Tưởng chóng mặt do rối loạn tuần hoàn, té ra bị u não hiếm gặp

(PLO)- Nếu không phát hiện và điều trị sớm, khối u sẽ lớn thêm khiến bệnh nhân có thể bị yếu liệt tứ chi do chèn ép não.

Chiều 2-9, TS-BS Trần Chí Cường, Giám đốc Bệnh viện (BV) Đột quỵ-Tim mạch Cần Thơ, cho biết BV vừa điều trị thành công trường hợp chóng mặt kéo dài do u não hiếm gặp.

Trước đó, bà NTTN (57 tuổi, ở Vĩnh Long) được đưa vào BV trong tình trạng chóng mặt dữ dội. Bà N. cho biết đã bị chóng mặt hơn 10 năm, đến các BV khám và được chẩn đoán rối loạn tuần hoàn não.

Suốt thời gian qua, bà N. dùng thuốc đều đặn nhưng không khỏi bệnh. Khoảng tháng nay, triệu chứng chóng mặt xảy ra thường xuyên và nặng hơn nên bà đến khám tại BV Đột quỵ-Tim mạch Cần Thơ.

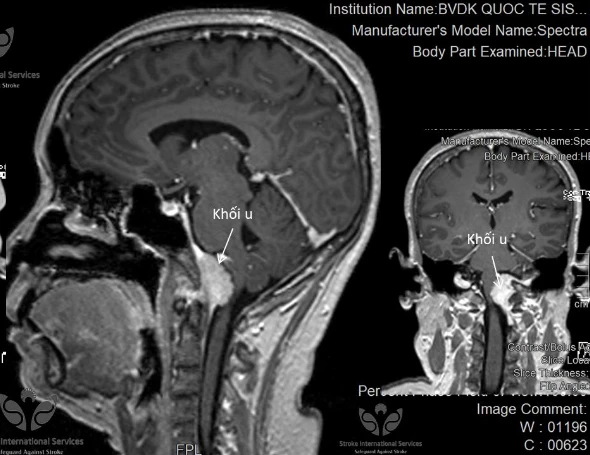
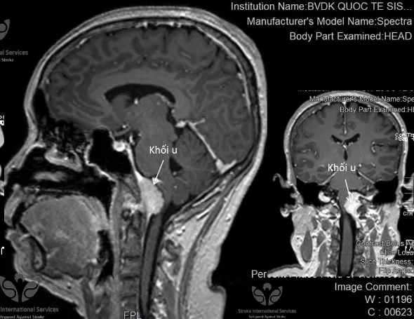
Kết quả chụp MRI 3 Tesla ghi nhận khối u nằm ở vị trí hiếm gặp. Ảnh: BVCC

Tại đây, bà N. được BS chỉ định chụp MRI 3 Tesla để tìm nguyên nhân chóng mặt. Kết quả cho thấy bà N. bị u màng não vùng mặt dốc xương đá-lỗ chẩm rất hiếm gặp. Sau khi tìm được nguyên nhân, các BS tiến hành điều trị bằng phương pháp can thiệp nội mạch. Hiện bà N. đã khỏi cơn chóng mặt triền miên.

Theo BS Cường, do bà N. tới các BV với triệu chứng chóng mặt rất chung chung, không yếu liệt tay chân hoặc có một dấu hiệu thần kinh nào đặc biệt nên chỉ được điều trị triệu chứng. Chỉ sau khi được tầm soát bằng những phương tiện chẩn đoán hình ảnh kỹ thuật cao, các BS mới phát hiện u màng não ở vị trí rất hiếm gặp, rất khó chẩn đoán.

“Nếu không phát hiện sớm, khối u lớn thêm sẽ khiến bà N. có thể bị yếu liệt tứ chi do chèn ép não” – BS Cường nói.

Cũng theo BS Cường, trước đây điều trị u màng não vùng mặt dốc xương đá nói riêng và các u màng não nói chung thường áp dụng phương pháp xạ trị hoặc phẫu thuật, dẫn tới tình trạng tử vong cũng như biến chứng sau phẫu thuật rất cao. Bệnh nhân có thể liệt nửa người hoặc tổn thương các dây thần kinh sọ gây liệt mặt, giảm khả năng linh hoạt của mắt, sụp mí…

“Phương pháp can thiệp nội mạch cho bệnh nhân có u não ở vị trí sâu không thể phẫu thuật hoặc có nhiều mạch máu nuôi chính là can thiệp nội mạch gây tắc mạch nuôi u trước khi phẫu thuật. Điều này giúp quá trình mổ lấy u an toàn hơn, đồng thời gây tắc mạch nuôi để khối u chậm phát triển, thậm chí nhỏ lại. Đây là phương pháp ít xâm lấn, an toàn cao, thậm chí không gây mê trong lúc làm thủ thuật. Bệnh nhân được xuất viện chỉ sau 2-3 ngày và không để lại sẹo trên đầu, không để lại di chứng tổn thương não” – BS Cường nói thêm.

Đừng bỏ lỡ

Video đang xem nhiều

Đọc thêm