Uống dầu hỏa, bé 20 tháng tuổi suy hô hấp

(PLO)- Uống dầu hỏa trên bàn thờ thần tài ở góc nhà, bé trai 20 tháng tuổi bị khó thở, suy hô hấp.

0:00 / 0:00
0:00
  • Nam miền Bắc
  • Nữ miền Bắc
  • Nữ miền Nam
  • Nam miền Nam

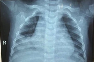
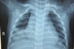
Chiều 17-4, Bệnh viện Nhi Thanh Hóa cho biết vừa tiếp nhận một bệnh nhi 20 tháng tuổi nhập viện trong tình trạng ho nhiều, khó thở, suy hô hấp.

Theo lời kể của gia đình, trẻ sống cùng ông bà. Sáng ngày 15-4, trong lúc tự chơi một mình, trẻ đã tiến gần đến bàn thờ thần tài ở góc nhà.

Thấy có chai nước trên bàn, trẻ đã cầm lên và uống.

Khi nhận thấy cháu ho và khóc lớn, bà chạy lại và phát hiện bé vừa uống dầu hỏa.

Trẻ nhanh chóng được đưa đến trạm y tế gần nhất để sơ cứu, sau đó được chuyển Bệnh viện Nhi Thanh Hóa điều trị.

Theo các bác sĩ, rất may là trường hợp trẻ uống dầu hỏa này được phát hiện sớm và nhập viện kịp thời điều trị. Hiện tình trạng trẻ ổn định, tiếp tục được theo dõi, điều trị theo phác đồ.

uống dầu hỏa.png
Bác sĩ khuyến cáo không nên để dầu hỏa ở nơi trẻ dễ thấy, dễ lấy. Ảnh minh họa

Các bác sĩ khuyến cáo gia đình có con nhỏ không dự trữ xăng, dầu ở nơi dễ thấy, dễ lấy, không để trong các chai nhựa. Những đồ dùng, thiết bị điện cũng cần được chú ý để bảo đảm an toàn cho trẻ, tránh những tình huống đáng tiếc có thể xảy ra.

Khi phát hiện trẻ có bất kỳ dấu hiệu bất thường nào, hoặc phát hiện trẻ vừa ăn, uống dầu hỏa, xăng... phụ huynh cần đưa trẻ đến ngay cơ sở y tế gần nhất để được điều trị kịp thời.

Đừng bỏ lỡ

Video đang xem nhiều

Đọc thêm