Nối các mảnh xương gãy cho cụ bà 101 tuổi

(PLO)- BV Chấn thương-Chỉnh hình TP.HCM vừa nối lại thành công các mảnh xương gãy cho cụ bà 101 tuổi bị té ngã.

“Bệnh viện (BV) Chấn thương-Chỉnh hình TP.HCM vừa phẫu thuật nối xương gãy kín nhiều mảnh ở đùi trái cho cụ bà NTH (101 tuổi, tỉnh Đồng Nai)”. Sáng 20-12, bác sĩ (BS) Võ Hòa Khánh, Trưởng phòng Quản lý chất lượng BV Chấn thương-Chỉnh hình TP.HCM, cho biết thông tin trên.

Trước đó, cụ H. được người nhà đưa tới BV nói trên trong tình trạng gãy chân trái do trượt .

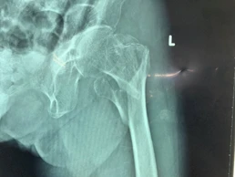
Kết quả chụp X-quang cho thấy xương đùi trái bà H. bị gãy nhiều mảnh. Ảnh: HÒA KHÁNH

Sau khi chụp X-quang, các BS kết luận đùi trái bà H. bị gãy nhiều mảnh xương kín. Các BS đã tiến hành phẫu thuật nối các mảnh xương gãy với nhau. Hiện cụ H. có thể sử dụng khung hỗ trợ để đi lại.

BS Khánh cho biết đây là trường hợp gãy xương phức tạp trên cơ địa bệnh nhân già yếu 101 tuổi có bệnh lý nội khoa (tăng huyết áp). Do vậy rất dễ xảy ra các biến chứng như viêm phổi, thuyên tắc phổi do nằm bất động lâu ngày và dẫn đến tử vong.

“Vì vậy bệnh nhân cần được cố định xương vững chắc và vận động sớm ngay sau phẫu thuật để phục hồi mức vận động nhằm hạn chế các biến chứng có thể xảy ra” - BS Khánh nói.

Đừng bỏ lỡ

Video đang xem nhiều

Đọc thêm