Mảnh đạn 40 năm nằm trong ổ bụng tạo ổ áp xe khổng lồ

(PLO)- Bệnh nhân đã đi khám nhiều nơi và được cho biết việc lấy viên đạn là không khả thi do viên đạn đã đi sâu vào trong cơ của vùng hông chậu, gây ra ổ áp xe khổng lồ chứa hơn 500ml mủ đặc.

Ngày 26-3, thông tin từ Bệnh viện Đại học Y dược (ĐHYD) TP.HCM cho biết nơi đây vừa mổ gắp viên đạn nằm trong cơ thể một bệnh nhân 40 năm gây ổ áp xe khổng lồ.

Bệnh nhân là ông VĐK (69 tuổi). Trước đó ông K. nhập viện trong tình trạng vùng hông bị sưng tấy, đau dữ dội kèm sốt cao.

Khai thác bệnh sử, các bác sĩ (BS) được biết ông K. từng nhập ngũ và trúng đạn vào vùng hông phải trong lúc chiến đấu. Vị trí viên đạn nằm sâu trong vùng lưng hông. Lúc đó, trong điều kiện khó khăn, các BS quân y chỉ lấy được một mảnh đầu của viên đạn ra khỏi người ông, phần còn lại của viên đạn vẫn còn kẹt trong cơ thắt lưng không thể gắp ra được.

Sau đó, ông thỉnh thoảng cảm thấy các cơn đau thoáng qua. Ông cũng đi khám nhiều nơi và được cho biết việc lấy viên đạn là không khả thi do viên đạn đã đi sâu vào trong cơ của vùng hông chậu. Vì vậy, ông quyết định “sống chung” cùng viên đạn.

Mảnh đạn lạc được lấy ra khỏi người ông K. Ảnh: BVCC

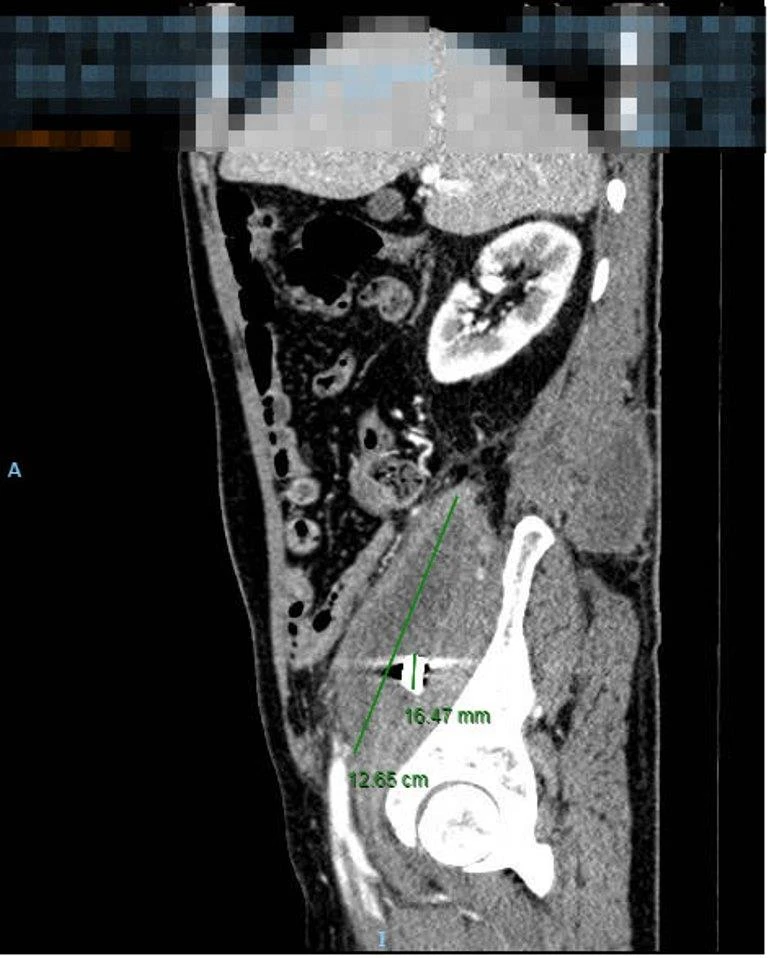
Qua thăm khám toàn diện, chụp cắt lớp điện toán vùng bụng tại BV ĐH Y dược TP.HCM, các BS phát hiện bệnh nhân có một ổ áp xe to tại vùng cơ thắt lưng chậu phải, ổ áp xe đã lan ra sau lưng. Ghi nhận hình ảnh nghi ngờ của mảnh kim loại, tương ứng với mảnh đạn từng kẹt lại trong người ông K.

