Viện Gút TP.HCM điều trị khỏi bệnh gút theo tiêu chuẩn nào?

(PLO)- Viện Gút áp dụng biện pháp điều trị hạ nồng độ acid uric máu giúp bệnh nhân dễ dàng điều trị hòa tan hết tinh thể urat lắng đọng mà không bị cơn viêm khớp gút cấp kéo dài triền miên.

0:00 / 0:00
0:00
  • Nam miền Bắc
  • Nữ miền Bắc
  • Nữ miền Nam
  • Nam miền Nam

Cuối tháng 7 vừa qua, Viện Gút TP.HCM tổng kết 7 năm hợp tác nghiên cứu giữa Viện Gút với Trường ĐH Y dược TP.HCM và Trường ĐH Paris Cité (Pháp). Tại đây, Viện Gút đã trao giấy chứng nhận khỏi bệnh gút cho bệnh nhân. Nhiều người quan tâm tìm hiểu Viện Gút TP.HCM chữa khỏi bệnh gút theo tiêu chuẩn nào?

Tổng kết 7 năm hợp tác giữa Viện Gút TP.HCM - ĐH Y Dược TP.HCM - ĐH Paris Cité (Pháp).png
Tổng kết 7 năm hợp tác giữa Viện Gút TP.HCM - ĐH Y Dược TP.HCM - ĐH Paris Cité (Pháp).

Biện pháp điều trị hạ nồng độ acid uric máu

Bác sĩ Trần Văn Chức, Giám đốc Phòng khám đa khoa Viện Gút, chia sẻ: Từ tháng 7-2015, phòng khám này đã phối hợp với Giáo sư Thomas Bardin (viện sĩ Viện Hàn lâm y học Pháp), cùng các cộng sự của ông ở Trường ĐH Paris Cité, nghiên cứu hiệu quả của biện pháp điều trị hạ nồng độ acid uric máu theo hướng dẫn của Liên đoàn chống các bệnh thấp khớp Châu ÂU (EULAR).

Theo ông Chức, hướng dẫn của EULAR năm 2006 về điều trị hạ nồng độ acid uric máu, cũng tương tự hướng dẫn về điều trị bệnh gút của Bộ Y tế Việt Nam năm 2014. Chỉ khác là EULAR năm 2006 có nêu quan điểm về tiêu chuẩn khỏi bệnh gút: “Gút là một bệnh lắng đọng tinh thể thực sự chỉ xảy ra khi có tinh thể urat. Nếu quá trình hình thành tinh thể urat tiếp theo bị dừng lại ở bệnh nhân và các tinh thể hiện có bị hòa tan, thì về cơ bản bệnh nhân đó đã được chữa khỏi”.

Để chứng minh hiệu quả của biện pháp điều trị hạ nồng độ acid uric máu theo hướng dẫn của EULAR, bác sĩ Viện Gút TP.HCM theo dõi kết quả điều trị tan tinh thể urat lắng đọng bằng kỹ thuật siêu âm khớp, và theo dõi chuyển biến của triệu chứng viêm đau khớp gút trên từng bệnh nhân.

Tuy nhiên, khi nồng độ acid uric máu của bệnh nhân gút hạ và duy trì được ở dưới điểm bão hòa, cơn viêm đau khớp gút của nhiều bệnh nhân thường kéo dài triền miên. Nguyên nhân do hệ thống miễn dịch phản ứng với những tinh thể urat lắng đọng trên mặt sụn khớp rơi vào ổ dịch khớp liên tục trong suốt 24 giờ của một ngày, trong suốt 365 ngày của một năm, và có thể kéo dài trong nhiều năm, tùy theo mức độ nặng của từng bệnh nhân cho đến khi những mảng bám tinh thể urat trên mặt các sụn khớp tan hết.

Trong khi các thuốc chống viêm giảm đau hiện có như Colchicine, thuốc nhóm NSAIDs hay nhóm Corticosteroids, chỉ có thể uống trong thời gian ngắn để điều trị các cơn viêm đau khớp gút cấp do nồng độ acid uric máu tăng, kết tủa thành tinh thể urat mới.

Chỉ cần uống các loại thuốc chống viêm giảm đau này trong vài tháng thôi, cũng sẽ gây ra nhiều tác dụng phụ nguy hiểm cho sức khỏe của người bệnh. Đặc biệt là các loại thuốc này lại chống chỉ định trong điều trị cho những bệnh nhân gút có những bệnh lý nền như suy thận, suy tim, tăng huyết áp, tiểu đường típ 2, viêm gan, xơ gan… - ông Chức nói.

Nhiều người được chữa khỏi bệnh gút

Theo ông Chức, may mắn từ năm 2010, Viện Gút đã tìm được giải pháp chống viêm giảm đau an toàn và hiệu quả cho những bệnh nhân gút bị biến chứng rất nặng, không còn đáp ứng với các thuốc chống viêm giảm đau hiện có.

Khi Viện Gút áp dụng biện pháp điều trị hạ nồng độ acid uric máu cho bệnh nhân, bệnh nhân dễ dàng điều trị hòa tan hết tinh thể urat lắng đọng mà không bị cơn viêm khớp gút cấp kéo dài triền miên.

