Nhờ AI, bác sĩ phát hiện bệnh nhân mắc ung thư phổi giai đoạn rất sớm

(PLO)- Một bệnh nhân đi khám vì đau thắt lưng, nhưng lần chụp CT ngực tình cờ và phân tích AI đã giúp phát hiện ung thư phổi ở giai đoạn sớm.

0:00 / 0:00
0:00
  • Nam miền Bắc
  • Nữ miền Bắc
  • Nữ miền Nam
  • Nam miền Nam

Ngày 17-11, Bệnh viện Bạch Mai cho biết vừa điều trị cho nam bệnh nhân 69 tuổi nhập viện vì đau thắt lưng phải. Bệnh nhân được chẩn đoán sỏi thận và đã được tán sỏi qua da tại khoa Phẫu thuật Tiết niệu.

Trong quá trình chụp CT kiểm tra, bác sĩ tình cờ phát hiện một tổn thương dạng kính mờ thùy trên phổi trái, nghi ngờ ác tính nên chuyển bệnh nhân sang Trung tâm Y học hạt nhân và Ung bướu để đánh giá tiếp.

Thời điểm nhập viện, bệnh nhân tỉnh táo, tiếp xúc tốt, thể trạng trung bình, không phát hiện bất thường đáng kể trên lâm sàng.

Người bệnh có tiền sử tăng huyết áp đang điều trị, tai biến mạch máu não năm 2022 không để lại di chứng và hút thuốc lá 20 bao/năm.

Các xét nghiệm máu, sinh hóa, đông máu đều trong giới hạn bình thường; marker Cyfra 21-1 tăng nhẹ. Kết quả chụp CT ngực cho thấy tổn thương kính mờ bờ tua gai thùy trên phổi trái, CT bụng ghi nhận giãn đài bể thận và sỏi niệu quản.

ung thư phổi.png
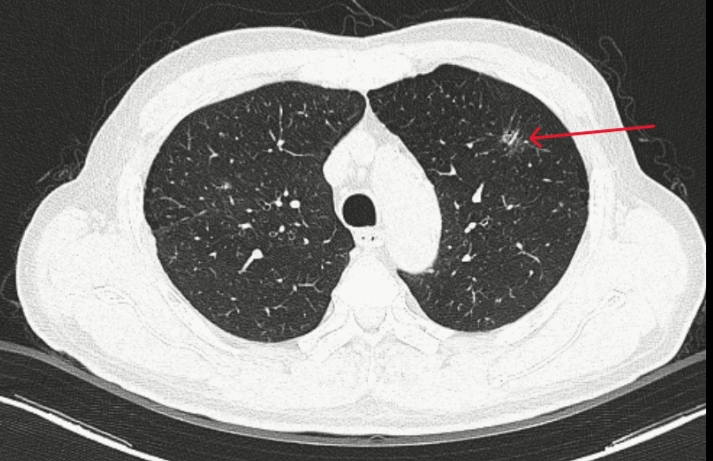
Thùy trên phổi trái của bệnh nhân có đám tổn thương kính mờ, bờ tua gai kích thước 10x13 mm. Ảnh: BVCC

Tổn thương phổi của bệnh nhân được hệ thống AI phân tích và cho kết quả xác suất ác tính lên tới 97%.

Hội đồng chuyên môn của bệnh viện quyết định chỉ định phẫu thuật. Bệnh nhân được thực hiện phẫu thuật nội soi cắt thùy trên phổi trái và nạo vét hạch.

Giải phẫu bệnh sau phẫu thuật xác định ung thư biểu mô tuyến thùy trên phổi trái giai đoạn pT1aN0M0, kèm theo tổn thương lao phổi. Các hạch nhóm 5, 6 và 10 đều là hạch viêm. Kết quả xét nghiệm gene không phát hiện đột biến EGFR hoặc ALK.

Bệnh nhân được xác định là mắc ung thư phổi giai đoạn IA (giai đoạn rất sớm) kèm lao phổi, tăng huyết áp và tiền sử tai biến mạch máu não. Phác đồ điều trị tiếp theo là theo dõi định kỳ và điều trị lao.

Theo đại diện Bệnh viện Bạch Mai, dữ liệu tổng hợp cho thấy hệ thống AI hỗ trợ chẩn đoán ung thư phổi đạt độ nhạy và độ đặc hiệu đều ở mức 0,87; tỉ lệ bỏ sót 13% và tỉ lệ chẩn đoán sai 12%.

"AI cho thấy tiềm năng lớn trong việc hỗ trợ phân tích nốt phổi khó, giúp bác sĩ rút ngắn thời gian đánh giá và tăng độ chính xác", đại diện bệnh viện thông tin.

Theo các chuyên gia, với ung thư phổi không tế bào nhỏ giai đoạn IA, phẫu thuật vẫn là phương pháp điều trị chuẩn. Sau mổ, bệnh nhân cần được theo dõi định kỳ 6 tháng/lần trong hai năm đầu bằng khám lâm sàng, xét nghiệm và chụp CT có tiêm thuốc cản quang.

Tỉ lệ sống thêm 5 năm có thể đạt 70% nếu phát hiện ở giai đoạn sớm, trong khi ở giai đoạn IV tỉ lệ này giảm còn dưới 5%, cho thấy ý nghĩa quyết định của việc sàng lọc và chẩn đoán kịp thời.

Theo GLOBOCAN 2022, ung thư phổi đứng đầu thế giới về số ca mắc mới và tử vong, trong khi tại Việt Nam bệnh xếp thứ ba về tỉ lệ mắc và thứ hai về tỉ lệ tử vong.

Một trong những thách thức lớn nhất là 85% bệnh nhân được phát hiện ở giai đoạn muộn. Sự phát triển của kỹ thuật CT ngực liều thấp kết hợp trí tuệ nhân tạo đang mở ra cơ hội phát hiện sớm hơn các nốt phổi nghi ngờ ác tính.

Đừng bỏ lỡ

Video đang xem nhiều

Đọc thêm