Bị đột quỵ nguy kịch vì thói quen giác hơi trị đau lưng

(PLO)- Có thói quen giác hơi tại nhà trị đau lưng, đau vai gáy, người đàn ông 35 tuổi bị tắc động mạch dẫn đến đột quỵ nguy kịch.

0:00 / 0:00
0:00
  • Nam miền Bắc
  • Nữ miền Bắc
  • Nữ miền Nam
  • Nam miền Nam

Ngày 4-6, Bệnh viện Quân y 175 thông tin nơi đây vừa cứu chữa thành công một trường hợp đột quỵ nguy kịch sau khi điều trị giác hơi không an toàn tại nhà.

Đe dọa tính mạng nghiêm trọng

Bệnh nhân là NVS (35 tuổi, ngụ TP.HCM) có tiền sử khỏe mạnh. Bệnh nhân nhập khoa Cấp cứu của bệnh viện trong tình trạng ý thức lơ mơ, mất ngôn ngữ toàn bộ, liệt hoàn toàn nửa người phải. Bệnh viện kích hoạt quy trình báo động đột quỵ, thăm khám lâm sàng và cận lâm sàng.

Bác sĩ chẩn đoán bệnh nhân bị đột quỵ nhồi máu não bán cầu trái giờ thứ 2 do tắc động mạch cảnh trong trái và động mạch não giữa trái bởi huyết khối.

Các bác sĩ nhanh chóng truyền thuốc ly giải huyết khối (tiêu sợi huyết) qua đường tĩnh mạch, chuyển bệnh nhân lên phòng can thiệp mạch khảo sát và xử lý sang thương theo đường động mạch.

Sau gần một giờ đồng hồ, các mạch máu bị tổn thương được khơi thông và sửa chữa, não được tái tưới máu.

dot-quy-nguy-kich.jpg
Bác sĩ Bệnh viện Quân Y 175 phẫu thuật cứu bệnh nhân bị đột quỵ nguy kịch. Ảnh: BVCC

TS-BS Tạ Vương Khoa, khoa Nội thần kinh, cho biết đây là trường hợp đột quỵ nguy kịch và phức tạp, thuộc dạng ca lâm sàng hiếm gặp trên thế giới. Bệnh nhân bị tắc động mạch não giữa ở trong sọ và tắc động mạch cảnh trong đoạn cổ, toàn bộ bán cầu não bên trái bị ngừng cung cấp máu.

Tính mạng bệnh nhân bị đe dọa nghiêm trọng, các bác sĩ phải chạy đua với thời gian cứu chữa người bệnh. May mắn là thủ thuật tiến hành thành công, não bộ kịp thời được tái tưới máu và bảo tồn phần lớn chức năng.

Ngay sau can thiệp, bệnh nhân tiếp tục được săn sóc điều trị nội khoa tích cực tại khoa Nội thần kinh. Sau chưa đầy 48 giờ, bệnh nhân hồi phục hoàn toàn ý thức và sức cơ. Mười ngày sau đó, chức năng ngôn ngữ nhận thức hồi phục hoàn toàn, chỉ còn một vài khiếm khuyết chức năng ngôn ngữ vận động. Bệnh nhân đang trong lộ trình điều trị âm ngữ trị liệu phục hồi chức năng.

Giác hơi là nguyên nhân gián tiếp gây đột quỵ

Theo TS-BS Tạ Vương Khoa, nguyên nhân của bóc tách động mạch cảnh trong có thể do bệnh lý (loạn sản sợi cơ, xơ vữa động mạch, viêm, nhiễm trùng, bệnh mô liên kết di truyền…) hoặc thông thường hơn là do chấn thương (tác động của ngoại lực).

Điều đáng nói trong trường hợp bệnh nhân này là giác hơi liệu pháp, một phương pháp trị liệu có từ lâu đời và được sử dụng rất phổ biến trong dân gian, lại là nguyên nhân trực tiếp gây bóc tách động mạch cảnh trong.

