Hóc xương cá dứa, người phụ nữ nguy hiểm tính mạng

(PLO)- Sau khi hóc xương cá dứa, người phụ nữ bị áp xe cổ lan xuống trung thất, rất nguy hiểm.

Ngày 28-1, thông tin từ Bệnh viện (BV) Đa khoa Trung ương Cần Thơ cho biết BV vừa phẫu thuật cứu sống bệnh nhân bị áp xe cổ lan xuống trung thất nghiêm trọng do hóc xương cá.

Bệnh nhân là bà TTH (64 tuổi, ngụ tỉnh Tiền Giang) được chuyển cấp cứu từ BV địa phương trong tình trạng đau nhiều vùng cổ.

Bệnh nhân bị hóc xương cá dứa sau đó hình thành ổ áp xe nguy hiểm. Ảnh: BVCC

Trước đó ba ngày, bệnh nhân ăn cá dứa không may nuốt phải xương rồi bị vướng xương ở vùng họng. Mặc dù đã áp dụng mẹo dân gian là nuốt cục cơm để xương theo xuống nhiều lần nhưng không thành, cổ họng ngày càng sưng to.

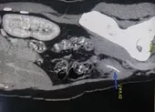
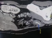
Qua hình ảnh chụp cắt lớp (cản quang) vi tính cột sống cổ, các bác sĩ hội chẩn và chẩn đoán bệnh nhân bị áp xe cổ lan trung thất, đái tháo đường type 2, có dị vật. Bệnh nhân được chỉ định phẫu thuật cấp cứu.

Xương cá dứa lấy ra từ cổ họng bệnh nhân. Ảnh: BVCC

Ê kíp phẫu thuật đã bóc tách vào ổ áp xe dọc động mạch cảnh – thực quản và khí quản hút ra 500 ml mủ đục, mùi hôi, bơm rửa dịch mủ vùng cổ và trung thất trên. Ở vùng áp xe cổ trái lấy bác sĩ lấy ra dị vật là xương cá.

Hiện sức khỏe bệnh nhân đã phục hồi tốt, hết sốt, tỉnh táo, sinh tồn ổn định, tiếp tục được theo dõi, điều trị.

Theo BS.CK2 Trầm Công Chất, trung thất chứa các tạng rất quan trọng như các mạch máu lớn, tim, phổi… Áp xe trung thất rất nguy hiểm, nếu không xử lý đúng cách và kịp thời thì khối mủ lan rộng vỡ vào khoang lồng ngực, gây tổn thương mạch máu, vỡ vào màng tim có thể dẫn đến tử vong (tỉ lệ là 20%).

Cũng theo bác sĩ Chất, Trưởng khoa Lồng ngực - mạch máu, việc dùng tay để móc họng, nuốt cục cơm nóng, uống nước để trị mắc xương theo mẹo dân gian rất nguy hiểm. Những cách này dễ khiến xương trôi sâu hơn hoặc làm tổn thương, có thể gây thủng thực quản.

Trường hợp bị hóc xương cá cần cố gắng nôn oẹ càng sớm càng tốt, nhưng không móc họng vì sẽ gây nôn nhiều, có thể gây phù nề hoặc khiến khó thở. Tốt nhất là nên đến bác sĩ kiểm tra để xử lý kịp thời.

Đừng bỏ lỡ

Video đang xem nhiều

Đọc thêm