Đi cắt lúa thuê, bé trai nhà nghèo bị thanh sắt đâm thấu ngực

(PLO)- Khi đang làm việc, bé trai 13 tuổi bị trượt té khiến thanh sắt máy cắt lúa đâm thấu ngực nguy kịch. 

Ngày 23-2, bé NVU (13 tuổi, ngụ Giồng Riềng, Kiên Giang) nhập BV Cần Thơ và được chuyển khẩn cấp lên BV Nhi đồng Thành phố (TP.HCM) trong tình trạng nguy kịch.

Hoàn cảnh bé U. rất đáng thương khi bị mẹ bỏ rơi, cha mắc bệnh tâm thần và chỉ làm được việc lặt vặt. Bé U. sống với ông bà nội tuổi đã cao, hết khả năng lao động. Do vậy, bé phải nghỉ học đi làm thuê phụ gia đình.

Sáng cùng ngày nhập viện, trong khi đang làm việc thì bé trượt té, bị cây sắt của máy cắt lúa đâm thấu từ bụng tới ngực.

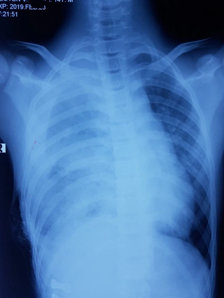
Phim chụp X-quang của bé U. Ảnh: BVCC

Ngay sau đó, bé được đưa ra khỏi vật nhọn, cấp cứu băng ép tại BV Cần Thơ rồi chuyển khẩn cấp lên BV Nhi Đồng Thành phố.

Tại đây, bé được ghi nhận bị cọc sắt có chiều dài ước tính 10-20cm xuyên từ bụng tới ngực phải, mất nhiều máu dọa sốc, đa chấn thương nặng, huyết áp tụt, tràn máu màng phổi nhiều làm xẹp hết một bên phổi gây suy hô hấp nặng nề.  

Tình hình của bé U. hiện đã ổn định. Ảnh: BVCC

Bé U. đã được Ban lãnh đạo BV và kíp trực tổ chức hội chẩn liên khoa, khẩn trương cấp cứu, đồng thời cho làm các xét nghiệm. Kết quả siêu âm, X-quang cho thấy bệnh nhi bị đa vết thương, rách cơ hoành, vỡ gan, tràn máu phổi phải lượng nhiều. Êkip gồm hơn 10 y bác sĩ đã khẩn trương vừa hồi sức tích cực vừa tiến hành phẫu thuật cho bệnh nhi. Ca phẫu thuật kéo dài 5 giờ 30 phút đã giành lại sự sống cho bé U.

Hiện bé U. đã tỉnh táo, cai được máy thở, thuốc vận mạch liều thấp, rút được ống dẫn lưu máu màng phổi, dưới gan. Sức khoẻ dần hồi phục và đang được tiếp tục chăm sóc, theo dõi tại BV.

Đừng bỏ lỡ

Video đang xem nhiều

Đọc thêm