Ngày 6-7, Bệnh viện Gia Đình (Đà Nẵng) cho biết vừa phẫu thuật bỏ hai ngón tay và hai ngón chân thừa cả hai bên cho bé gái TL (6 tuổi, quê Quảng Nam).
Đây là trường hợp xuất hiện đồng thời của dị tật thừa ngón cả tứ chi cùng lúc cực kỳ hiếm gặp, chỉ một số ít trường hợp được báo cáo trên toàn thế giới.
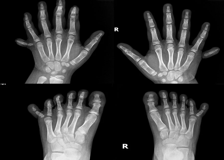
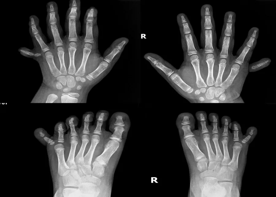
![]() |
Phim X-Quang về trường hợp 12 ngón tay, 12 ngón chân hiếm gặp. Ảnh: BVCC |
Sau ba năm cân nhắc, bé TL (6 tuổi) được phụ huynh đưa đến BV Gia Đình để phẫu thuật, Ca phẫu thuật kéo dài trong 3 giờ đồng hồ với hai kíp bác sĩ tiến hành song song để rút ngắn tối đa thời gian thực hiện.
Trước đó, chị HM (mẹ bé gái) đến BV Gia Đình cho con thăm khám và bày tỏ mong muốn thực hiện phẫu thuật để loại bỏ những ngón tay, chân thừa cho bé.
![]() |
Các chi của bé gái trước và sau phẫu thuật. Ảnh: BVCC |
Mỗi bàn tay, bàn chân của bé có đến 6 ngón, tổng cộng bé có 12 ngón tay, 12 ngón chân. Mặc dù các ngón tay chân vẫn phát triển và có xương bình thường nhưng việc dư thừa các ngón khiến cho sinh hoạt của bé bị cản trở, đặc biệt là khi lựa chọn giày, vận động, chạy nhảy.
Hai ngày sau phẫu thuật, hai tay bé đã có thể thực hiện các nhiệm vụ đơn giản như nắm đồ vật, không còn bị khó chịu và đau đớn...

