Bệnh viện Hữu nghị Việt Nam - Cu Ba Đồng Hới thông tin về trường hợp bệnh nhân 16 tuổi tử vong

(PLO)- Theo Bệnh viện Hữu nghị Việt Nam - Cu Ba Đồng Hới (tỉnh Quảng Trị), bệnh nhân 16 tuổi được chuyển tuyến cấp cứu với chẩn đoán ban đầu theo dõi viêm tụy cấp nhưng sau đó tử vong dù được y, bác sĩ tận tình cứu chữa.

0:00 / 0:00
0:00
  • Nam miền Bắc
  • Nữ miền Bắc
  • Nữ miền Nam
  • Nam miền Nam

Ngày 18-1, Bệnh viện Hữu nghị Việt Nam - Cu Ba Đồng Hới (tỉnh Quảng Trị) có thông cáo báo chí liên quan vụ việc một bệnh nhân 16 tuổi tử vong sau quá trình cấp cứu và điều trị tại bệnh viện.

Theo Bệnh viện Hữu nghị Việt Nam - Cu Ba Đồng Hới, bệnh nhân LHTV (16 tuổi, xã Đồng Lê) được chuyển từ Bệnh viện Đa khoa khu vực Tuyên Hóa vào cấp cứu lúc 17 giờ 44 phút ngày 15-1 với chẩn đoán ban đầu theo dõi viêm tụy cấp.

Tiếp nhận ca bệnh, ê-kíp y bác sĩ đã nhanh chóng thăm khám, xét nghiệm và chỉ định chẩn đoán hình ảnh. Đồng thời giải thích tình trạng bệnh và hướng xử trí chuyên môn cho gia đình người bệnh.

tu-vong.png
Bệnh viện Hữu nghị Việt Nam - Cu Ba Đồng Hới.

Đến khoảng 20 giờ 40 phút cùng ngày, bệnh nhân được chỉ định chụp cắt lớp vi tính (CT) ổ bụng có thuốc cản quang. Sau khi chụp, bệnh nhân xuất hiện đau bụng nhiều, bụng chướng, được chỉ định đặt sonde dạ dày và tiếp tục theo dõi, chờ kết quả cận lâm sàng.

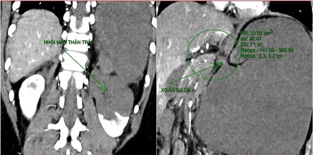
Khoảng 21 giờ 40 phút, kết quả chụp CT cho thấy bệnh nhân rơi vào tình trạng cực kỳ nặng và hiếm gặp, bao gồm xoắn dạ dày, nhồi máu thận trái, nhồi máu lách, viêm đầu tụy, viêm hỗng tràng, kèm dịch ổ bụng và tràn dịch màng phổi, trên nền bệnh nhân mắc hội chứng Down và tim bẩm sinh.

Trước diễn biến nguy kịch, bệnh viện đã khẩn trương tổ chức hội chẩn liên khoa, với sự tham gia của các chuyên khoa Hồi sức tích cực - Chống độc, Cấp cứu, Ngoại tổng hợp, Chẩn đoán hình ảnh và Gây mê hồi sức.

1340771029258698199.jpg
Kết quả chụp CT cho thấy tình trạng bệnh nhân rất nặng.

Sau hội chẩn, bệnh nhân được chỉ định phẫu thuật cấp cứu. Tuy nhiên, trong quá trình chuẩn bị can thiệp, bệnh nhân xuất hiện suy hô hấp và ngừng tuần hoàn. Các bác sĩ đã tiến hành hồi sức tích cực, đặt nội khí quản, cấp cứu ngừng tuần hoàn nhiều lần theo đúng phác đồ chuyên môn.

Dù được cấp cứu và điều trị tích cực, do bệnh diễn tiến quá nặng và phức tạp, bệnh nhân đã tử vong lúc 23 giờ 47 ngày 15-1-2026.

Bệnh viện Hữu nghị Việt Nam - Cu Ba Đồng Hới khẳng định đã thực hiện đầy đủ, đúng quy trình chuyên môn trong toàn bộ quá trình tiếp nhận, chẩn đoán, điều trị và cấp cứu, với tinh thần trách nhiệm cao nhất.

Đồng thời, bệnh viện bày tỏ sự chia sẻ sâu sắc trước mất mát của gia đình bệnh nhân.

Trước đó, trên nền tảng mạng xã hội có đăng tải nội dung về việc cháu V tử vong và có nhiều ý kiến trái chiều, gây bức xúc dư luận.

Trao đổi qua điện thoại, một người nhà của cháu bé V cho biết vì đang lo công việc hậu sự nên chưa thể trao đổi cụ thể và sẽ cung cấp thông tin chi tiết vào thời điểm khác.

Trước câu hỏi gia đình cháu V có khiếu nại hay phản ứng ra sao khi xảy ra sự việc hay không, Bác sĩ Nguyễn Đức Cường, Giám đốc Bệnh viện cho biết, đến nay chỉ thấy các mạng xã hội đăng tải nội dung này và bệnh viện đã thực hiện cung cấp thông tin cho báo chí theo quy định.

Song song đó, bệnh viện cũng cung cấp thông tin cho Phòng An ninh chính trị nội bộ Công an tỉnh Quảng Trị để theo dõi, nắm bắt sự việc.

Đừng bỏ lỡ

Video đang xem nhiều

Đọc thêm