Bơm xe tải, bánh xe nổ ép vỡ gan một thanh niên

(PLO)- “BV Đa khoa Xuyên Á (TP.HCM) vừa cứu sống nạn nhân QT (31 tuổi, huyện Bình Chánh, TP.HCM) bị vỡ gan và chảy máu ổ bụng”.

Tối 11-11, TS-BS Nguyễn Văn Châu, Tổng Giám đốc BV Đa khoa Xuyên Á, cho biết thông tin trên.

Trước đó, ngày 5-11, BV Đa khoa Xuyên Á tiếp nhận anh T. trong tình trạng lơ mơ, xây xát sưng vùng hạ sườn phải, da nhợt nhạt, vã mồ hôi, mạch và huyết áp không đo được.

Người quen cho biết trong lúc bơm bánh xe tải thì bất ngờ bánh xe nổ, luồng hơi đập vào hông phải của T. khiến anh đau vật vã.

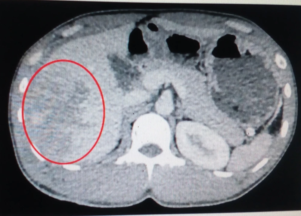
Kết quả chụp CT 160 lát cho thấy gan của anh T. bị vỡ nhiều đường  phức tạp. Ảnh: LÊ PHỤNG

Khi mổ cấp cứu mở ổ bụng, bác sĩ thấy nhiều máu đỏ tươi, gan vỡ nhiều đường phức tạp và chảy nhiều máu. Các bác sĩ khâu cầm máu gan, rửa sạch ổ bụng, đặt dẫn lưu douglas... Hiện sức khỏe anh T. hồi phục rất tốt.

Theo TS-BS Nguyễn Văn Châu, đây là tai nạn hiếm gặp. Các trường hợp vỡ tạng đặc (gan, thận, lá lách) do chấn thương đều rất nguy hiểm. Đặc biệt gan là tạng đặc lớn nhất, rất dễ vỡ khi bị chấn thương bụng. Nếu không cứu chữa kịp thời sẽ dẫn đến tình trạng chảy máu trong ổ bụng nặng và nạn nhân sẽ tử vong do mất máu.

Đừng bỏ lỡ

Video đang xem nhiều

Đọc thêm