Bác sĩ làm rơi răng giả trong bụng cụ ông 72 tuổi suốt 8 ngày

(PLO)- Được biết cụ ông này được phẫu thuật để loại bỏ một khối u lành tính trong thành bụng nhưng đội ngũ bác sĩ lại quên tháo răng giả cho cụ.

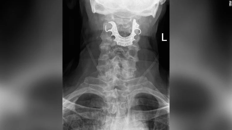
Hàm răng giả của một cụ ông 72 tuổi đã bị rơi tuột xuống cổ họng trong một ca phẫu thuật. Nhưng buồn cười là đến tám ngày sau, các bác sĩ mới phát hiện ra sự cố trên, USA Today đưa tin.

Một ông cụ 72 tuổi đã bị mắc kẹt một hàm răng xuống cổ họng trong một ca phẫu thuật. Ảnh: USA TODAY

Được biết cụ ông này được phẫu thuật để loại bỏ một khối u lành tính trong thành bụng nhưng đội ngũ bác sĩ lại quên tháo răng giả cho cụ trước khi tiến hành phẫu thuật. Sáu ngày sau, người đàn ông quay lại bệnh viện vì có máu trong miệng và gặp khó khăn trong việc thở và nuốt, khiến ông không thể ăn thức ăn cứng.

Cuối cùng, bác sĩ lại phải thực hiện một ca phẫu thuật nữa để lấy hàm răng ra. Trường hợp này đã được tiết lộ trên trang British Medical Journal hôm 12-8. Tác giả Harriet Cunnife của BV James Paget ở miền đông nước Anh, đã kêu gọi các bác sĩ phẫu thuật phải đảm bảo rằng hàm răng giả của bệnh nhân được tháo ra trước các ca phẫu thuật.

Được biết trước đó trong lần đầu tiên bệnh nhân trở lại phòng cấp cứu để kiểm tra, các bác sĩ đã không chẩn đoán được vấn đề và người đàn ông giấu tên đã được gửi về nhà với đơn thuốc súc miệng, kháng sinh và thuốc giảm đau.

Các bác sĩ ban đầu tưởng rằng ông bị viêm phổi và nhiễm trùng ngực. Ảnh: USA TODAY

Tuy nhiên, ông phải quay lại bệnh viện để kiểm tra vì các triệu chứng trở nên xấu hơn. Sau khi chuyển vào bệnh viện các bác sĩ đã nghi ngờ ông bị viêm phổi và nhiễm trùng ngực nghiêm trọng.

Cuối cùng, liệu trình chẩn đoán đã xác định được một vật thể hình bán nguyệt nằm chặn ngang dây thanh quản của ông, gây ra các vết xước và sưng tấy trong vòm họng. Người đàn ông đã được đưa vào phẫu thuật khẩn cấp để gỡ bỏ hàm răng giả. Ông đã phải ở lại bệnh viện trong sáu ngày sau đó.

Trong vòng một tháng tiếp theo, ông đã phải trở lại bệnh viện nhiều lần vì các biến chứng, trước khi bắt đầu hồi phục.

Đừng bỏ lỡ

Video đang xem nhiều

Đọc thêm