Gãy vụn xương hốc mắt vì hỉ mũi quá mạnh

(PLO)- Một phụ nữ 36 tuổi đã bị gãy vụn xương hốc mắt khi cố gắng hỉ mũi thật mạnh.

Theo các bác sĩ, thương tích này tương đương với một cú đấm mạnh và cũng là dạng thương tích rất hiếm.

Sau sự cố, người phụ nữ đã phải đi cấp cứu và tạm thời mất thị giác.

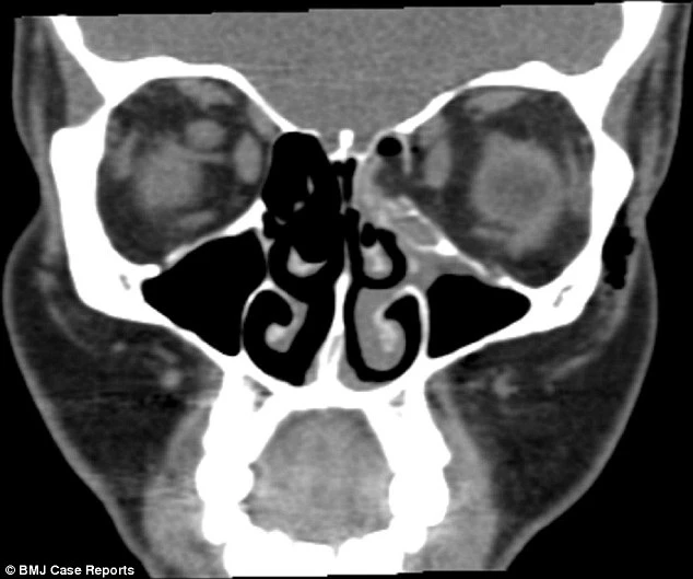
Phim chụp CT cho thấy bệnh nhân đã bị gãy một xương trong hốc mắt vì áp lực trong xoang quá cao khi hỉ mũi. Vết vỡ làm mỡ tràn vào đường hô hấp, khí bị kẹt trong mô quanh mắt.

Bệnh nhân được cho dùng thuốc kháng sinh trị viêm xoang, Co-amoxiclav và được xuất viện với lời khuyên không nên hỉ mũi, hút thuốc hay chơi thể thao đối kháng.

Vỡ xương hốc mắt thường xảy ra khi có va đập với mặt. Trường hợp thương tích do hỉ mũi khá hiếm. Người phụ nữ này cũng hút hơn 20 điếu thuốc mỗi ngày, có thể điều này đã gây thay đổi về áp lực trong xoang.

Theo các chuyên gia, mọi người đều có khả năng tự gây tổn thương khi hỉ mũi. Nhịp độ hơi lặp lại liên tục và quá mạnh trong mũi gây nhiều nguy cơ, ngay cả khi đó chỉ là phản ứng tự nhiên khi bị cản đường hô hấp.

Dù thương tích dạng này là khá hiếm, vẫn đã có trường hợp người làm gãy xương hốc mắt, bị đau đầu trầm trọng và đẩy khí vào trong mô giữa hai buồng phổi.

Người thường xuyên hỉ mũi có thể bị viêm xoang hay dị ứng nên được chữa trị triệt để. Khi sổ mũi, mọi người nên dùng xịt thông mũi, thuốc xịt mũi muối và dùng kỹ thuật gọi là nasal aspiration, nhỏ nước muối ngược vào trong mũi để đẩy dịch nhờn ra ngoài.

Tái tạo lại mũi, má cho bệnh nhân mắc bệnh ung thư
Tái tạo lại mũi, má cho bệnh nhân mắc bệnh ung thư
(PLO)- Ngày 17-5, thông tin từ BV K (Hà Nội) cho biết nơi đây vừa cắt bỏ khối u kích thước rất lớn chiếm toàn bộ mũi và má cho nam bệnh nhân LXQ, 61 tuổi, quê Yên Bái và tái tạo lại thành công mũi, má cho bệnh nhân này.

Đừng bỏ lỡ

Video đang xem nhiều

Đọc thêm