Kết quả xét nghiệm máu cho thấy tình trạng bạch cầu máu của ông K. tăng cao, dấu hiệu nhiễm trùng nặng. Với chẩn đoán áp xe lớn cơ thắt lưng chậu bên phải nghi do mảnh đạn, các BS khoa Ngoại tiêu hóa của BV đã chỉ định mổ cấp cứu cho ông K.

Êkip phẫu thuật cho ông K. Ảnh: BSCC

ThS-BS Lê Châu Hoàng Quốc Chương, người phẫu thuật trực tiếp cho ông K, chia sẻ: Đánh giá trước mổ, khả năng lấy viên đạn rất khó khăn vì viên đạn sau 40 năm đã “chui” vào rất sâu trong cơ thắt lưng chậu bên phải. Tuy nhiên, nếu chỉ xử lý ổ áp xe mà không lấy mảnh đạn thì chắc chắn ổ nhiễm trùng sẽ tái phát.

Cân nhắc giữa nhiều phương án và mong muốn được “giải thoát” khỏi mảnh đạn của người bệnh, các BS đã quyết định phẫu thuật lấy mảnh đạn ra khỏi ổ bụng của người bệnh với kích thước 1x1cm, nhiều cạnh sắc.

Ổ áp xe khổng lồ ở thắt lưng người đàn ông. Ảnh: BVCC

Sau phẫu thuật, ông K. được điều trị chăm sóc hậu phẫu tại khoa Ngoại Tiêu hóa. Chỉ sau 2 ngày tình trạng nhiễm trùng của ông đã thuyên giảm rõ rệt. Ông K. hết sốt, hết đau hông lưng, ổ áp xe nhỏ dần và biến mất. Ông được xuất viện sau 1 tuần điều trị.

TS-BS Ung Văn Việt – Khoa Ngoại Tiêu hóa BV ĐHYD, người thăm khám trực tiếp và chỉ định mổ cho ông K, khuyến cáo: "Các trường hợp có dị vật trong cơ thể nên phẫu thuật lấy ra sớm, nhằm tránh biến chứng như trường hợp của ông K. Nếu nghi ngờ có di vật trong người, cần đến cơ sở y tế khám bệnh để được xác định chẩn đoán kịp thời. Dị vật khi vào trong mô mềm không ở yên mà có thể di chuyển (do vận động, do co cơ…) nên lần phát hiện đầu tiên sẽ có cơ hội lấy ra thành công cao nhất. Dị vật khi ở trong cơ thể, có thể “im lặng” trong thời gian dài, nhưng sẽ bộc phát nhiễm trùng bất kì lúc nào".

Hóc xương cá lóc 5 ngày, cổ họng bé gái đầy ổ áp xe
Hóc xương cá lóc 5 ngày, cổ họng bé gái đầy ổ áp xe
(PLO)- Bé được phẫu thuật ngày thứ 5 nên cổ họng đã hình thành nhiều ổ áp xe chiếm 2/3 thể tích của vùng cổ.

Đừng bỏ lỡ

Video đang xem nhiều

Đọc thêm