Kính sát tròng rơi ngược vào mắt 28 năm sau va chạm

(PLO)- Sau khi bị trái cầu lông bay vào mặt năm 14 tuổi, người phụ nữ nghĩ rằng kính sát tròng đã rơi ra. Tuy nhiên nó lại nằm trong mắt cô đến 28 năm sau.

Một vận động viên cầu lông người Scotland bị quả cầu bắn vào mặt năm 14 tuổi. Khi ấy, do không thấy kính sát tròng bên trái còn trong mắt, cô nghĩ nó đã rơi ra ngoài. Tuy nhiên, kính sát tròng này đã rơi ngược vào trong mí mắt cô sau tai nạn.

Đến khi cô 42 tuổi, cô mới đến khám bác sĩ vì vết sưng trên mí mắt trên. Vết sưng này khiến mắt cô sụp xuống suốt nửa năm. Các chuyên gia về mắt đã thực hiện hàng loạt xét nghiệm với vết sưng trên mắt cô mà ban đầu họ cho rằng chỉ là một u nang chứa dịch.

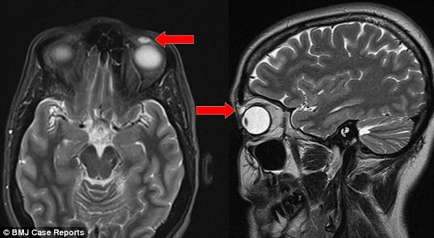
Bản chụp MRI cho thấy trên mí mắt bệnh nhân có một nốt nhỏ, kích thước 8mm x 4mm x 6mm, ban đầu bác sĩ cho rằng chỉ là mụn bọc. Tuy nhiên, khi lấy dị vật ra, các bác sĩ phẫu thuật vô cùng kinh ngạc khi phát hiện ra khối u này thực sự là một cái kính sát tròng đã rạn vỡ.

Trong lịch sử y khoa thế giới từng có 4 trường hợp kính sát tròng di chuyển do va chạm với vùng mắt. Nhưng đây là trường hợp mà kính sát tròng nằm trong mắt lâu nhất từng thấy, trong khi hầu như không hề có triệu chứng nào biểu hiện ra ngoài.

Sau khi nghe câu chuyện bệnh nhân kể lại, các bác sĩ đã đoán được nguyên do tại sao cái kính lại nằm trong mắt cô. Vùng mí mắt sưng của cô đã được trị khỏi nhưng vẫn còn di chứng khiến cô bị sụp một bên mi mắt.

Đừng bỏ lỡ

Video đang xem nhiều

Đọc thêm