AI phát hiện nguy cơ bệnh tim mạch trước khi có triệu chứng lâm sàng

(PLO)- Nhờ khả năng xử lý dữ liệu và học hỏi từ nhiều nguồn thông tin, trí tuệ nhân tạo đang mở ra cơ hội phát hiện nguy cơ bệnh tim mạch từ rất sớm, ngay cả khi chưa có triệu chứng.

0:00 / 0:00
0:00
  • Nam miền Bắc
  • Nữ miền Bắc
  • Nữ miền Nam
  • Nam miền Nam

Một nữ bệnh nhân 52 tuổi, hoàn toàn khỏe mạnh, không có triệu chứng bất thường. Bệnh nhân không hút thuốc, không mắc bệnh tiểu đường, nhưng có tiền sử gia đình là cha cô đột tử ở tuổi 55.

Theo các thang điểm đánh giá truyền thống, nguy cơ mắc bệnh tim mạch trong 10 năm tới của bệnh nhân chỉ ở mức trung bình – thấp (khoảng 5–7%), chưa cần can thiệp mạnh như dùng statin liều cao hay chụp mạch vành.

Vì sao phương pháp truyền thống còn 'bỏ sót'?

Thế nhưng khi hồ sơ sức khỏe này được phân tích bằng trí tuệ nhân tạo (AI), kết quả lại khác: AI phát hiện trên điện tâm đồ của bệnh nhân có dấu hiệu bất thường, gợi ý nguy cơ suy tim tiềm ẩn.

Đồng thời, phân tích gen cho thấy bệnh nhân mang tổ hợp gen nguy cơ cao. Khi tổng hợp tất cả dữ liệu nhỏ lẻ lại, hệ thống AI ước tính nguy cơ thực sự của bệnh nhân trong 10 năm tới ở mức 18-20%, tức cao hơn nhiều so với đánh giá ban đầu.

can thiệp bệnh tim mạch tại BVĐK thủ đức
Đội ngũ bác sĩ BVĐK Thủ Đức đang xử trí cho một du khách nước ngoài bị ngưng tim. (Ảnh minh họa)

Ths-BS Đào Quang Hoàng, khoa Nội tim mạch – Lão học, Bệnh viện Đa khoa (BVĐK) Thủ Đức, cho biết trường hợp trên là minh chứng rõ nét cho giá trị của AI trong đánh giá nguy cơ bệnh tim mạch.

Chia sẻ tại Hội nghị Khoa học kỹ thuật BV Lê Văn Việt lần III - năm 2025, BS Hoàng cho biết bệnh tim mạch hiện là nguyên nhân gây tử vong hàng đầu trên toàn cầu, cướp đi khoảng 17,9 triệu sinh mạng mỗi năm.

Trong đó, hơn 80% các trường hợp tử vong liên quan đến nhồi máu cơ tim và đột quỵ. Đáng lo ngại, cứ 3 ca tử vong thì 1 ca xảy ra trước tuổi 70.

nguy-co-tim-mach.JPG
ThS-BS Đào Quang Hoàng, khoa Nội tim mạch – Lão học, BVĐK Thủ Đức tại Hội nghị Khoa học kỹ thuật Bệnh viện Lê Văn Việt lần III - năm 2025. Ảnh: DI LINH

BS Hoàng phân tích, các yếu tố nguy cơ gây bệnh tim mạch rất đa dạng, từ chế độ ăn uống không lành mạnh, lối sống ít vận động, thói quen hút thuốc, uống rượu bia đến ô nhiễm không khí, tăng huyết áp, rối loạn đường huyết, rối loạn mỡ máu hay thừa cân béo phì.

Theo đó, các biện pháp phòng ngừa bệnh tim mạch đã được chứng minh hiệu quả như bỏ thuốc lá, giảm muối, tăng cường ăn rau quả, duy trì vận động thường xuyên...

Bên cạnh đó, cần có các chính sách y tế hỗ trợ hành vi lành mạnh và cải thiện môi trường sống. Nhiều trường hợp bệnh tim mạch tiến triển âm thầm, không có dấu hiệu cảnh báo. Phát hiện sớm chính là chìa khóa để cứu sống hàng triệu người mỗi năm.

Điều quan trọng, theo BS Hoàng là phải phát hiện sớm nhóm nguy cơ cao và đảm bảo họ được tiếp cận thuốc thiết yếu, công nghệ y tế ngay từ tuyến cơ sở.

Tuy nhiên việc đánh giá nguy cơ bệnh tim mạch giai đoạn sớm không hề đơn giản. Hồ sơ y tế thường chứa khối lượng lớn dữ liệu phức tạp, bao gồm nhiều thông tin như điện tâm đồ, hình ảnh siêu âm tim, MRI hay dữ liệu từ thiết bị đeo – vốn khó khai thác triệt để bằng phương pháp truyền thống.

Các thang điểm đánh giá nguy cơ bệnh tim mạch cổ điển như Framingham hay ASCVD cũng có nhiều giới hạn. Chúng chỉ xét một số biến số cơ bản (tuổi, giới, huyết áp, cholesterol, hút thuốc, tiểu đường) và bỏ sót nhiều yếu tố quan trọng khác như di truyền, tình trạng viêm, chất lượng giấc ngủ, căng thẳng tâm lý, dữ liệu hình ảnh học. Kết quả đánh giá dựa trên dữ liệu quần thể nên độ chính xác giảm ở người trẻ, phụ nữ hoặc các nhóm dân tộc thiểu số.

