Bé gái 6 tuổi bị thân vợt cầu lông xuyên vào đầu

(PLO)- Bệnh viện Nhi đồng 2 (TP.HCM) vừa phẫu thuật khẩn cấp cứu bé BTYN (6 tuổi, ngụ tỉnh Bình Phước) bị thân vợt cầu lông xuyên vào đầu.

0:00 / 0:00
0:00
  • Nam miền Bắc
  • Nữ miền Bắc
  • Nữ miền Nam
  • Nam miền Nam

Tối 31-12, Bệnh viện (BV) Nhi đồng 2 (TP.HCM) thông tin vừa phẫu thuật khẩn cấp cứu bé BTYN (6 tuổi, ngụ tỉnh Bình Phước) bị thân vợt cầu lông xuyên vào đầu.

Theo lời ba của bé N, trước đó bé đứng phía trước nhà xem các anh chị đánh cầu lông. Bất ngờ phần thân vợt cầu lông rời khỏi tay cầm, bay vút lên và rơi xuống đầu bé.

Bé N được mọi người đưa đến BV tuyến dưới sơ cứu và chuyển lên BV Nhi Đồng 2 tiếp tục điều trị.

ThS-BS Nguyễn Ngọc Pi Doanh (Khoa Ngoại thần kinh, BV Nhi Đồng 2) cho hay, bệnh nhi được BV tuyến dưới chuyển đến BV Nhi đồng 2 trong tình trạng hôn mê sâu, có vết thương trước đỉnh đầu đã được khâu.

vợt cầu lông - 1
Bé gái 6 tuổi bị thân vợt cầu lông găm vào đầu. Ảnh: BVCC

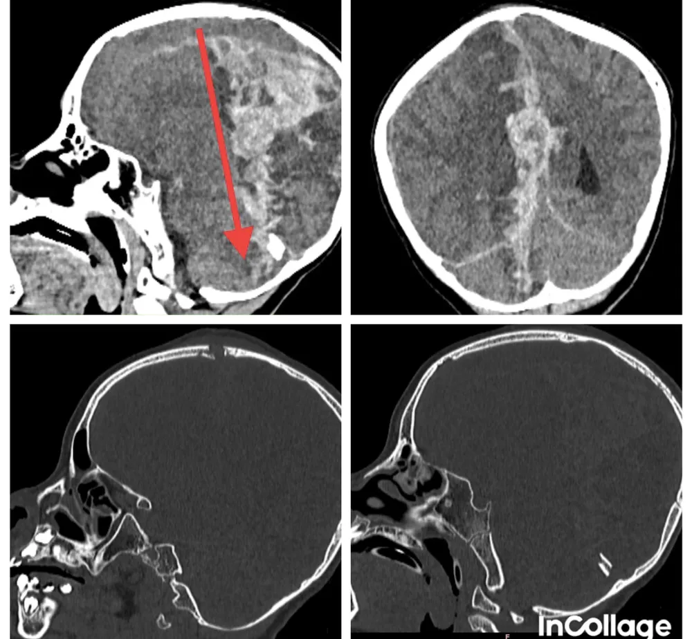
CT-scan ghi nhận tổn thương xuyên thấu qua não từ phía trước đỉnh đầu xuyên ra đến phần tiểu não phía sau, gây xuất huyết dưới màng cứng và trong não lượng nhiều, chèn ép và phù não.

Sau khi tiếp nhận bệnh nhi, đội ngũ y bác sĩ BV Nhi đồng 2 lập tức thực hiện phẫu thuật khẩn cấp để lấy máu tụ và mở sọ giải áp.

Bé được chăm sóc sau mổ tại Khoa Hồi sức tích cực và chống độc.

Sau 10 ngày phẫu thuật cấp cứu và tích cực điều trị, đến hiện tại bệnh nhi đang hồi phục.

Bé đã mở mắt, cử động tay chân tự nhiên và được chuyển về Khoa Ngoại thần kinh theo dõi tiếp.

Theo BS Doanh, mặc dù có dấu hiệu phục hồi tốt nhưng chắc chắn bệnh nhi sẽ có di chứng về thần kinh do não đã tổn thương nặng. Hiện bé chưa nói được và còn yếu nửa người trái.

Đây là tai nạn sinh hoạt hy hữu nhưng vô cùng nguy hiểm.

BV khuyến cáo phụ huynh cần cảnh giác trước các vật dụng có thể khiến trẻ dễ bị thương.

Đối với vợt cầu lông như trường hợp này, người nhà nên kiểm tra lại dụng cụ trước khi sử dụng để phòng tránh sự cố tương tự.

Đừng bỏ lỡ

Video đang xem nhiều

Đọc thêm