Ngày 30-10, thông tin từ Bệnh viện (BV) Hoàn Mỹ Sài Gòn cho biết BV vừa cứu chữa kịp thời ca bệnh bị nhiễm khuẩn huyết nghiêm trọng sau khi cắt lể theo phương pháp dân gian.
Bệnh nhân là anh Nguyễn Công H. (49 tuổi, ngụ TP.HCM) được người nhà đưa vào BV cấp cứu trong tình trạng sốt cao, vùng cổ và lưng cứng đơ, đau nhức dữ dội.
Qua kiểm tra, các bác sĩ phát hiện vùng sau cổ anh H. có khối áp xe lớn, xét nghiệm cho thấy bị nhiễm khuẩn máu nặng. Người nhà cho biết anh H. bị thoái hóa đốt sống cổ hai năm nay, điều trị nhiều nơi nhưng không khỏi. Trước khi nhập viện một tuần, vùng cổ anh H. đột ngột đau nhức nhiều hơn, gia đình nghĩ bị trúng gió nên đưa anh đi cắt lể nặn máu độc ra ngoài.
Sau khi cắt lể, tình trạng của anh trở nên nặng hơn, cổ ngày càng sưng to, đau nhức không thể cử động.

Người bệnh được bác sĩ thăm khám. Ảnh: BVCC
Kết quả cấy máu tìm thấy vi khuẩn Staphylococcus aureus (còn gọi là tụ cầu vàng) đề kháng các kháng sinh thông thường. Đây là loại vi khuẩn có thể xâm nhập vào cơ thể qua các vết thương hay cắt lể. Loại vi khuẩn này thường gây nhiễm khuẩn da, niêm mạc và nặng hơn là nhiễm khuẩn huyết.
Bệnh nhân được điều trị tích cực bằng kháng sinh phù hợp. Sau một tuần nằm viện, vùng áp xe sau cổ hiện đã hết sưng và sức khỏe phục hồi tốt.
Bác sĩ Lê Thanh Nhàn, khoa Nội tổng hợp BV, cho biết cắt lể, giác hơi hay giác lể để điều trị mỗi khi đau nhức toàn thân hoặc một vài vị trí trên cơ thể là thói quen dân gian rất dễ dẫn đến nhiễm trùng máu. Phần nhiều ca nhiễm khuẩn là do công cụ cắt lể không vô khuẩn hoặc tiệt trùng không bảo đảm. Lúc đó vi khuẩn sẽ trực tiếp đi vào máu, gây tình trạng nhiễm khuẩn huyết từ nhẹ đến nặng, rồi tạo thành sốc nhiễm khuẩn. Nếu không được đưa đến cơ sở y tế kịp thời sẽ sốt cao, nhiễm trùng, nhiễm độc, sốc nhiễm trùng, nguy cơ tử vong rất cao.

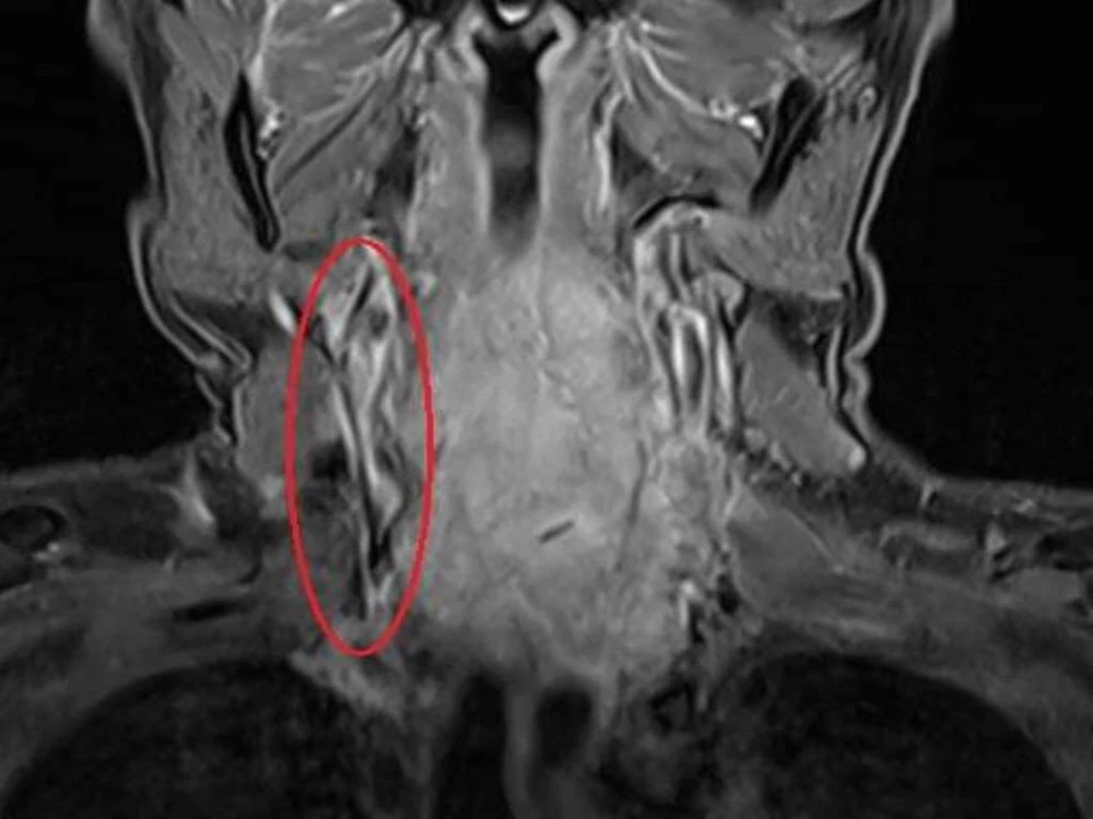
Hình ảnh chụp MRI cho thấy người bệnh bị áp xe đốt sống cổ. Ảnh: BVCC
Ở một số nơi, người dân vẫn còn áp dụng phương pháp cắt lể (véo lên chỗ da cần lể rồi dùng dao hoặc kim, mảnh thủy tinh rạch một vết nhỏ, sau đó nặn máu mủ ra) hoặc đắp thuốc dân gian để chữa bệnh. Cách này tiềm ẩn nhiều nguy cơ lây nhiễm bệnh viêm gan, HIV. Ngoài ra, người bệnh còn gặp phải tai biến như nhiễm khuẩn do tụ cầu, uốn ván, chảy máu…
Bác sĩ Nhàn khuyến cáo khi bệnh kéo dài và có biểu hiện nhiễm khuẩn như sưng, nóng đỏ, đau trên cơ thể tốt nhất nên đến các cơ sở y tế uy tín để được các bác sĩ thăm khám và điều trị chứ không nên đi cắt lể vì khi vi khuẩn đã xâm nhập vào máu thì sẽ rất khó chữa trị.