Ngoài ra, các mô hình này được xây dựng từ hàng thập kỷ trước (Framingham từ thập niên 1960) tại các quốc gia phát triển, hiệu lực có thể suy giảm theo thời gian và chưa phù hợp hoàn toàn với người châu Á hoặc các nước đang phát triển.

"Chính những “khoảng trống” này là nơi AI phát huy ưu thế với khả năng học máy, tích hợp dữ liệu đa chiều và đưa ra dự đoán nguy cơ mang tính cá thể hóa cao, ngay cả khi bệnh chưa có triệu chứng", BS Hoàng nói thêm.

AI thay đổi cách phòng ngừa, chẩn đoán bệnh tim mạch

Theo BS Hoàng, AI đang mở ra một kỷ nguyên mới trong phát hiện, điều trị bệnh tim mạch, giúp phát hiện sớm nguy cơ thông qua phân tích dữ liệu, từ đó dự báo rối loạn tim mạch ngay cả khi chưa có triệu chứng.

Trong chẩn đoán, AI hỗ trợ phân tích hình ảnh học tim mạch, tự động phát hiện mảng xơ vữa, hẹp mạch hay rối loạn vận động vùng, nâng cao độ chính xác. Công nghệ này còn cho phép cá thể hóa dự báo nguy cơ bằng cách tích hợp dữ liệu từ hồ sơ bệnh án điện tử, thông tin gen và các chỉ dấu sinh học, xây dựng mô hình dự báo cho từng người.

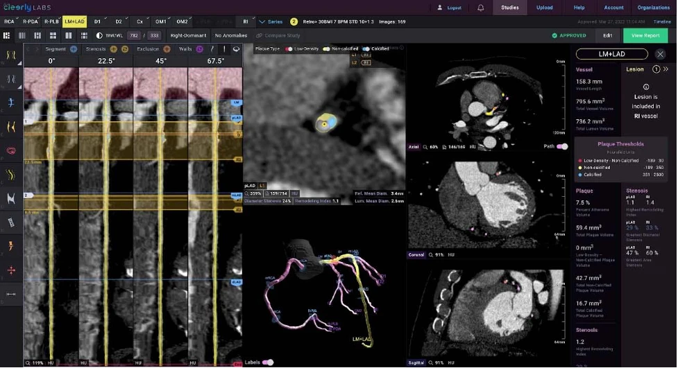
1.png
AI trong CCTA (CT mạch vành), nhân tích mảng xơ vữa, đo mức độ hẹp và hỗ trợ chẩn đoán bệnh mạch vành. Ảnh: BSCC

Kết hợp với thiết bị đeo thông minh, AI có thể theo dõi nhịp tim liên tục, dự báo nguy cơ đột tử hoặc biến cố cấp để can thiệp kịp thời. So với thang điểm truyền thống vốn chỉ dựa trên vài biến số và không cập nhật theo thời gian, AI xử lý hàng trăm yếu tố, liên tục cập nhật từ dữ liệu mới, giúp dự báo chính xác hơn.

“AI không chỉ hỗ trợ BS chẩn đoán mà còn thay đổi cách tiếp cận trong phòng ngừa bệnh tim mạch – từ điều trị biến cố sang chủ động dự báo và ngăn chặn từ sớm”, BS Hoàng nhấn mạnh.

Tuy nhiên, để triển khai công nghệ này không hề đơn giản vì còn nhiều trở ngại lớn. Cụ thể, hiện dữ liệu đầu vào chưa chuẩn hóa, thiếu tính đa dạng và chứa nhiều nhiễu, khiến mô hình AI dễ bị thiên lệch. Việc xác định tiêu chí "nguy cơ bệnh tim mạch" cũng rất phức tạp, ảnh hưởng đến quá trình huấn luyện và đánh giá.

“Hạ tầng kỹ thuật, nhân lực vận hành, khả năng xử lý dữ liệu đa phương thức… tất cả đều cần được đầu tư. Nếu dự báo sai, AI có thể khiến điều trị sai hướng hoặc bỏ sót bệnh nhân.

Và điều quan trọng, AI không thay thế BS, nó chỉ giúp BS đưa ra quyết định nhanh hơn và chính xác hơn”, BS Hoàng nhận định.

BV Lê Văn Việt tổ chức Hội nghị Khoa học kỹ thuật lần III – 2025

Ngày 15-8, BV Lê Văn Việt, TP.HCM, tổ chức Hội thảo Hội nghị Khoa học kỹ thuật BV Lê Văn Việt lần III - năm 2025 với chủ đề "Những tiến bộ trong chẩn đoán, điều trị và chăm sóc người bệnh".

Tại hội thảo, BS CKII Nguyễn Khoa Lý, Giám đốc BV Lê Văn Việt, cho biết hội nghị là một diễn đàn ý nghĩa để các chuyên gia, BS, dược sĩ và điều dưỡng cùng chia sẻ những kiến thức mới nhất, những kinh nghiệm quý báu và cập nhật các tiến bộ khoa học kỹ thuật trong lĩnh vực y học.

"Đây cũng là dịp để chúng ta cùng trau dồi, học hỏi, từ đó nâng cao chất lượng khám chữa bệnh, mang lại những dịch vụ chăm sóc sức khỏe tốt nhất cho người dân", BS Lý nói.

Đừng bỏ lỡ

Video đang xem nhiều

Đọc thêm