Bé trai nguy kịch vì mảnh xương lươn cắm chặt thực quản 5 ngày

(PLO)- Bé trai 6 tháng tuổi sốt, ho, khò khè, ọc sữa nhưng điều trị ở phòng khám tư không hết.  

Mới đây, Bệnh viện (BV) Nhi Đồng Thành phố (TP.HCM), cho biết vừa tiếp nhận bé trai TrVH (6 tháng tuổi, ngụ ở Bà Rịa-Vũng Tàu), nhập viện trong tình trạng khó thở tím tái.

Người nhà cho biết bé bệnh 4 ngày, sốt ho, khò khè, ọc sữa, tiêu lỏng nhưng điều trị ở phòng khám tư không bớt, trẻ thở mệt nên người nhà đưa trẻ nhập BV Nhi Đồng Thành phố.

Tại đây, trẻ biểu hiện tím tái, thở co kéo 64 lần/phút, tri giác lơ mơ, nhịp tim tăng cao, độ bão hòa oxy trong máu giảm nên được đặt lại nội khí quản giúp thở, thở máy.

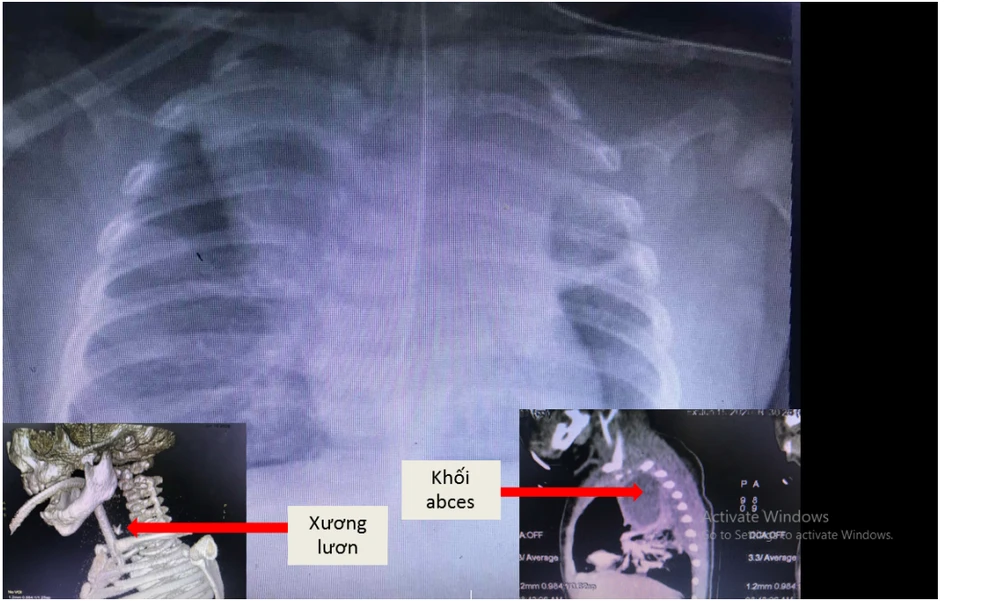
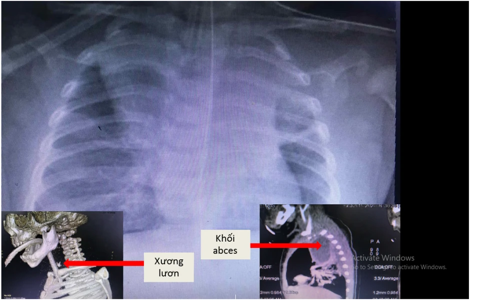
Kết quả chẩn đoán hình ảnh ghi nhận bé bị áp xe thành sau họng lan xuống 1/3 trung thất sau, viêm phổi, ghi nhận có dị vật ở thực quản và đường dò từ thực quản ra khối áp xe. Bé được hội chẩn các ê kíp hô hấp, tiêu hóa, tai mũi họng, ngoại lồng ngực để tiến hành rạch cạnh cổ thoát lưu mủ khối áp xe.

Hình ảnh khối áp xe và vị trí dị vật trong thực quản bé trai bị hóc xương lươn. Ảnh: BVCC

Khi nội soi, các bác sĩ gắp ra được dị vật là một mảnh xương lươn (0,5x0,3cm) gắm sâu vào thành thực quản và gây rách một đoạn khoảng 2cm, phải khâu vá lại. Sau hơn một tháng điều trị, tình trạng trẻ cải thiện dần, cai được máy thở, tỉnh táo, vết thương cạnh cổ, thực quản hết mủ dịch, lành lặn và chuẩn bị được cho ăn qua đường miệng trở lại.

Sau ca mổ, mẹ bé cho biết có cho bé ăn cháo lươn trước nhập viện 5 ngày và tưởng đã lấy hết xương ra ngoài. Các bác sĩ lưu ý phụ huynh khi cho con ăn uống, đặc biệt là tuổi ăn dặm phải chắc chắn loại bỏ xương ra thực sự (kiểm tra bằng mắt, tay hoặc qua rây lọc).

Trẻ nhỏ dưới 5 tuổi ăn trái cây phải lấy hột ra hết, uống thuốc nên là dạng si rô hay gói bột pha nước, tránh dùng thuốc viên... để không xảy ra tai nạn dị vật đường thở, đường ăn, nguy hiểm đến tính mạng trẻ.

Đừng bỏ lỡ

Video đang xem nhiều

Đọc thêm