kịp xu hướng

Bạn đọc Nguyễn Châu, từ phương diện có kinh nghiệm trong lĩnh vực công nghệ nhận định: "Việc thu thập mống mắt thực ra hiện nay trên các điện thoại smartphone đã sử dụng từ rất lâu, công nghệ này được ứng dụng với các tính năng như: Khóa mở màn hình, xác nhận thanh toán mua hàng…độ bảo mật rất cao. Về việc thu thập dữ liệu của người dân bằng mống mắt vào căn cước thì mình thấy rất hay! Bởi vì đây có thể là bước tiến mới phù hợp với công nghệ 4.0 hiện nay".

Tương tự bạn đọc Alex Nguyễn đồng ý quan điểm bình luận: "Gần đây nhất, một hãng công nghệ lớn của Mỹ tung ra thị trường một hệ thống sinh trắc học mới mang tên Optic ID cho dòng sản phẩm của họ. Theo đó, hệ thống này sử dụng công nghệ phân tích mống mắt để nhận dạng người dùng cho việc bảo mật các dữ liệu cá nhân, tương tự như cách nhận diện bằng Face ID (nhận diện khuôn mặt) và Touch ID (vân tay) trên các smartphone, máy chấm công... như hiện nay. Việc vận dụng mống mắt thu thập dữ liệu cho căn cước thì tôi thấy rất hợp lý, dữ liệu nhanh chóng và độ bảo mật cao".

Bạn đọc Trần Thiện thắc mắc: "Mống mắt có thay đổi qua các năm? Việc sử dụng mống mắt vào bảo vệ dữ liệu cá nhân có an toàn và độ bảo mật ra sao?...".

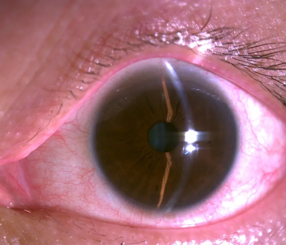
Mống mắt
Mống mắt của một người châu Á (có màu nâu). Ảnh: BVCC

Thu thập dữ liệu bằng mống mắt an toàn và thuận tiện

Báo Pháp Luật TP.HCM đã có cuộc trao đổi với BS CKII Phạm Nguyên Huân, Phó giám đốc BV Mắt TP.HCM về việc bạn đọc thắc mắc liệu sử dụng mống mắt khi thu thập dữ liệu có an toàn cho mắt.

. Phóng viên: Thưa BS, mống mắt là gì? Mống mắt bao gồm những cấu trúc nào?

+ BS Phạm Nguyên Huân: Về mặt giải phẫu, mống mắt là phần có màu sắc tại mắt nằm xung quanh đồng tử (con ngươi). Mống mắt nằm trước thủy tinh thể và nằm sau giác mạc, bao xung quanh là thủy dịch.

Cấu tạo của mống mắt từ trước ra sau bao gồm mặt trước, nhu mô, cơ vòng và cơ tia, và lớp biểu mô sắc tố ở mặt sau. Số lượng sắc tố tại mống mắt là yếu tố xác định màu sắc của mống mắt. Khi có rất ít sắc tố, mống mắt sẽ có màu xanh dương; khi lượng sắc tố nhiều hơn, mống mắt màu nâu sẫm hoặc đen.

. Thưa BS, mống mắt có khả năng thay đổi hình dạng và màu sắc không?

+ BS Phạm Nguyên Huân: Mống mắt người có thể thay đổi khác nhau về màu sắc và hình dạng trong vài trường hợp sau:

- Cường độ ánh sáng: Phản xạ ánh sáng của mống mắt bao gồm trong điều kiện ánh sáng mạnh, mống mắt co thắt dẫn đến kích thước đồng tử nhỏ lại; trong điều kiện ánh sáng tối, mống mắt giãn ra, dẫn đến kích thước đồng tử lớn ra. Phản xạ này xảy ra rất nhanh.

- Đáp ứng với trạng thái tâm lý.

- Tình trạng sức khỏe: Một số thuốc có thể làm thay đổi hình dạng cũng như màu sắc của mống mắt.

- Bệnh lý hoặc chấn thương: Viêm mống mắt hoặc chấn thương ở mắt có thể làm thay đổi hình dạng và kích thước mống mắt.

- Yếu tố gen: Yếu tố gen có thể đóng vai trò quan trọng trong việc quyết định màu sắc mống mắt.

Tuy nhiên đối với đại đa số các trường hợp, hình thái mống mắt ổn định trong suốt cuộc đời.

thăm khắm mống mắt.jpg
Hình thái mống mắt ổn định trong suốt cuộc đời. Ảnh: BVCC

. Nếu sử dụng mỗi mống mắt thì có thể định danh cá nhân chính xác và đầy đủ không, thưa BS?

+ BS Phạm Nguyên Huân: Định danh bằng mống mắt là một phương pháp định danh sinh học tự động. Phương pháp này có tính chính xác và độ tin cậy cao, với tỷ lệ sai lệch rất thấp.

Ý tưởng định danh cá nhân bằng mống mắt được đưa ra từ những năm 1930, nhưng đến năm 1987, bản quyền công nghệ định danh bằng mống mắt mới được công nhận và sau này trở nên phổ biến rộng rãi và thương mại hóa khi bản quyền công nghệ này hết hạn bảo hộ. Tuy nhiên, nhược điểm của phương pháp này là đòi hỏi các thiết bị chuyên dụng đặc biệt.

. Dưới góc nhìn y khoa, BS hãy chia sẻ ưu điểm và nhược điểm khi sử dụng mống mắt vào thu thập dữ liệu?

+ BS Phạm Nguyên Huân: Thu thập thông tin mống mắt để làm cơ sở đối soát, xác thực thông tin của mỗi cá nhân; hỗ trợ trong những trường hợp không thu nhận được vân tay của một người (các trường hợp khuyết tật, vân tay bị biến dạng…).

Dưới góc nhìn y khoa, việc sử dụng mống mắt để thu thập dữ liệu căn cước có nhiều ưu điểm. Đây là phương pháp không xâm lấn. Vì phương pháp này không đòi hỏi tiếp xúc vật lý (như sử dụng vân tay) nên an toàn và thuận tiện hơn. Sử dụng mống mắt là một trong những phương pháp sử dụng đặc điểm sinh trắc để nhận dạng và dễ quan sát, hạn chế được sự can thiệp làm sai lệch từ bên ngoài, đa số ổn định suốt đời. Bên cạnh đó, nhờ sự phát triển của công nghệ, việc thu thập dữ liệu hình thái mống mắt cũng trở nên dễ dàng và nhanh chóng hơn.

Tuy nhiên, cần tính đến những trường hợp bệnh nhân có thay đổi cấu trúc mống mắt sau phẫu thuật hoặc chấn thương tại mắt, hoặc bệnh nhân xuất hiện bệnh lý tại nhãn cầu làm cản trở quá trình thu thập dữ liệu hình thái mống mắt như sẹo giác mạc, mộng thịt, loạn dưỡng giác mạc...

. Xin cám ơn ông.

Đừng bỏ lỡ

Video đang xem nhiều

Đọc thêm