Cứu bàn chân suýt bị cưa của anh xe ôm

(PLO)- “BV Chấn thương chỉnh hình TP.HCM vừa phẫu thuật thành công ca chấn thương khớp gối-gãy mâm chày kèm tổn thương động mạch khoeo. Hiện sức khỏe bệnh nhân đã ổn định và sẽ sớm xuất viện để trở về với cuộc sống thường ngày”.

Sáng 27-1 (30 tết), BS Võ Hòa Khánh, Phó Trưởng phòng Quản lý chất lượng-Vi phẫu tạo hình BV Chấn thương chỉnh hình TP.HCM, cung cấp thông tin trên.

Trước đó, bệnh nhân LVH (33 tuổi, ở Long An) được một cơ sở y tế địa phương chuyển đến BV Chấn thương chỉnh hình TP.HCM với chẩn đoán gãy kín mâm chày chân trái.

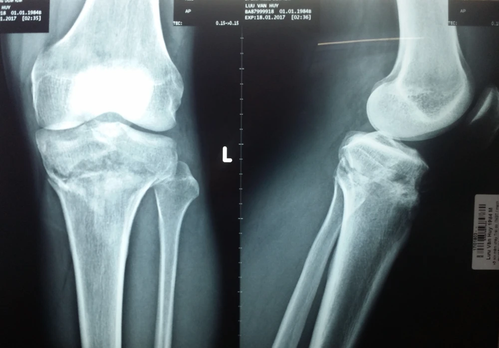
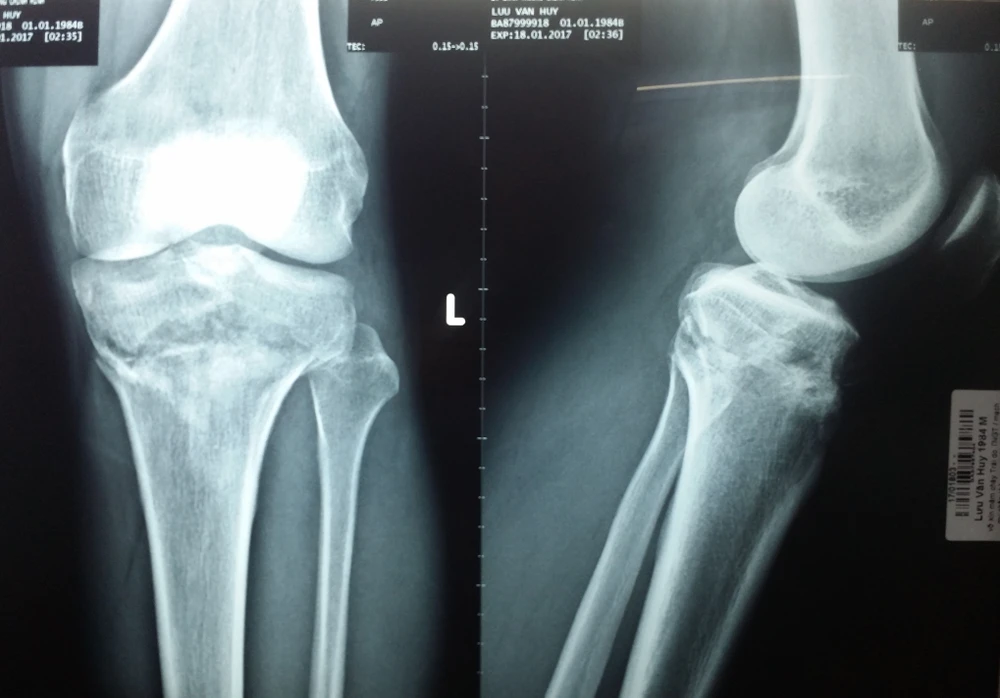
Kết quả chụp X quang do cơ sở y tế địa phương thuộc tỉnh Long An thực hiện cho thấy gối-gãy mâm chày không di lệch. Ảnh: VIẾT THÔNG

Tuy nhiên trong quá trình thăm khám, TS-BS Phan Đức Minh Mẫn và BS Trần Đăng Khoa (trưởng và phó tua trực cấp cứu) ghi nhận chân bệnh nhân sờ lạnh, mạch mu chân và mạch chày sau không bắt được. Với kinh nghiệm nhiều năm, TS-BS Mẫn và BS Khoa phát hiện bệnh nhân bị tổn thương mạch khoeo nên đưa ngay vào phòng mổ để tận dụng “thời gian vàng”.

Với sự phối hợp của các BS Võ Hòa Khánh, Trương Viết Thông và  Đinh Ngọc Minh, ê kíp phẫu thuật tiến hành kết hợp xương bằng đường mổ ít xâm lấn dưới sự hỗ trợ của màn tăng sáng (CARM). Sau bốn tiếng phẫu thuật, các BS chẳng những phục hồi xương cho bệnh nhân mà còn phục hồi lưu thông mạch máu trong một lần mổ duy nhất.

Theo BS Trần Đăng Khoa, chỉ khi phát hiện chấn thương khớp gối-gãy mâm chày di lệch nhiều thì nhân viên của cơ sở y tế tuyến dưới mới chú ý đến tổn thương mạch máu.

Bệnh nhân được phẫu thuật kết hợp xương bằng đường mổ ít xâm lấn dưới hỗ trợ của màn tăng sáng. Ảnh: VIẾT THÔNG

“Riêng trường hợp bệnh nhân LVH, do gãy mâm chày không di lệch, chân bệnh nhân cũng không biến dạng nhiều nên nhân viên của cơ sở y tế nói trên đã bỏ sót phần tổn thương mạch máu. Điều này dễ dẫn đến nguy cơ bệnh nhân H phải cưa chân” – BS Khoa nói.

“Do đặc thù của chấn thương, tổn thương mạch khoeo nên “thời gian vàng” để cứu lấy bàn chân gói gọn trong vòng sáu tiếng. Nếu chậm trễ, bệnh nhân buộc cưa chân. Trong trường hợp cứu được thì chân cũng không còn chức năng” – BS Khoa lưu ý.

Trao đổi với Pháp Luật TP.HCM, bệnh nhân LVH cho biết đang hành nghề xe ôm. Do muốn kiếm thêm chút tiền để mua cho con bộ quần áo mới mặc trong ngày tết nên anh H ráng chạy thêm cuốc xe, cho dù lúc đó đã quá khuya. “Trên đường về nhà, chẳng may tôi gặp tai nạn và bị thương ở chân. May nhờ các BS của BV Chấn thương chỉnh hình TP.HCM cứu chữa kịp thời nên tôi mới giữ lại được bàn chân” – bệnh nhân xúc động.

Đừng bỏ lỡ

Video đang xem nhiều

Đọc thêm