Mổ ung thư, thấy đồ chơi lỡ nuốt ... 40 năm trước

(PLO) - Một người đàn ông sống ở Anh đã tình cờ tìm lại được món đồ chơi mà mình lỡ nuốt lúc 7 tuổi, sau khi các bác sĩ tưởng nhầm đó là một khối u, Daily Mail đưa tin.

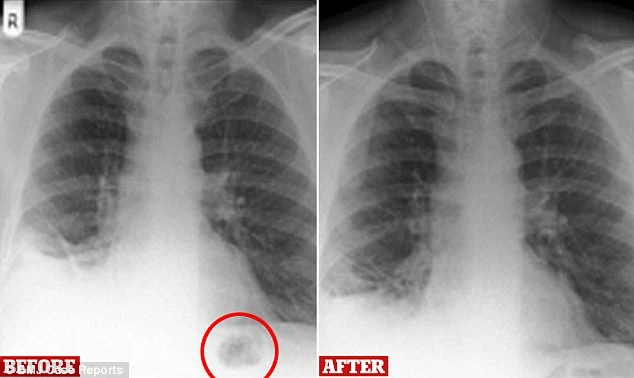
Người đàn ông giấu tên, 47 tuổi, hiện đang làm công việc tạp vụ cho biết, trong một năm gần đây ông thường xuyên bị ho, và cảm thấy không được khỏe. Phim chụp X-quang cho thấy ông này có một khối u nhỏ trong phổi, cùng với việc ông đã hút thuốc khá nhiều trong suốt 30 năm, các bác sĩ chẩn đoán ông ta có thể bị ung thư. 

Một mẩu đồ chơi đã bị người đàn ông nuốt phải từ khi ông còn rất nhỏ. Ảnh: BMJ

Sau khi kiểm tra đường thở, các bác sĩ nhanh chóng phát hiện ra một món đồ chơi chình chóp bị kẹt trong phổi người đàn ông này. Theo như ông ta nhớ được, nó là một món quà sinh nhật, mà ông được tặng vào dịp sinh nhật 7 tuổi. 

Phim chụp X-quang cho thấy có một khối u gần cạnh phổi bệnh nhân. Ảnh: BMJ

Các bác sĩ cho biết, đây là một hiện tượng kì lạ và khá đặc biệt trong y học. Xuyên suốt 40 năm qua, dị vật mà bệnh nhân này nuốt phải dường như không gây ra bất cứ triệu chứng khác thường nào cho cơ thể ông ta.

Các bác sĩ lý giải, có thể khi người đàn ông nuốt dị vật khi còn rất nhỏ nên cơ thể anh ta đã tự thích nghi và xem dị vật này như một phần của cơ thể người đàn ông.

Sau khi lấy dị vật ra khỏi cơ thể, người đàn ông đã giảm ho và đang dần trở lại bình thường.

Đừng bỏ lỡ

Video đang xem nhiều

Đọc thêm