Đau thắt lưng, đi khám ra sán lá gan lớn sinh sôi khắp cơ thể

(PLO)- Nghĩ bị cảm, bà Đ. mua thuốc uống nhưng đau nhức không giảm. Đi khám mới tá hỏa vì nhiễm sán lá gan nhiều năm.

Ngày 21-3, thông tin từ BV Hoàn Mỹ Quốc tế Vinh (Nghệ An) cho hay vừa phát hiện một trường hợp người lớn nhiễm sán lá gan lớn.

Bệnh nhân là bà PTĐ (55 tuổi, ngụ huyện Anh Sơn) đến BV này khám trong tình trạng mệt mỏi, đầy bụng, đau đầu và đau ở vùng ngực, thắt lưng nhiều. Trước đó, bà Đ. chỉ nghĩ mình bị bệnh cảm nên đã mua thuốc về tự điều trị nhưng dấu hiệu đau nhức không thuyên giảm.

Với những dấu hiệu lâm sàng, bác sĩ đã khám và chỉ định làm xét nghiệm sâu hơn. Kết quả cho thấy người bệnh mắc bệnh sán lá gan sinh sống trong cơ thể đã nhiều năm nay và sinh sôi, lan ra trong nhiều bộ phận cơ thể. Người bệnh được kê thuốc và hướng dẫn lên BV tuyến trên để theo dõi, điều trị tiếp.

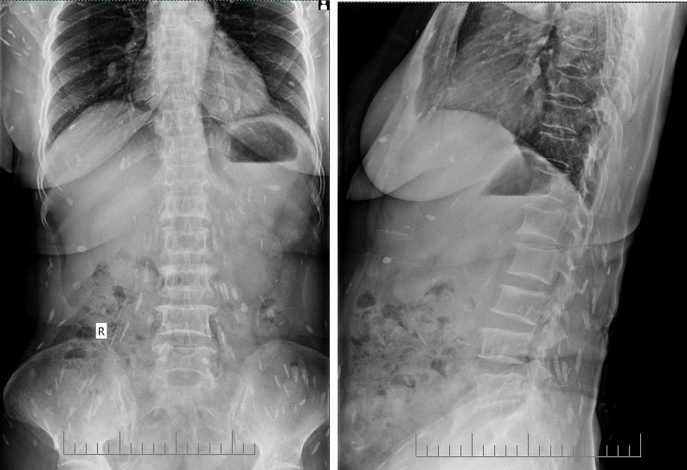
Hình ảnh chụp tim phổi thẳng cho thấy rất nhiều con sán lá gan (màu trắng) ký sinh trong nhiều cơ quan của người phụ nữ. Ảnh: BVCC

Bác sĩ chuyên khoa 1 Trần Thị Bích Lan cho biết tác nhân gây bệnh sán lá gan lớn thường là từ động vật ăn cỏ, hoặc cũng có thể bị lây truyền qua trung gian là một số loài ốc nước ngọt (ốc họ Lymnaea).

Người nhiễm bệnh do ăn sống các loại rau mọc dưới nước (rau ngổ, rau nhút, rau cần…) hoặc uống nước lã có nhiễm ấu trùng sán. Ấu trùng vào dạ dày đến ruột, gan sán trưởng thành, ký sinh tại gan nhiều năm, đẻ trứng theo phân ra ngoài, xuống nước. Xuống nước trứng nở thành ấu trùng lông, sau đó phát triển thành một loại ốc thuộc họ Lymnaea, rồi thành ấu trùng đuôi, rồi thành nang trùng. Nang trùng bám vào các loại rau thủy sinh, bơi trong nước, người ăn uống phải sẽ mắc bệnh sán lá gan lớn.

Theo Viện sốt rét – Ký sinh trùng – Côn trùng TP.HCM, sán lá gan lớn ký sinh chủ yếu ở mô gan, gây tổn thương gan. Trong giai đoạn xâm nhập sán có thể đi chuyển lạc chỗ và gây các tổn thương ở các cơ quan khác như thành ruột, thành dạ dày, thành bụng, đôi khi có trong bao khớp.

Hình ảnh sán lá gan lớn. Ảnh: Internet

Sau giai đoạn xâm nhập vào nhu mô gan từ 2-3 tháng, sán xâm nhập vào đường mật trưởng thành và đẻ trứng. Tại đây sán trưởng thành có thể ký sinh và gây bệnh trong nhiều năm (có thể tới 10 năm) nếu không được phát hiện và điều trị. Tại đường mật, sán gây tổn thương biểu mô đường mật, tắc mật, viêm và xơ hoá đường mật thứ phát, có thể gây ung thư biểu mô đường mật, viêm tụy cấp, là yếu tố gây bội nhiễm.

Các biểu hiện lâm sàng của bệnh do sán lá gan lớn thường không đặc hiệu, tùy thuộc vào giai đoạn phát triển và vị trí sán ký sinh, cũng như số lượng ấu trùng sán. Một số triệu chứng khi nhiễm sán lá gan lớn là mệt mỏi, biếng ăn, gầy sút, sốt thất thường, sốt cao, rét run hoặc sốt chỉ thoáng qua rồi tự hết. Đôi khi sốt kéo dài, thiếu máu, da xanh, niêm mạc nhợt (gặp ở các trường hợp nhiễm kéo dài, đặc biệt ở trẻ em).

Các triệu chứng tiêu hoá thường gặp nhất gồm đau vùng hạ sườn phải lan về phía sau hoặc vùng thượng vị. Tính chất đau không đặc hiệu, có thể đau âm ỉ, đôi khi dữ dội, cũng có trường hợp không đau bụng. Bệnh nhân có cảm giác đầy bụng khó tiêu, rối loạn tiêu hoá, buồn nôn. Một số bệnh nhân có biểu hiện lâm sàng của một số biến chứng: tắc mật, viêm đường mật, viêm tụy cấp, xuất huyết tiêu hoá... Các triệu chứng khác (hiếm gặp) gồm có phản ứng viêm như đau nhiều khớp, đau cơ, đỏ da; ho, khó thở hoặc có ban dị ứng mẩn ngứa ngoài da (biểu hiện nhiễm ký sinh trùng); tràn dịch màng phổi.

Do vậy, khi có các triệu chứng trên, người bệnh nên đi khám và điều trị kịp thời tránh các trường hợp đáng tiếc xảy ra.

Đừng bỏ lỡ

Video đang xem nhiều

Đọc thêm