Cụ ông 90 tuổi nguy kịch vì nhồi máu cơ tim

(PLO)- Cụ ông 90 tuổi ở TP Thủ Đức, TP.HCM nhập viện với triệu chứng đau ngực kéo dài 5 giờ.

0:00 / 0:00
0:00
  • Nam miền Bắc
  • Nữ miền Bắc
  • Nữ miền Nam
  • Nam miền Nam

Ngày 20-6, Bệnh viện TP Thủ Đức (TP.HCM) thông tin vừa thực hiện thành công ca can thiệp mạch vành cấp cứu cho cụ ông 90 tuổi.

Bệnh nhân là ông TKT (90 tuổi, ngụ tại TP Thủ Đức) và nhập viện với triệu chứng đau ngực kéo dài 5 giờ.

Cụ ông 90 tuổi nguy kịch vì nhồi máu cơ tim
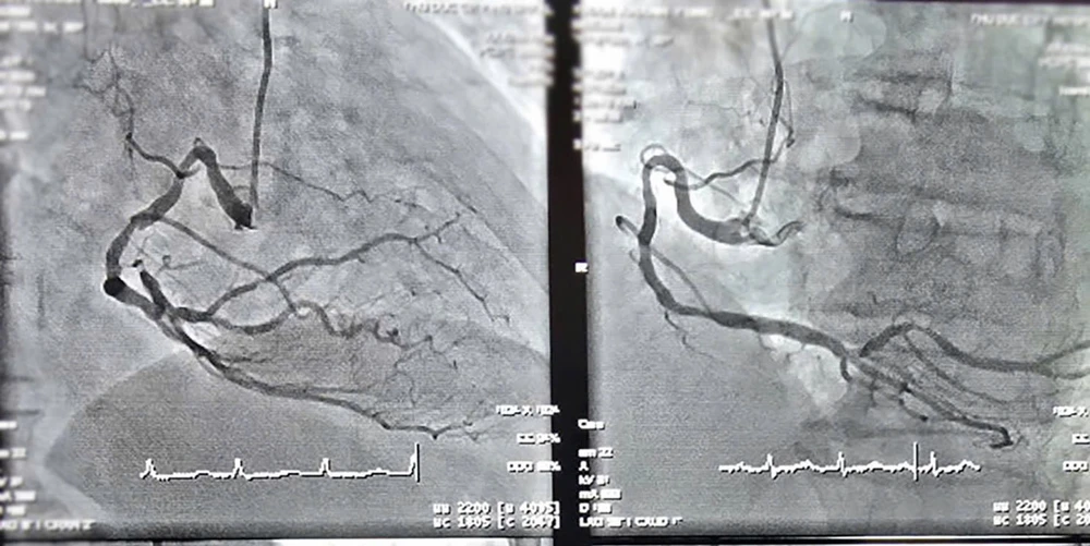
Hình ảnh chụp mạch vành của cụ ông 90 tuổi trước phẫu thuật. Ảnh: BVCC

Qua thăm khám, các bác sĩ xác định bệnh nhân bị nhồi máu cơ tim cấp, bán tắc động mạch liên thất trước (LAD) và hẹp nặng ba nhánh mạch vành.

Tình trạng bệnh phức tạp hơn do người bệnh có nhiều bệnh nền như tăng huyết áp, bệnh thận mạn giai đoạn 3, bệnh phổi tắc nghẽn mạn tính (COPD) và tiền sử hút thuốc lá.

Trước diễn tiến nguy kịch, các bác sĩ đã nhanh chóng tiến hành can thiệp mạch vành, đặt stent tái thông mạch máu thủ phạm mà không gặp biến chứng.

cu-ong-90-tuoi.JPG
Hình ảnh sau phẫu thuật. Ảnh BVCC

Theo Thạc sĩ, Bác sĩ Đào Quang Hoàng,Phó Trưởng khoa Nội Tim mạch Lão học, đây là ca can thiệp khá phức tạp do bệnh nhân cao tuổi, nhiều bệnh lý nền phối hợp.

“Thêm vào đó, tình trạng mạch máu vôi hóa xơ vữa nặng và cơ địa dễ xuất huyết cũng là thách thức lớn trong quá trình can thiệp", bác sĩ Hoàng nói.

Sau 10 ngày điều trị tích cực, sức khỏe người bệnh tiến triển tốt và được xuất viện

Tại thời điểm xuất viện, ông T tỉnh táo, không còn đau ngực hay khó thở, có thể tự sinh hoạt.

Đừng bỏ lỡ

Video đang xem nhiều

Đọc thêm