Quên ống thông 9 năm trong cơ thể, sỏi bám to bằng quả trứng

(PLO)- Các bác sĩ lấy ra viên sỏi bàng quang to bằng quả trứng cho cụ bà 86 tuổi do 9 năm trước cụ đặt ống thông (ống sonde JJ) nhưng quên tái khám rút ống.

Sáng 4-3, tin từ Bệnh viện Đa khoa Trung ương Cần Thơ cho biết vừa phẫu thuật thành công lấy viên sỏi bàng quang to bằng quả trứng trong cơ thể cụ bà HT H (86 tuổi, ngụ Đồng Tháp) do quên ống thông 9 năm trong niệu quản.

Bác sĩ thăm khám sau khi phẫu thuật thành công. Ảnh: Hải Dương

Cụ H. nhập viện vào chiều 24-2 với chẩn đoán ban đầu nhiễm trùng niệu, sỏi bàng quang còn ống thông đã bị đứt.

Theo gia đình cụ, cách nay 9 năm cụ được tán sỏi niệu quản trái nội soi tại một BV ở TPHCM. Sau tán sỏi bác sĩ có đặt ống thông và yêu cầu cụ tái khám để rút ống nhưng cụ quên mất.

Tại Bệnh viện Đa khoa Trung ương Cần Thơ, sau khi chụp cắt lớp vi tính hệ tiết niệu, các bác sĩ xác định trong cơ thể cụ bà còn ống thông bị đứt đoạn ở vị trí  bàng quang tạo thành sỏi to. Phần đầu trên ống có sỏi nhỏ bám.

Các bác sĩ đã phẫu thuật lấy thành công viên sỏi bàng quang lớn bằng quả trứng, kích thước 5 x 4 x 5 cm có đầu ống thông bên trong, đồng thời rút thành công ống thông. 

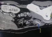
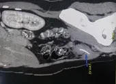
Viên sỏi bàng quang lớn bằng quả trứng và ống thông trên phim chụp X-quang. Ảnh: Hải Dương

Bác sĩ CK2 Nguyễn Phước Lộc, Trưởng khoa Ngoại thận – tiết niệu, Bệnh viện Đa khoa Trung ương Cần Thơ, cho biết ống thông được sử dụng ngày càng rộng rãi, đặc biệt với sự phát triển mạnh mẽ của nội soi tiết niệu. Ống được đặt để dẫn lưu niệu quản trong nhiều trường hợp sau mổ sỏi đường tiết niệu, tán sỏi thận qua da, sau tán sỏi niệu quản qua nội soi....

Thời gian rút ống do bác sĩ chỉ định và thời gian đặt ống lưu trong niệu quản tùy theo loại (3 tháng, 6 tháng hoặc 1 năm). Có trường hợp đặt ống xong nhưng vì nhiều lý do khác nhau (không tái khám, quên hoặc mất giấy ra viện...) nên ống thông bị “bỏ quên” trong cơ thể nhiều tháng, thậm chí nhiều năm. Từ đó, sự lắng đọng và sau đó là quá trình tạo sỏi có thể gặp phải. Ngoài ra, đứt gãy ống thông còn có thể gây viêm nhiễm đường tiết niệu. 

Đừng bỏ lỡ

Video đang xem nhiều

Đọc thêm