Người phụ nữ bị xương cá dài 3 cm đâm thủng ruột

(PLO)- Xương cá dài 3 cm đâm xuyên thành quai ruột non vùng hố chậu trái khiến người phụ nữ đau ầm ỉ vùng hạ vị suốt 10 ngày.

Ngày 28-9, Bệnh viện Đa khoa Trung ương Cần Thơ cho biết nơi đây vừa phẫu thuật thành công cứu bệnh nhân bị xương cá đâm thủng ruột.

Bệnh nhân là bà NTH (45 tuổi, ngụ tỉnh Kiên Giang) nhập viện trong tình trạng đau hạ vị ngày càng tăng trong khoảng 10 ngày.

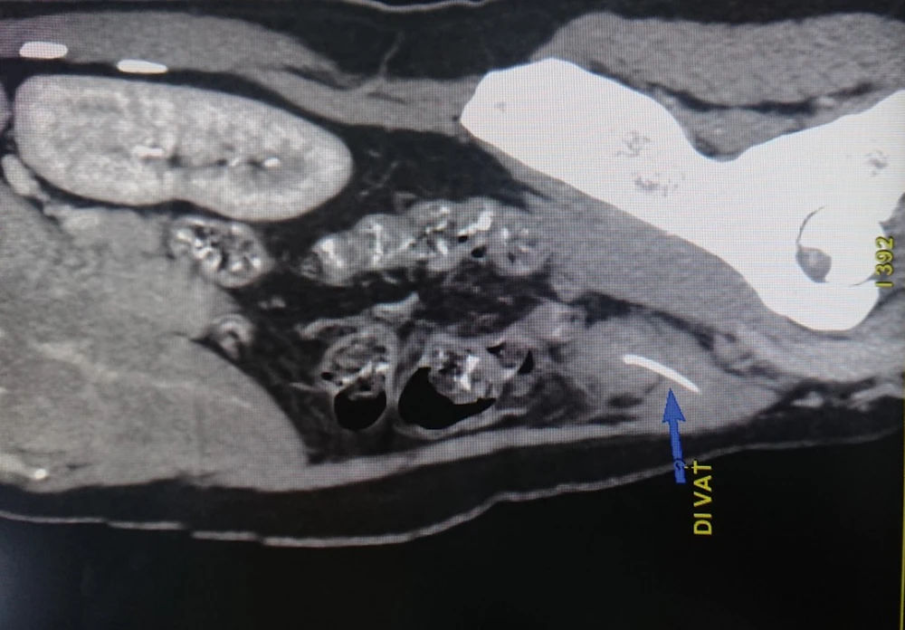
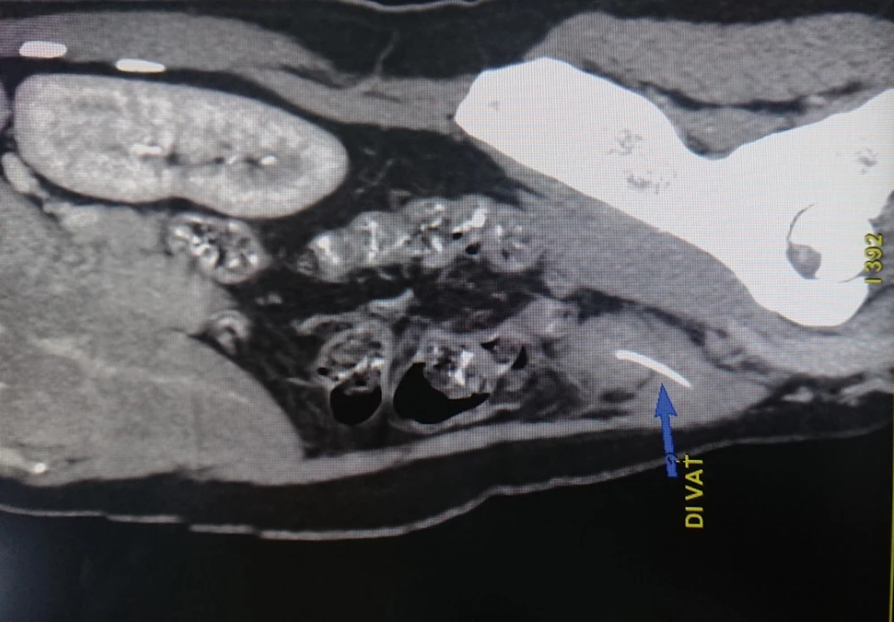
Hình ảnh xương cá dài 3 cm đâm xuyên ruột bệnh nhân. Ảnh: HD

Kết quả chụp CT bụng có cản quang cho thấy có dị vật dạng xương cá đâm xuyên thành quai ruột non vùng hố chậu trái. Các bác sĩ đã phẫu thuật nội soi cấp cứu cho bệnh nhân, bóc tách khối viêm ở thành bụng thì thấy hố chậu trái có khối viêm kích thước 3x4 cm được mạc nối lớn bám.

Khi phẫu tích khối viêm ở thành bụng, cắt mạc nối lớn, các bác sĩ lấy ra dị vật là xương cá dài 3 cm.

Hiện bệnh nhân tỉnh, tiếp xúc tốt, không sốt, bụng mềm, xuất viện trong ngày hôm nay. Ảnh: HD

Theo Bệnh viện đa khoa Trung ương Cần Thơ, từ đầu năm 2020 đến nay bệnh viện đã phẫu thuật 15 trường hợp bị xương cá đâm thủng ruột. Trong số các nguyên nhân gây thủng ruột non thì xương cá chiếm đến 46%.

Các bác sĩ khuyến cáo nếu chẳng may nuốt phải xương cá, nên sớm đến bệnh viện để được can thiệp kịp thời. Không nên sử dụng các phương pháp truyền miệng như nuốt miếng cơm lớn, uống nước nhiều, vuốt xuôi cổ họng, móc xương ra bằng tay...

Đừng bỏ lỡ

Video đang xem nhiều

Đọc thêm