Bé trai 5 tuổi ho khò khè suốt 2 tháng vì lý do không ngờ

(PLO)- Bé trai 5 tuổi hai tháng có biểu hiện khò khè, uống nhiều thuốc nhưng không thuyên giảm.

Ngày 23-4, BS Đào Trung Hiếu, Phó Giám đốc Bệnh viện (BV) Nhi đồng 1 (TP.HCM) cho biết vừa phẫu thuật cứu bé trai 5 tuổi nuốt dị vật nguy hiểm.

Trước đó, vào ngày 13-4, bé trai được người nhà đưa đến nhập viện vì khò khè kéo dài suốt 2 tháng nay nhưng điều trị thuốc không thuyên giảm. Chị Huệ, mẹ bé cho biết bé bắt đầu ho, khó thở từ trước Tết. Bé được nhiều nơi chẩn đoán viêm đường hô hấp, viêm phế quản, hen nhưng uống thuốc không đỡ. Vào buổi tối, bé càng ho nhiều hơn, hơi thở càng lúc nặng nhọc. Người nhà cho biết không ghi nhận gì về việc bé nuốt dị vật hay có biểu hiện ho sặc như hóc dị vật.

Bé trai buộc phải mổ hở mới lấy được dị vật là chiếc dây kéo quần áo. Ảnh: AT

Thời điểm nhập viện, qua thăm khám, các bác sĩ xác định bé tỉnh, tiếp xúc tốt, sinh hiệu ổn, cân nặng, chiều cao bình thường, mũi thoáng, họng sạch.

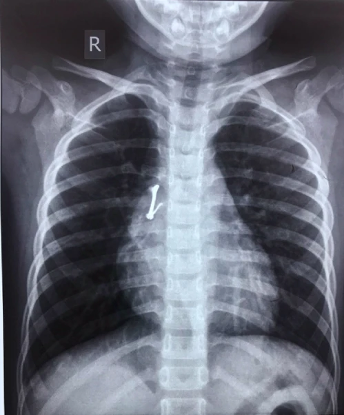
Tuy nhiên, khi chụp X-quang ngực, các bác sĩ mới phát hiện bé có một dị vật ở phế quản của phổi bên phải. Ban đầu, ekip điều trị đã chỉ định nội soi phế quản gắp dị vật cho bé nhưng bất thành do dị vật nhỏ, cứng đã mắc kẹt, dính chặt vào mô của đường thở, nếu cố gắng lấy ra có thể gây vỡ mạch máu, tràn khí, nguy đến tính mạng.

Vị trí chiếc móc khóa trong phổi bé trai. Ảnh: BVCC

Do đó, các bác sĩ đã chuyển hướng sang mổ hở, mở lồng ngực bé ra để theo dõi, trong khi đó, bác sĩ tai mũi họng thực hiện nội soi gắp dị vật qua đường thở. Dị vật được gắp ra là móc khóa dây kéo kim loại đường kính 20×4mm.

Sau khi gắp dị vật, đường thở của bé được khai thông. Bé chảy ít máu, được cầm máu bằng gạc và đóng ngực từng lớp. Hiện tại, sức khỏe của bé trai đã ổn định, vết mổ trước ngực đã khô.

Khóa dây kéo được các bác sĩ gắp ra cho bé trai. Ảnh: AT

Theo các bác sĩ, hóc dị vật là một tai nạn thường gặp với trẻ em. Trẻ em thường hay khám phá thế giới xung quanh, đôi khi cho mọi thứ vào miệng.

Cổ trẻ em có cấu tạo ngắn hơn người lớn nên dễ hít thẳng đồ ăn, đồ chơi ngậm trong miệng vào phổi. Dấu hiệu nhiều khi chỉ là trẻ ho, thở khò khè nên người nhà, thậm chí các bác sĩ không thăm khám kỹ dễ nhầm lẫn với các bệnh như viêm phế quản, viêm phổi... Dấu hiệu nặng hơn là trẻ có thể ho sặc, tím tái, ngất xỉu, ngừng thở.

Đừng bỏ lỡ

Video đang xem nhiều

Đọc thêm