Không dám cười to vì sợ... thủng màng não

(PLO) - Một người phụ nữ đã phải tránh cười lớn một cách rất khổ sở do cô mắc một chứng bệnh kỳ lạ: Cứ cười lớn là não bị rò rỉ dịch.

Đó là cô Angela Chapman, 39 tuổi, bị chứng tụt huyết áp tự phát spontaneous intracranial hypotension, tỉ lệ mắc phải bệnh này là 1/50.000 người. Bệnh này xảy ra khi não bị tuột xệ xuống trong hộp sọ do bị áp lực lớn, dung dịch não sau đó sẽ bị rò rỉ qua một lỗ trong màng bao nước phủ quanh não.

Mỗi khi lên cơn đau không chịu đựng nổi, cô phải nằm nghỉ đến 6 tiếng mỗi ngày, không thể làm được việc gì. Cô cũng phải cố gắng hết sức để không cười lớn, tránh bệnh nặng hơn. Điều tệ hại là bệnh này còn gây ra mất trí nhớ sớm.

Angela bắt đầu mắc bệnh vài tuần sau khi sinh con vào năm 2015. Lúc ấy, khi ru con, cô cảm thấy cơn đau dội trong đầu và cổ mà như cô miêu tả là “đau như bị đâm vào não”. Cô đã cố gắng quên đi cơn đau, nhưng sau đó cổ cô nhức khủng khiếp, tay chân tê mỏi.

Bệnh này xảy ra khi não bị tuột xệ xuống trong hộp sọ do bị áp lực lớn.

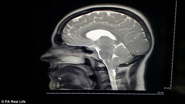
Khi đi khám, cô được bác sĩ kê thuốc giảm đau và thuốc viêm khớp, nhưng cơn đau không những không giảm mà còn tăng lên. Sau một tháng, cô tiếp tục vào bệnh viện và được quét MRI, lúc này các sĩ phát hiện bất thường trên não cô và kết luận cô bị bệnh hiếm Spontaneous Intracranial Hypotension.

Nguyên nhân thường gặp nhất dẫn tới căn bệnh này là áp suất trong khoang não hạ thấp, màng dịch sẽ bị thủng hoặc rách một lỗ gây rò rỉ. Sau khi phẫu thuật đóng các lỗ rò trên màng dịch não vào tháng 12-2015, cơn đau của cô giảm xuống đôi chút. Nhưng sau 1 tai nạn xe hơi vào tháng 6-2016, các triệu chứng trước kia trở lại.

Hiện để kiểm soát phần nào được bệnh tật, Angela vừa phải kiêng cười lớn, vừa phải đặt thiết bị đo áp lực trong hộp sọ. 

Đừng bỏ lỡ

Video đang xem nhiều

Đọc thêm