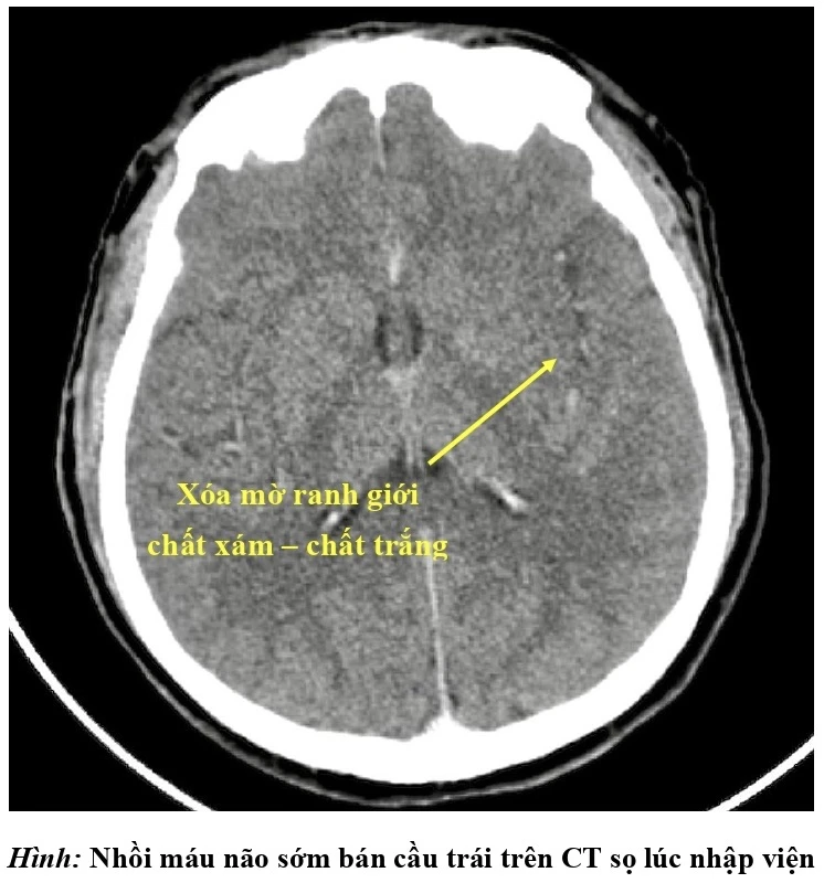
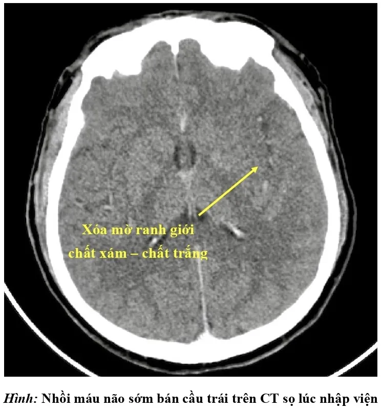
đột quỵ nguy kịch - 1
Kết quả chụp CT lúc nhập viện của bệnh nhân đột quỵ nguy kịch. Ảnh: BVCC

Theo khai thác, bệnh nhân có thói quen nhờ người chị ruột làm giác hơi tại nhà mỗi khi đau lưng, đau vai gáy, lần thực hiện gần nhất là buổi chiều hôm trước ngày bị đột quỵ, dấu tích dụng cụ giác hơi vẫn còn in hằn trên da vùng cổ bên trái của bệnh nhân khi nhập viện.

Theo bác sĩ, hai động mạch cảnh trong (bên phải và bên trái) là các động mạch quan trọng dẫn máu từ tim lên não. Xuất phát từ quai động mạch chủ ở ngang ngực, khi đi qua cổ, động mạch đi khá nông, sờ bằng tay có thể thấy động mạch nảy dưới da.

Vì vậy, sang chấn tác động từ bên ngoài vào vùng cổ, từ các sang chấn có lực tác động mạnh như tai nạn giao thông hay đả thương cho đến các sang chấn tưởng chừng vô hại như động tác mát-xa vùng cổ, đều có thể gây chấn thương cho động mạch cảnh trong, nghiêm trọng nhất là gây bóc tách động mạch dẫn đến đột quỵ mà phần lớn là đột quỵ nhồi máu não.

Bóc tách động mạch cảnh trong tuy là nguyên nhân hiếm gặp của nhồi máu não trong dân số chung (tỉ lệ chỉ khoảng 2,5%) nhưng lại là nguyên nhân hàng đầu (tỉ lệ khoảng 20%) của nhồi máu não ở người trẻ dưới 40 tuổi.

Diễn biến đến đột quỵ ở bệnh nhân sau bóc tách động mạch cảnh trong do chấn thương rất khó đoán định. Diễn biến này có thể xảy ra sớm trong vòng 24 giờ đầu nhưng cũng có thể diễn biến thầm lặng, vài ngày hoặc thậm chí vài tuần sau mới xảy ra mà không có triệu chứng gì cảnh báo trước. Nếu có cũng chỉ là các triệu chứng mơ hồ, gây khó khăn cho việc chẩn đoán sớm để điều trị dự phòng.

Đột quỵ do bóc tách động mạch cảnh trong sau chấn thương thường là dạng đột quỵ nguy kịch, nặng và tỉ lệ tử vong lên đến 40% nếu không được kịp thời điều trị. Trong khi đó, nguyên lý của liệu pháp giác hơi là tạo áp suất âm trong những chiếc cốc chuyên dụng gắn trên da để sinh lực hút. Lực hút có thể rất mạnh tùy theo kỹ năng hoặc mong muốn của người điều trị và người được điều trị. Vì vậy được khuyến cáo tránh đặt trên những vùng cơ thể có da và cơ mỏng, mạch máu đi nông nhằm tránh nguy cơ gây sang chấn mạch máu.

Ở bệnh nhân này, khuyến cáo về an toàn trị liệu nêu trên đã không được tuân thủ, hậu quả nghiêm trọng đối với mạch máu đã xảy ra.

Động tác bẻ cổ khi đi cắt tóc, mát-xa cũng gây đột quỵ

Bệnh viện Quân Y 175 đã từng tiếp nhận những trường hợp đột quỵ nguy kịch do chấn thương gây bóc tách động mạch vùng cổ, cả động mạch cảnh trong lẫn động mạch đốt sống, sau động tác bẻ cổ của thợ cắt tóc, nhân viên mát-xa… cho khách hàng của mình, hoặc đơn giản chỉ là sau các động tác xoay lắc, gập ưỡn cổ quá mức của chính người bệnh.

Bác sĩ khuyến cáo người dân cần biết tự trang bị kiến thức và nâng cao ý thức tự bảo vệ sức khỏe và tính mạng của chính mình.

Đừng bỏ lỡ

Video đang xem nhiều

Đọc thêm