Chiều 20-5, Bệnh viện (BV) Nhân dân 115 TP.HCM cho biết nơi đây vừa ghi nhận 2 trường hợp chấn thương cột sống thắt lưng do rơi thang máy tầng cao.
Trường hợp 1 là anh NVH (29 tuổi), thợ sửa thang máy. Trong lúc anh H. đang sửa cáp thang máy thì 1 đồng nghiệp bước vào làm thang quá tải rơi xuống từ độ cao lầu 7.
Anh H. được đưa tới BV trong tình trạng tỉnh, tiếp xúc được, tim đều, phổi trong, bụng mềm. Tuy nhiên, anh bị liệt hoàn toàn 2 chân và bí tiểu.
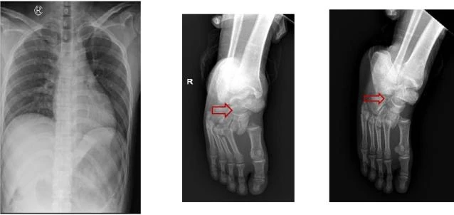
![]() |
Chụp X quang cho thấy nhiều xương ngực và chân phải anh H. bị gãy. Ảnh: BVCC |
Trường hợp 2 là anh TMK (27 tuổi), cũng là thợ sửa thang máy và làm chung với anh H. Trong lúc anh H. đang sửa cáp thang máy thì anh K. bước vào làm thang quá tải và rơi xuống từ độ cao lầu 7.
Anh K. được đưa vào BV trong tình trạng tỉnh, tiếp xúc được, tim đều, phổi trong, bụng mềm. Tuy nhiên, anh K. bí tiểu và đau cột sống thắt lưng, liệt hoàn toàn 2 chân.
Anh H. và anh K. được các BS chẩn đoán chấn thương cột sống thắt lưng và tiến hành phẫu thuật cấp cứu làm cứng cột sống, nắn chỉnh cột sống ngực - thắt lưng, cố định các cột sống… Nhưng cả anh H. và anh K. rất khó trở về cuộc sống bình thường bởi mất khả năng đi lại.
BS Chu Tấn Sĩ, Trưởng khoa Ngoại thần kinh BV Nhân dân 115, cho biết chấn thương cột sống thường gặp trong sinh hoạt, tai nạn lao động. Trong đó, tai nạn lao động chiếm 20% và thường do té từ trên cao.
“Chấn thương cột sống để lại di chứng yếu liệt rất nặng nề và dễ gây ra tàn phế. Chưa hết, người bị tai nạn còn phải tốn kém chi phí điều trị, chế độ chăm sóc kéo và có thể mất khả năng sinh hoạt, lao động” – BS Tấn Sĩ cho biết thêm.
Đối với các đơn vị sử dụng người lao động, cần ban hành và triển khai những khuyến cáo, quy định, quy trình chặt chẽ và tập huấn kỹ cho người lao động về đảm bảo an toàn lao động, phòng ngừa những sự cố tai nạn lao động. Bên cạnh đó, cần có những chính sách về bảo hiểm tai nạn lao động, hỗ trợ chi phí người lao động không may bị tai nạn trong quá trình lao động.
“Đối với người lao động, tuân thủ các hướng dẫn về an toàn lao động. Đặc biệt chú ý khi lao động trong điều kiện nhiều nguy cơ như leo trèo sửa chữa trên cao, sửa tháng máy, các thao tác kỹ thuật phức tạp không đảm bảo thăng bằng hoặc không có phương tiện bảo hộ chắc chắn. Người lao động nên tìm hiểu đầy đủ các chính sách chế độ bảo hiểm tai nạn lao động nghề nghiệp của công ty chủ quản để đảm bảo quyền lợi hợp pháp của bản thân” – BS Tấn Sĩ nói.