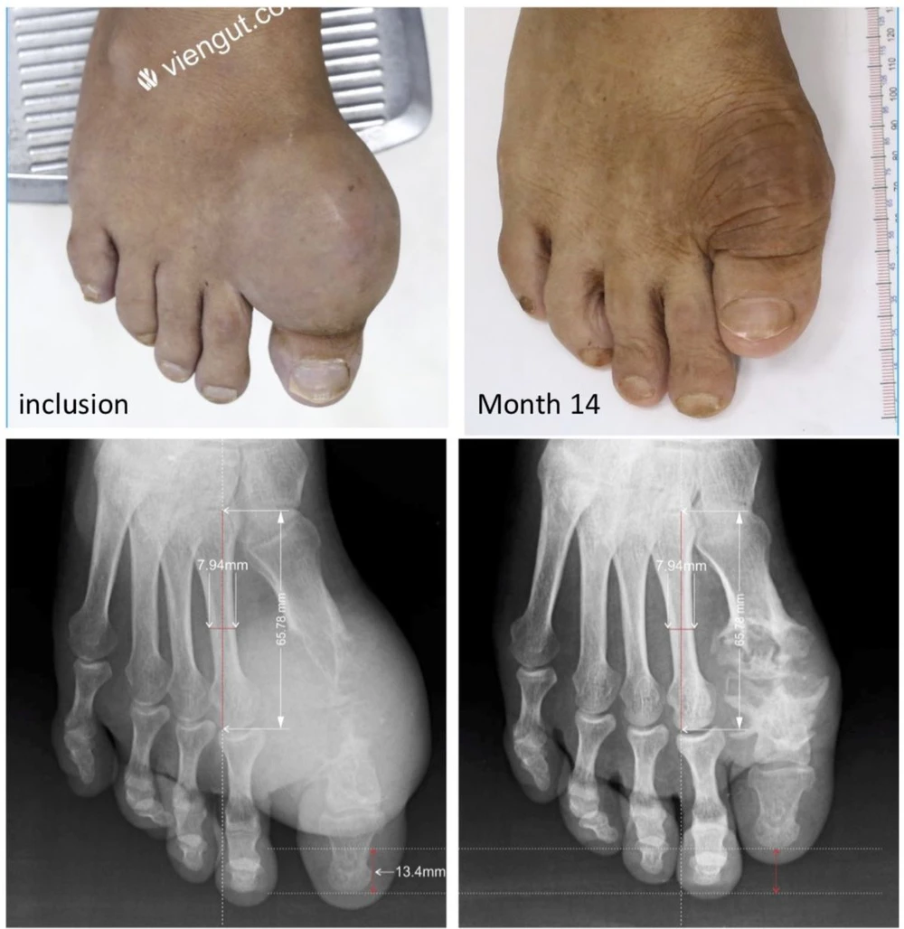
Kết quả điều trị tan hết tinh thể urat, tiêu hết u cục tophi của Viện Gút cho những bệnh nhân gút bị biến chứng nặng đã được công bố tại Hội nghị thường niên Hội thấp khớp học Mỹ (ACR) năm 2020.

Hình ảnh điều trị tan tophi của Viện Gút được công bố tại Hội nghị thường niên Hội Thấp khợp học Mỹ (ACR) 2020.png
Hình ảnh điều trị tan tophi của Viện Gút được công bố tại Hội nghị thường niên Hội Thấp khớp học Mỹ (ACR) 2020.

Từ năm 2017 đến nay, Viện Gút TP.HCM đã giúp cho hàng ngàn bệnh nhân gút từ chưa bị biến chứng đến biến chứng nặng, được điều trị tan tinh thể urat lắng đọng. Nhiều bệnh nhân đã tan hết tinh thể urat lắng đọng, hết tái phát viêm đau khớp gút cấp, hết tiêu chuẩn chẩn đoán bệnh gút, được chữa khỏi bệnh gút theo hướng dẫn của EULAR.

Nhiều bệnh nhân sau điều trị đã đề nghị Viện Gút chứng nhận cho họ đã khỏi bệnh gút. Đây là nguyện vọng chính đáng của bệnh nhân, cũng là trách nhiệm của bác sĩ điều trị. Nên từ tháng 7-2024, tôi đại diện cho Viện Gút, còn giáo sư Thomas Bardin đại diện cho Trường ĐH Paris Cite, ký giấy chứng nhận điều trị khỏi bệnh gút cho những bệnh nhân đã tan hết tinh thể urat lắng đọng, hết tái phát viêm đau khớp gút.

Trong giấy chứng nhận, chúng tôi lưu ý bệnh nhân cần duy trì thuốc hạ nồng độ acid uric máu hằng ngày để không tái mắc lại bệnh gút. Viện Gút còn theo dõi miễn phí cho những bệnh nhân đã khỏi bệnh trong 5 năm, xét nghiệm nồng độ acid uric máu, siêu âm tinh thể urat ở khớp và chụp Xquang khớp đã bị tổn thương. Đây là việc làm đầy trách nhiệm của Viện Gút và các nhà khoa học Pháp với người bệnh - ông Chức nhấn mạnh.

Đừng bỏ lỡ

Video đang xem nhiều

Đọc thêm