75% người bị bệnh u nhầy nhĩ trái khó thở khi gắng sức

(PLO)- 75% người bị u nhầy nhĩ trái khó thở khi gắng sức. Có trường hợp không có triệu chứng cho đến khi bị đột tử.

Mới đây, các bác sĩ Trung tâm tim mạch BV Đại học Y Dược TP.HCM (BV ĐHYD) đã cắt thành công khối u nhầy lớn với kích thước 6x4x3 cm trong tim người bệnh bằng phương pháp phẫu thuật tim nội soi.

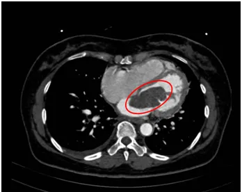
Ảnh chụp MRI phát hiện khối u nhầy trong tim người bệnh H. Ảnh: HL

Bà HTTH (54 tuổi, sống ở quận 6, TP.HCM) đến khám tại bệnh viện trong tình trạng khó thở, cảm thấy hồi hộp. Qua siêu âm, các bác sĩ phát hiện có một khối u lớn trong tim lấp gần hết lỗ van hai lá, gây cản trở dòng máu qua tim đi nuôi cơ thể.

Nếu không được phẫu thuật loại bỏ kịp thời, khối u sẽ cản trở nghiêm trọng dòng máu nuôi cơ thể, hoặc vỡ gây ra đột quỵ, nhồi máu cơ tim, tắc động mạch nuôi ruột, thận và hai chân... Người bệnh đã được phẫu thuật nội soi loại bỏ khối u. Sau mổ năm ngày, người bệnh đã khỏe mạnh và xuất viện, khó thở và hồi hộp biến mất. 

Theo PGS-TS-BS. Nguyễn Hoàng Định, Phó Giám đốc Trung tâm tim mạch, Trưởng khoa Phẫu thuật tim mạch BV ĐHYD, cho biết nhầy nhĩ trái là bệnh lý tim mạch không phải hiếm gặp. Bệnh diễn biến âm thầm, thường được phát hiện khi có biến chứng khối u chèn ép van tim, cản trở dòng máu qua van hai lá. U nhầy nhĩ trái có thể gây đột tử do u lấp kín lỗ van hai lá, làm cho máu không thể lưu thông xuống tâm thất trái và đi nuôi dưỡng cơ thể, đặc biệt là não.

Có đến 90% trường hợp mắc u nhầy nhĩ mà không xác định được nguyên nhân gây bệnh, khoảng 10% người bệnh mắc u nhầy nhĩ được cho là do di truyền. Phụ nữ có nguy cơ mắc bệnh cao gấp hai lần so với đàn ông, độ tuổi trung bình mắc bệnh là 50 tuổi.

Dấu hiệu của u nhầy nhĩ trái đa dạng, xuất hiện từ mơ hồ đến rõ ràng. Có trường hợp không có triệu chứng cho đến biểu hiện đầu tiên là đột tử. Triệu chứng thường gặp nhất là khó thở khi gắng sức (75% trường hợp có triệu chứng này). Tình trạng nặng hơn, người bệnh có thể khó thở phải nằm đầu cao, những cơn khó thở kịch phát về đêm và nặng nhất là phù phổi cấp, một tình trạng cấp cứu đòi hỏi phải điều trị khẩn.

Bên cạnh đó, 20% trường hợp xảy ra ngất, nguyên nhân là u tạm thời làm bít tắc lỗ van hai lá, triệu chứng này không còn khi người bệnh thay đổi tư thế. Ngoài ra còn có những dấu hiệu khác như yếu liệt nửa người hoặc các dấu hiệu thần kinh khác do một phần khối u bung ra và theo dòng máu làm tắc các mạch máu nuôi não.

“Tuy là một bệnh lý nguy hiểm, song u nhầy nhĩ trái có thể được điều trị triệt để với tỉ lệ tái phát u rất thấp. Phẫu thuật nội soi lấy u nhầy là một tiến bộ mới, với hiệu quả ngang với phẫu thuật mở và những lợi ích lớn cho người bệnh như nằm viện ngắn, phục hồi nhanh, ít đau và thẩm mỹ cao” - BS Định cho biết thêm. 

Đừng bỏ lỡ

Video đang xem nhiều

Đọc thêm