Ngày 12-12, tin từ Bệnh viện (BV) Đa khoa Bình Thuận cho biết, 15 giờ sau ca mổ, bệnh nhân Nguyễn Văn Phúc (32 tuổi, làm thợ hồ), ngụ phường Phú Tài, TP Phan Thiết đã tỉnh táo, sinh hiệu ổn định.
Trước đó, vào lúc 16 giờ ngày 11-12, bệnh nhân được bạn bè, người thân đưa vào BV cấp cứu với vết thương ngực trái 3 cm, mạch nhẹ khó bắt, huyết áp tụt và được hồi sức tích cực tại khoa Cấp cứu.
![]() |
Bệnh viện đã kích hoạt báo động đỏ cứu sống bệnh nhân đang nguy kịch. Ảnh: BVCC |
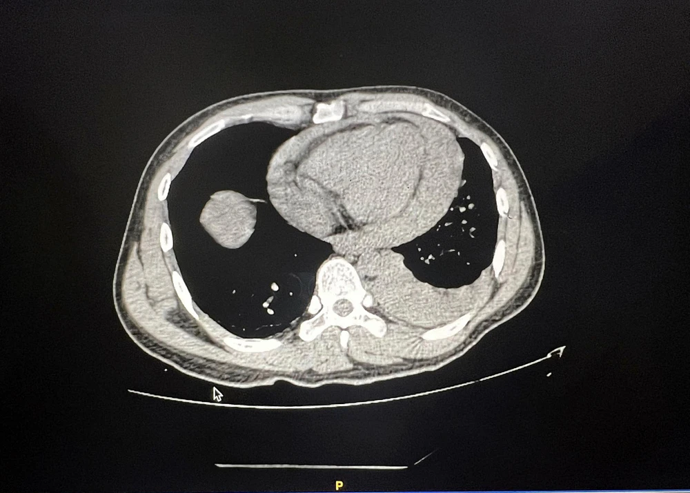
Chụp CT ngực, các bác sĩ (BS) phát hiện bệnh nhân bị tràn máu màng tim, màng phổi trái nên nghĩ ngay đến vết thương thấu tim.
Lập tức, BV kích hoạt cấp cứu báo động đỏ toàn viện, mời trực lãnh đạo; gây mê hồi sức, êkíp trực ngoại hội chẩn và quyết định mổ cấp cứu khẩn cấp mới có thể giúp bệnh nhân thoát khỏi tình trạng nguy kịch.
17 giờ cùng ngày, bệnh nhân được đưa vào phòng mổ. Tình trạng bệnh nhân khi lên bàn mổ vô cùng nguy kịch khi bị choáng do vết thương thấu ngực trái, thủng tâm thất phải đến 1,5 cm, thủng thuỳ giữa phổi phải gây tràn máu màng tim, màng phổi trái… Bệnh nhân được truyền 4 đơn vị máu trong quá trình phẫu thuật.
Trước đó, vào chiều 11-12, bệnh nhân được nghỉ nên đi đang nhậu với bạn thì có mâu thuẫn với một người thợ hồ khác ngồi ở bàn bên, sau đó người này dùng kéo đâm nạn nhân gục tại chỗ.
Vụ việc đang được Công an tỉnh Bình Thuận truy xét, điều tra.
