Cứu kịp thời bệnh nhân bị phình động mạch vị tá tràng hiếm gặp

(PLO)- Phình động mạch vị tá tràng là một trong những dạng hiếm nhất (0.01-0.2% dân số), chỉ chiếm khoảng 1,5% trong các dạng phình mạch máu tạng.

Ngày 13-10, BS.CK2 Phạm Thanh Phong – Phó Giám đốc chuyên môn Bệnh viện Đa khoa Trung ương Cần Thơ cho biết BV vừa can thiệp nội mạch cầm máu thành công cho một bệnh nhân bị xuất huyết nội do vỡ phình động mạch vị tá tràng nguy kịch.

Bệnh nhân là ông NNB (54 tuổi, tạm trú tỉnh Sóc Trăng) được chuyển tuyến trong tình trạng bụng chướng, đề kháng, ấn đau thượng vị, đau quanh rốn, hông phải, ngày càng tăng kèm nôn ói nhiều.

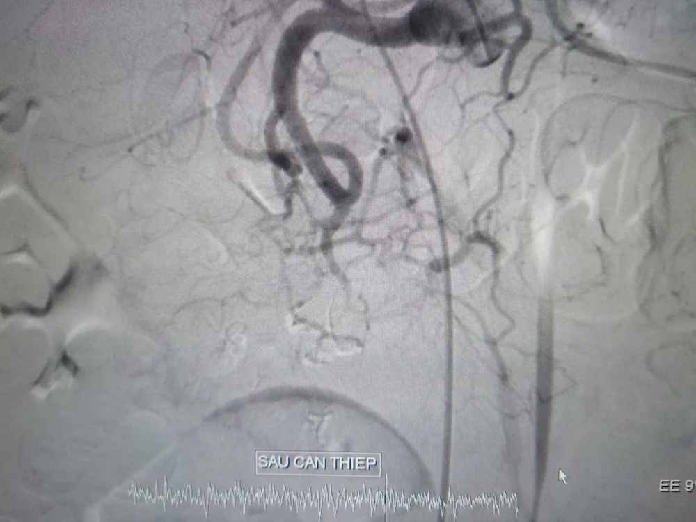
Động mạch vị tá tràng trước và khi can thiệp. Ảnh: BVCC 1 Động mạch vị tá tràng trước và khi can thiệp. Ảnh: BVCC 2
Động mạch vị tá tràng trước và khi can thiệp. Ảnh: BVCC

Tiến hành siêu âm bụng, bác sĩ phát hiện trong ổ bụng có nhiều máu đông, tụ sau phúc mạc.

Kết quả chụp và can thiệp nội mạch xác định bệnh nhân bị xuất huyết nội do vỡ phình động mạch vị tá tràng, nhiều ổ thoát mạch từ nhánh của động mạch vị tá tràng cấp máu vùng tá tràng đoạn DIII, tắc hoàn toàn nhánh thoát mạch.

Ê kíp y bác sĩ đã tiến hành can thiệp tắc mạch bằng hỗn hợp keo trong 40 phút. Hiện bệnh nhân tỉnh, sinh tồn ổn, niêm hồng, bụng mềm, không sốt, tình trạng chung ổn, đang được theo dõi và điều trị tiếp tại Khoa Ngoại lồng ngực - mạch máu.

Sau 3 ngày can thiệp sức khỏe bệnh nhân đã ổn định. Ảnh: BVCC

Theo BS.CK2 Trầm Công Chất, Trưởng Khoa Ngoại lồng ngực - mạch máu, phình mạch máu tạng là một dạng bệnh lý khá hiếm gặp (0.01-0.2% dân số). Túi phình thường nằm ở các động mạch thân tạng, động mạch gan, động mạch lách. Phình động mạch vị tá tràng là một trong những dạng hiếm nhất, chỉ chiếm khoảng 1,5% trong các dạng phình mạch máu tạng.

Cơ chế sinh ra các túi phình chưa thực sự được hiểu rõ, nhưng đa số các trường hợp khởi phát sau viêm tụy cấp, chấn thương, sau phẫu thuật, tăng huyết áp. Túi phình thường không có triệu chứng và được phát hiện một cách tình cờ trên các khảo sát hình ảnh học hoặc khi có biến chứng và các biến chứng rất đa dạng, nghiêm trọng.

Đừng bỏ lỡ

Video đang xem nhiều

Đọc thêm