Bị 8 cây kim găm vào mông 10 năm mà không hề hay biết

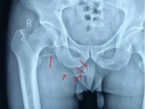
(PLO)- Phim chụp X-quang cho thấy có tám cây kim nhọn đang cắm sâu vào mông của một người đàn ông Trung Quốc. Được biết, nó đã ở đó hơn 10 năm nay mà người này không hề hay biết.

Các bác sĩ ở Hồ Nam Trung Quốc gần đây đã rút ra được tám cây kim bên trong mông của một người đàn ông, giúp người này thoát khỏi chứng đau ê ẩm ở mông kéo dài hơn 10 năm qua mà không rõ nguyên nhân, trang Oddity Centralđưa tin.

Phim chụp X-quang cho thấy nhiều cây kim nằm ở vị trí mông của người đàn ông. Ảnh: ODD

Trong 10 năm qua, ông Chen, 55 tuổi đã nghỉ hưu, sống ở Trường Sa, Trung Quốc. Đã 10 năm nay, ông thường xuyên có cảm giác đau nhói, ngứa ran ở phần mông bên phải nhưng ông không chịu đi khám bác sĩ vì quá bận rộn vì công việc.

Ông cho biết cảm giác đau nhói xuất hiện nhiều khi chạy. Mãi đến đầu tháng 8 năm nay, ông mới chịu đi khám bác sĩ. Sau khi cho ông Chen chụp X-quang, cả bác sĩ lẫn ông Chen đều sốc khi biết nguyên nhân.

Phim chụp X-quang cho thấy có tám cây kim nhọn đang cắm sâu vào mông của ông ta. Ban đầu Chen cũng không nhớ vì sao nó lại ở đó. Tuy nhiên, sau đó ông nhớ lại có một mình từng bị té vào một đống rác chỗ làm việc. Ban đầu Cheng chỉ nghĩ rằng bị một vài cây cắm vào lưng và ông sau đó cũng đã loại bỏ chúng. Rất tiếc là ông đã không lấy nó ra hết.

Một số cây kim đã bị kẹt trong cơ bắp nên khi ông di chuyển, hoạt động mạnh như chạy bộ, hoặc co duỗi nhiều sẽ gây đau đớn. Bác sĩ sau đó chỉ định ông Chen phải phẫu thuật để lấy tất cả số kim kia ra khỏi cơ thể càng sớm càng tốt.

Nhưng cây kim giờ đen hơn, dày hơn. Ảnh: ODD

Sau ca phẫu thuật ngày 15-8, tất cả tám cây kim loại đã được loại bỏ thành công. Do nằm bên trong cơ thể quá lâu, nhưng cây kim đã chuyển màu tối hơn và dày hơn khi lúc chúng chui vào cơ thể ông Chen. Ông Chen cũng đang dần phục hồi và sẽ không còn phải chịu đựng những cơn đau như trước đây nữa.

Câu chuyện kỳ lạ này đã lan truyền trực tuyến trong tuần này, với hầu hết người dùng phương tiện truyền thông xã hội tự hỏi làm thế nào một người nào đó có thể sống với rất nhiều cây kim bên trong cơ thể lâu như vậy.

Đừng bỏ lỡ

Video đang xem nhiều

Đọc thêm