Bé 8 tuổi chấn thương sọ não vì bị ném chai bia

(PLO)- Bé trai 8 tuổi nhập viện trong tình trạng bị thương nặng ở đầu.

Ngày 11-5, Bệnh viện hữu nghị Việt Nam-Cu Ba Đồng Hới (Quảng Bình) cho biết bệnh viện đang điều trị cho bé trai 8 tuổi chấn thương sọ não do bị ném chai bia vào đầu.

Sau khi xảy ra vụ việc, em Hồ N. đã rời khỏi bản K-Ai.

Ông Cao Xuân Xiêm, Trưởng bản K-Ai, xác nhận nạn nhân là cháu Hồ Đ. (8 tuổi, trú bản Ka Vàng, xã Dân Hóa, huyện Minh Hóa).

Trước đó, vào ngày 8-5, trong lúc ngồi chơi tại quán nước trong xã, một thiếu niên tên là Hồ N. (13 tuổi, trú bản Ka Vàng) có xảy ra mâu thuẫn với em trai mình nên lấy một chai bia ném về phía em trai. Không may chai bia lại trúng vào đầu em Đ. khiến em bị thương nặng.

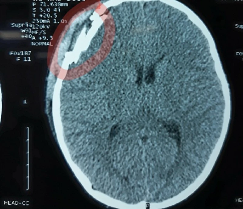
Ngay sau đó em Đ. được đưa đi cấp cứu tại Bệnh viện Hữu nghị Cu Ba - Đồng Hới trong tình trạng đau đầu, chóng mặt, chảy máu mũi. Qua chụp phim CT Scanner cho thấy nạn nhân bị chấn thương sọ não, vỡ xương sọ vùng trán và tụ máu ngoài màng cứng.

Ảnh chụp phim CT Scanner.

Sau khi được các bác sĩ phẫu thuật, hiện em Đ. đã qua cơn nguy hiểm, sức khỏe dần ổn định.

Ông Đoàn Phúc Hạnh, Chủ tịch UBND xã Dân Hóa, cho biết thiếu niên gây ra sự việc đã trốn khỏi địa phương.

Đừng bỏ lỡ

Video đang xem nhiều

Đọc thêm