Phát hiện sán dây mắc kẹt...trong não suốt 4 năm

(PLO) - Một cựu giáo viên người Anh mới đây được phát hiện có một con sán dây mắc kẹt trong não suốt bốn năm.
Peter Donnelly, người vừa trải qua một cuộc phẫu thuật lấy sán ra khỏi não, đã trở thành khách mời trong một chương trình phỏng vấn của Telegraph.
Ông Donnelly nói: “Mười bảy năm về trước, đầu tôi bắt đầu khó chịu hơn bình thường, và tôi cảm thấy dị ứng với tất cả các loại cửa sổ, gương hay kính”.

"Tôi cảm thấy ngột ngạt khi ngồi trong xe hơi, hoa mắt thường xuyên còn tinh thần thì sa sút nghiêm trọng. Tôi nghĩ rằng tôi sắp bị điên”, ông chia sẻ.

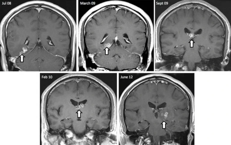
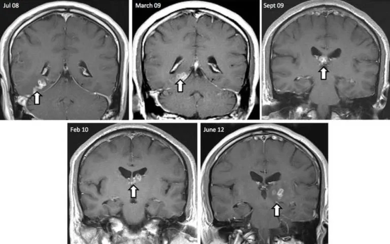
 Con sán đã xuất hiện trong hình chụp não bộ của ông Donnelly từ khá lâu.

Donnelly cho biết các bác sĩ đã chẩn đoán ông đang mắc chứng tiền đột quỵ, và ông vẫn tin vào điều đó, cho tới khi phải nhập viện vì một cơn động kinh bất thường.

Một loạt các xét nghiệm đều hướng tới giả thiết rằng ông đang bị khối u não, tuy nhiên một bác sĩ đã tình cờ phát hiện ra một con sán dây bị chết đang mắc kẹt trong não ông.

 Sán dây xâm nhập vào não là một căn bệnh phổ biến ở các nước đang phát triển.

Donnelly khẳng định: “Điều này thật khó xảy ra, dù là với ai đi chăng nữa. Tôi vẫn nghĩ đây chỉ là mơ, bởi vì tôi chưa bao giờ đặt chân đến các nước nhiệt đới”.
Sán dây xâm nhập vào não là một căn bệnh phổ biến ở các nước đang phát triển, và có thể giải quyết bằng cách sử dụng kháng sinh trong khoảng 10 ngày. Tuy nhiên, mới đây các bác sĩ đã lấy ra khỏi đầu một người đàn ông 50 tuổi một con sán dài 1cm, cùng lượng trứng sắp nở đang chuẩn bị “tấn công” não bộ của ông.

Đừng bỏ lỡ

Video đang xem nhiều

Đọc thêm