Bệnh viện (BV) Nhân dân 115 (TP.HCM) vừa cứu sống ông LVH (40 tuổi, ở TP.HCM) bị xuất huyết màng não. Thông tin này được ThS-BS Khâu Minh Tuấn, phụ trách khoa Cấp cứu tổng hợp BV Nhân dân 115, cho biết ngày 21-10.
Trước đó, ông H. được đưa vào BV Nhân dân 115 trong tình trạng đau đầu, buồn nôn nhẹ, đau sau gáy. Ông H. cho biết hiện tượng trên xuất hiện sau khi hết giờ làm ca đêm (do yêu cầu công việc nên ông thường xuyên làm ca đêm).

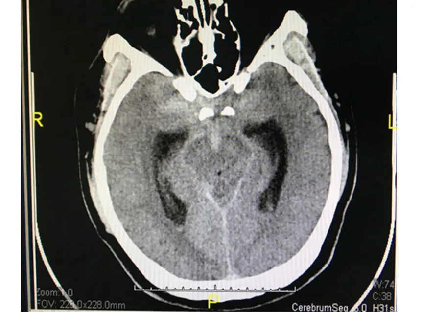
Hình ảnh cho thấy ông H. bị xuất huyết màng não. Ảnh: CTV
Trong trường hợp trên, thông thường các bác sĩ sẽ cho uống thuốc giảm đau vì cho rằng ông H. đau đầu do thức đêm. Tuy nhiên, nhận thấy biểu hiện đau đầu của ông H. hơi khác thường, lại nằm lăn qua lăn lại và luôn bứt rứt nên các bác sĩ quyết định truyền ngay một chai paracetamol đường tĩnh mạch và chụp CT scan sọ não.
Kết quả cho thấy ông H. bị xuất huyết màng não, xuất huyết trong các não thất và bể dịch não-tủy ở nền sọ, viêm đa xoang. Ông H. nhanh chóng được can thiệp giúp ngưng chảy máu vì nghi ngờ vỡ túi phình dị dạng mạch máu não.
Theo ThS-BS Tuấn, trường hợp như ông H. ít gặp nhưng do bác sĩ chẩn đoán đúng nhờ quan sát kỹ dấu hiệu lâm sàng nên bệnh nhân được cấp cứu kịp thời.
Theo một bác sĩ khoa Ngoại thần kinh BV Nhân dân 115, để ngăn ngừa tình trạng xuất huyết màng não thì không nên liên tục làm ca đêm như ông H. mà nên có thời gian nghỉ ngơi, không cố gắng quá sức.